ARG63427
anti-ORP1 antibody
anti-ORP1 antibody for IHC-Formalin-fixed paraffin-embedded sections,Western blot and Human
Signaling Transduction antibody
概述
| 产品描述 | Goat Polyclonal antibody recognizes ORP1 |
|---|---|
| 反应物种 | Hu |
| 预测物种 | Ms, Rat, Cow, Dog |
| 应用 | IHC-P, WB |
| 特异性 | This antibody is expected to recognise both reported human isoforms of this protein. |
| 宿主 | Goat |
| 克隆 | Polyclonal |
| 同位型 | IgG |
| 靶点名称 | ORP1 |
| 抗原物种 | Human |
| 抗原 | C-YWDRNYFNLPDIY |
| 偶联标记 | Un-conjugated |
| 別名 | OSBP-related protein 1; ORP1; OSBPL1B; ORP-1; Oxysterol-binding protein-related protein 1 |
应用说明
| 应用建议 |
|
||||||
|---|---|---|---|---|---|---|---|
| 应用说明 | WB: Recommend incubate at RT for 1h. IHC-P: Antigen Retrieval: Steam tissue section in Citrate buffer (pH 6.0). * The dilutions indicate recommended starting dilutions and the optimal dilutions or concentrations should be determined by the scientist. |
属性
| 形式 | Liquid |
|---|---|
| 纯化 | Purified from goat serum by antigen affinity chromatography. |
| 缓冲液 | Tris saline (pH 7.3), 0.02% Sodium azide and 0.5% BSA. |
| 抗菌剂 | 0.02% Sodium azide |
| 稳定剂 | 0.5% BSA |
| 浓度 | 0.5 mg/ml |
| 存放说明 | For continuous use, store undiluted antibody at 2-8°C for up to a week. For long-term storage, aliquot and store at -20°C or below. Storage in frost free freezers is not recommended. Avoid repeated freeze/thaw cycles. Suggest spin the vial prior to opening. The antibody solution should be gently mixed before use. |
| 注意事项 | For laboratory research only, not for drug, diagnostic or other use. |
生物信息
| 数据库连接 |
Swiss-port # Q9BXW6 Human Oxysterol-binding protein-related protein 1 |
|---|---|
| 背景介绍 | This gene encodes a member of the oxysterol-binding protein (OSBP) family, a group of intracellular lipid receptors. Most members contain an N-terminal pleckstrin homology domain and a highly conserved C-terminal OSBP-like sterol-binding domain, although some members contain only the sterol-binding domain. Transcript variants derived from alternative promoter usage and/or alternative splicing exist; they encode different isoforms. [provided by RefSeq, Jul 2008] |
| 研究领域 | Signaling Transduction antibody |
| 预测分子量 | 108 kDa |
检测图片 (3) Click the Picture to Zoom In
-
ARG63427 anti-ORP1 antibody WB image
Western Blot: Human Muscle lysate (RIPA buffer, 35 µg total protein per lane) stained with ARG63427 anti-ORP1 antibody at 0.5 µg/ml dilution.
-
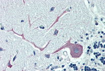
ARG63427 anti-ORP1 antibody IHC-P image
Immunohistochemistry: Paraffin-embedded Human cerebellum tissue. Antigen Retrieval: Steam tissue section in Citrate buffer (pH 6.0). The tissue section was stained with ARG63427 anti-ORP1 antibody at 5 µg/ml dilution followed by AP-staining.
-
ARG63427 anti-ORP1 antibody IHC-P image
Immunohistochemistry: Paraffin-embedded Human skeletal muscle tissue. Antigen Retrieval: Steam tissue section in Citrate buffer (pH 6.0). The tissue section was stained with ARG63427 anti-ORP1 antibody at 5 µg/ml dilution followed by AP-staining.
