ARG56840
anti-ORAI1 / CRACM1 antibody
anti-ORAI1 / CRACM1 antibody for ICC/IF,IHC-Formalin-fixed paraffin-embedded sections,Western blot and Human
概述
| 产品描述 | Rabbit Polyclonal antibody recognizes ORAI1 / CRACM1 |
|---|---|
| 反应物种 | Hu |
| 预测物种 | Ms |
| 应用 | ICC/IF, IHC-P, WB |
| 特异性 | This antibody is predicted to have no cross-reactivity to ORAI2 or ORAI3. |
| 宿主 | Rabbit |
| 克隆 | Polyclonal |
| 同位型 | IgG |
| 靶点名称 | ORAI1 / CRACM1 |
| 抗原物种 | Human |
| 抗原 | Synthetic peptide (18 aa) within the first 50 aa of Human ORAI1 / CRACM1. |
| 偶联标记 | Un-conjugated |
| 別名 | Protein orai-1; CRACM1; Transmembrane protein 142A; IMD9; ORAT1; Calcium release-activated calcium channel protein 1; TAM2; TMEM142A |
应用说明
| 应用建议 |
|
||||||||
|---|---|---|---|---|---|---|---|---|---|
| 应用说明 | * The dilutions indicate recommended starting dilutions and the optimal dilutions or concentrations should be determined by the scientist. | ||||||||
| 阳性对照 | Human ovary tissue lysate |
属性
| 形式 | Liquid |
|---|---|
| 纯化 | Affinity purification with immunogen. |
| 缓冲液 | PBS and 0.02% Sodium azide. |
| 抗菌剂 | 0.02% Sodium azide |
| 浓度 | 1 mg/ml |
| 存放说明 | For continuous use, store undiluted antibody at 2-8°C for up to a week. For long-term storage, aliquot and store at -20°C or below. Storage in frost free freezers is not recommended. Avoid repeated freeze/thaw cycles. Suggest spin the vial prior to opening. The antibody solution should be gently mixed before use. |
| 注意事项 | For laboratory research only, not for drug, diagnostic or other use. |
生物信息
| 数据库连接 |
Swiss-port # Q96D31 Human Calcium release-activated calcium channel protein 1 |
|---|---|
| 基因名称 | ORAI1 |
| 全名 | ORAI calcium release-activated calcium modulator 1 |
| 背景介绍 | The protein encoded by this gene is a membrane calcium channel subunit that is activated by the calcium sensor STIM1 when calcium stores are depleted. This type of channel is the primary way for calcium influx into T-cells. Defects in this gene are a cause of immune dysfunction with T-cell inactivation due to calcium entry defect type 1 (IDTICED1). [provided by RefSeq, Sep 2011] |
| 生物功能 | Ca(2+) release-activated Ca(2+) (CRAC) channel subunit which mediates Ca(2+) influx following depletion of intracellular Ca(2+) stores and channel activation by the Ca(2+) sensor, STIM1. CRAC channels are the main pathway for Ca(2+) influx in T-cells and promote the immune response to pathogens by activating the transcription factor NFAT. [UniProt] |
| 预测分子量 | 33 kDa |
| 翻译后修饰 | N-glycosylated. Ubiquitinated. Cys-195 is oxidated, leading to inactivate channel activity. |
检测图片 (4) Click the Picture to Zoom In
-
ARG56840 anti-ORAI1 / CRACM1 antibody ICC/IF image
Immunofluorescence: Human Spleen cells stained with ARG56840 anti-ORAI1 / CRACM1 antibody at 20 µg/ml dilution.
-
ARG56840 anti-ORAI1 / CRACM1 antibody IHC-P image
Immunohistochemistry: Human spleen tissue stained with ARG56840 anti-ORAI1 / CRACM1 antibody at 10 µg/ml dilution.
-
ARG56840 anti-ORAI1 / CRACM1 antibody WB image
Western blot: Human ovary tissue lysate stained with ARG56840 anti-ORAI1 / CRACM1 antibody at 1 µg/ml dilution in the (A) absence or (B) presence of blocking peptide.
-
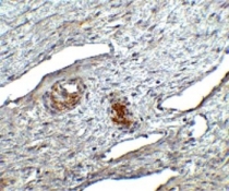
ARG56840 anti-ORAI1 / CRACM1 antibody IHC-P image
Immunohistochemistry: Human ovary tissue stained with ARG56840 anti-ORAI1 / CRACM1 antibody at 2.5 µg/ml dilution.
