ARG59969
anti-OSGEPL1 antibody
anti-OSGEPL1 antibody for IHC-Formalin-fixed paraffin-embedded sections,Western blot and Human,Mouse,Rat
概述
| 产品描述 | Rabbit Polyclonal antibody recognizes OSGEPL1 |
|---|---|
| 反应物种 | Hu, Ms, Rat |
| 应用 | IHC-P, WB |
| 宿主 | Rabbit |
| 克隆 | Polyclonal |
| 同位型 | IgG |
| 靶点名称 | OSGEPL1 |
| 抗原物种 | Human |
| 抗原 | Recombinant fusion protein corresponding to aa. 1-270 of Human OSGEPL1 (NP_071748.2). |
| 偶联标记 | Un-conjugated |
| 別名 | EC 2.3.1.234; tRNA threonylcarbamoyladenosine biosynthesis protein OSGEPL1; Qri7; N6-L-threonylcarbamoyladenine synthase; t; O-sialoglycoprotein endopeptidase-like protein 1; 6; Probable tRNA N6-adenosine threonylcarbamoyltransferase, mitochondrial |
应用说明
| 应用建议 |
|
||||||
|---|---|---|---|---|---|---|---|
| 应用说明 | * The dilutions indicate recommended starting dilutions and the optimal dilutions or concentrations should be determined by the scientist. | ||||||
| 阳性对照 | Rat liver and Mouse testis | ||||||
| 实际分子量 | 45 kDa |
属性
| 形式 | Liquid |
|---|---|
| 纯化 | Affinity purified. |
| 缓冲液 | PBS (pH 7.3), 0.02% Sodium azide and 50% Glycerol. |
| 抗菌剂 | 0.02% Sodium azide |
| 稳定剂 | 50% Glycerol |
| 存放说明 | For continuous use, store undiluted antibody at 2-8°C for up to a week. For long-term storage, aliquot and store at -20°C. Storage in frost free freezers is not recommended. Avoid repeated freeze/thaw cycles. Suggest spin the vial prior to opening. The antibody solution should be gently mixed before use. |
| 注意事项 | For laboratory research only, not for drug, diagnostic or other use. |
生物信息
| 数据库连接 | |
|---|---|
| 基因名称 | OSGEPL1 |
| 全名 | O-sialoglycoprotein endopeptidase-like 1 |
| 生物功能 | Required for the formation of a threonylcarbamoyl group on adenosine at position 37 (t(6)A37) in mitochondrial tRNAs that read codons beginning with adenine. Probably involved in the transfer of the threonylcarbamoyl moiety of threonylcarbamoyl-AMP (TC-AMP) to the N6 group of A37. Involved in mitochondrial genome maintenance. [UniProt] |
| 细胞定位 | Mitochondrion. [UniProt] |
| 预测分子量 | 45 kDa |
检测图片 (3) Click the Picture to Zoom In
-
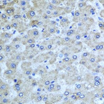
ARG59969 anti-OSGEPL1 antibody IHC-P image
Immunohistochemistry: Paraffin-embedded Human liver injury stained with ARG59969 anti-OSGEPL1 antibody at 1:100 dilution.
-
ARG59969 anti-OSGEPL1 antibody WB image
Western blot: 25 µg of Rat liver and Mouse testis lysates stained with ARG59969 anti-OSGEPL1 antibody at 1:1000 dilution.
-
ARG59969 anti-OSGEPL1 antibody IHC-P image
Immunohistochemistry: Paraffin-embedded Mouse stomach stained with ARG59969 anti-OSGEPL1 antibody at 1:100 dilution.
