ARG43055
anti-OLFM4 antibody
anti-OLFM4 antibody for IHC-Formalin-fixed paraffin-embedded sections,Western blot and Human,Mouse,Rat
概述
| 产品描述 | Rabbit Polyclonal antibody recognizes OLFM4 |
|---|---|
| 反应物种 | Hu, Ms, Rat |
| 应用 | IHC-P, WB |
| 宿主 | Rabbit |
| 克隆 | Polyclonal |
| 同位型 | IgG |
| 靶点名称 | OLFM4 |
| 抗原物种 | Human |
| 抗原 | Recombinant protein corresponding to D91-Q510 of Human OLFM4. |
| 偶联标记 | Un-conjugated |
| 別名 | bA209J19.1; Antiapoptotic protein GW112; GW112; G-CSF-stimulated clone 1 protein; OlfD; GC1; hGC-1; Olfactomedin-4; hOLfD; OLM4; UNQ362 |
应用说明
| 应用建议 |
|
||||||
|---|---|---|---|---|---|---|---|
| 应用说明 | IHC-P: Antigen Retrieval: Heat mediation was performed in Citrate buffer (pH 6.0) for 20 min. * The dilutions indicate recommended starting dilutions and the optimal dilutions or concentrations should be determined by the scientist. |
属性
| 形式 | Liquid |
|---|---|
| 纯化 | Affinity purification with immunogen. |
| 缓冲液 | 0.2% Na2HPO4, 0.9% NaCl, 0.05% Sodium azide and 4% Trehalose. |
| 抗菌剂 | 0.05% Sodium azide |
| 稳定剂 | 4% Trehalose |
| 浓度 | 0.5 mg/ml |
| 存放说明 | For continuous use, store undiluted antibody at 2-8°C for up to a week. For long-term storage, aliquot and store at -20°C or below. Storage in frost free freezers is not recommended. Avoid repeated freeze/thaw cycles. Suggest spin the vial prior to opening. The antibody solution should be gently mixed before use. |
| 注意事项 | For laboratory research only, not for drug, diagnostic or other use. |
生物信息
| 数据库连接 | |
|---|---|
| 基因名称 | OLFM4 |
| 全名 | olfactomedin 4 |
| 背景介绍 | This gene was originally cloned from human myeloblasts and found to be selectively expressed in inflammed colonic epithelium. This gene encodes a member of the olfactomedin family. The encoded protein is an antiapoptotic factor that promotes tumor growth and is an extracellular matrix glycoprotein that facilitates cell adhesion. [provided by RefSeq, Mar 2011] |
| 生物功能 | May promote proliferation of pancreatic cancer cells by favoring the transition from the S to G2/M phase. In myeloid leukemic cell lines, inhibits cell growth and induces cell differentiation and apoptosis. May play a role in the inhibition of EIF4EBP1 phosphorylation/deactivation. Facilitates cell adhesion, most probably through interaction with cell surface lectins and cadherin. [UniProt] |
| 细胞定位 | Secreted, extracellular space. Mitochondrion. Note=Subcellular location is not clearly defined: has been shown to be secreted (PubMed:16566923), but also in the mitochondrion (PubMed:15059901 and PubMed:20724538), cytoplasm and plasma membrane (PubMed:20724538) and in the nucleus (PubMed:15059901). [UniProt] |
| 预测分子量 | 57 kDa |
| 翻译后修饰 | N-glycosylated. [UniProt] |
检测图片 (4) Click the Picture to Zoom In
-
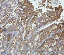
ARG43055 anti-OLFM4 antibody IHC-P image
Immunohistochemistry: Paraffin-embedded Human colon cancer tissue. Antigen Retrieval: Heat mediation was performed in Citrate buffer (pH 6.0) for 20 min. The tissue section was blocked with 10% goat serum. The tissue section was then stained with ARG43055 anti-OLFM4 antibody at 1 µg/ml dilution, overnight at 4°C.
-
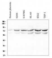
ARG43055 anti-OLFM4 antibody WB image
Western blot: 50 µg of sample under reducing conditions. Human placenta, U2OS, U-87MG, HL-60, K562 and THP-1 whole cell lysates stained with ARG43055 anti-OLFM4 antibody at 0.5 µg/ml dilution, overnight at 4°C.
-
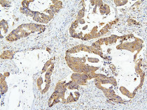
ARG43055 anti-OLFM4 antibody IHC-P image
Immunohistochemistry: Paraffin-embedded Human rectal cancer tissue. Antigen Retrieval: Heat mediation was performed in Citrate buffer (pH 6.0) for 20 min. The tissue section was blocked with 10% goat serum. The tissue section was then stained with ARG43055 anti-OLFM4 antibody at 1 µg/ml dilution, overnight at 4°C.
-
ARG43055 anti-OLFM4 antibody WB image
Western blot: 50 µg of sample under reducing conditions. Rat spleen, Rat kidney, Mouse kidney, Mouse lung and SP2/0 whole cell lysates stained with ARG43055 anti-OLFM4 antibody at 0.5 µg/ml dilution, overnight at 4°C.
