ARG56848
anti-ORAI3 antibody
anti-ORAI3 antibody for ICC/IF,IHC-Formalin-fixed paraffin-embedded sections,Western blot and Mouse
概述
| 产品描述 | Rabbit Polyclonal antibody recognizes ORAI3 |
|---|---|
| 反应物种 | Ms |
| 预测物种 | Hu, Rat |
| 应用 | ICC/IF, IHC-P, WB |
| 特异性 | This antibody is predicted to have no cross-reactivity to ORAI1 or ORAI2. |
| 宿主 | Rabbit |
| 克隆 | Polyclonal |
| 同位型 | IgG |
| 靶点名称 | ORAI3 |
| 抗原物种 | Human |
| 抗原 | Synthetic peptide (15 aa) within the first 50 aa of Human ORAI3. |
| 偶联标记 | Un-conjugated |
| 別名 | Protein orai-3; Transmembrane protein 142C; TMEM142C |
应用说明
| 应用建议 |
|
||||||||
|---|---|---|---|---|---|---|---|---|---|
| 应用说明 | * The dilutions indicate recommended starting dilutions and the optimal dilutions or concentrations should be determined by the scientist. | ||||||||
| 阳性对照 | A-20 cell lysate |
属性
| 形式 | Liquid |
|---|---|
| 纯化 | Affinity purification with immunogen. |
| 缓冲液 | PBS and 0.02% Sodium azide. |
| 抗菌剂 | 0.02% Sodium azide |
| 浓度 | 1 mg/ml |
| 存放说明 | For continuous use, store undiluted antibody at 2-8°C for up to a week. For long-term storage, aliquot and store at -20°C or below. Storage in frost free freezers is not recommended. Avoid repeated freeze/thaw cycles. Suggest spin the vial prior to opening. The antibody solution should be gently mixed before use. |
| 注意事项 | For laboratory research only, not for drug, diagnostic or other use. |
生物信息
| 数据库连接 | |
|---|---|
| 基因名称 | ORAI3 |
| 全名 | ORAI calcium release-activated calcium modulator 3 |
| 生物功能 | Key regulator or component of store-operated Ca(2+) channel and transcription factor NFAT nuclear import. [UniProt] |
| 预测分子量 | 31 kDa |
检测图片 (3) Click the Picture to Zoom In
-
ARG56848 anti-ORAI3 antibody ICC/IF image
Immunocytochemistry: A20 cells stained with ARG56848 anti-ORAI3 antibody at 10 µg/ml dilution.
-
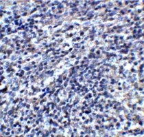
ARG56848 anti-ORAI3 antibody IHC-P image
Immunohistochemistry: Mouse spleen tissue stained with ARG56848 anti-ORAI3 antibody at 2 µg/ml dilution.
-
ARG56848 anti-ORAI3 antibody WB image
Western blot: A20 cell lysate stained with ARG56848 anti-ORAI3 antibody at (A) 1, (B) 2 and (C) 4 µg/ml dilution.
