ARG45490
anti-ODF2L antibody
anti-ODF2L antibody for Flow cytometry,IHC-Formalin-fixed paraffin-embedded sections,Western blot and Human
概述
| 产品描述 | Rabbit Polyclonal antibody recognizes ODF2L |
|---|---|
| 反应物种 | Hu |
| 应用 | FACS, IHC-P, WB |
| 宿主 | Rabbit |
| 克隆 | Polyclonal |
| 同位型 | IgG |
| 靶点名称 | ODF2L |
| 抗原物种 | Human |
| 抗原 | Recombinant protein containing to human ODF2L. |
| 偶联标记 | Un-conjugated |
| 別名 | ODF2L; Outer Dense Fiber Of Sperm Tails 2 Like; KIAA1229; Basal Body Centriole-Associated Protein; ODF2-Like Protein; Protein BCAP; Outer Dense Fiber Of Sperm Tails 2-Like; Outer Dense Fiber Protein 2-Like; BCAP |
应用说明
| 应用建议 |
|
||||||||
|---|---|---|---|---|---|---|---|---|---|
| 应用说明 | * The dilutions indicate recommended starting dilutions and the optimal dilutions or concentrations should be determined by the scientist. | ||||||||
| 实际分子量 | 65 kDa |
属性
| 形式 | Liquid |
|---|---|
| 纯化 | Affinity purified |
| 缓冲液 | 0.2% Na2HPO4, 0.9% NaCl and 4% Trehalose. |
| 稳定剂 | 4% Trehalose |
| 浓度 | 0.5 mg/ml |
| 存放说明 | For continuous use, store undiluted antibody at 2-8°C for up to a week. For long-term storage, aliquot and store at -20°C or below. Storage in frost free freezers is not recommended. Avoid repeated freeze/thaw cycles. Suggest spin the vial prior to opening. The antibody solution should be gently mixed before use. |
| 注意事项 | For laboratory research only, not for drug, diagnostic or other use. |
生物信息
| 数据库连接 | |
|---|---|
| 基因名称 | ODF2L |
| 全名 | Outer Dense Fiber Of Sperm Tails 2 Like |
| 背景介绍 | Involved in negative regulation of cilium assembly. Located in centriolar satellite and ciliary basal body. [provided by Alliance of Genome Resources, Feb 2025] |
| 生物功能 | Acts as a suppressor of ciliogenesis, specifically, the initiation of ciliogenesis. [UniProt] |
| 细胞定位 | Cell projection; Cytoplasm; Cytoskeleton. [UniProt] |
| 预测分子量 | 74 kDa |
检测图片 (3) Click the Picture to Zoom In
-
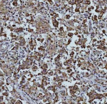
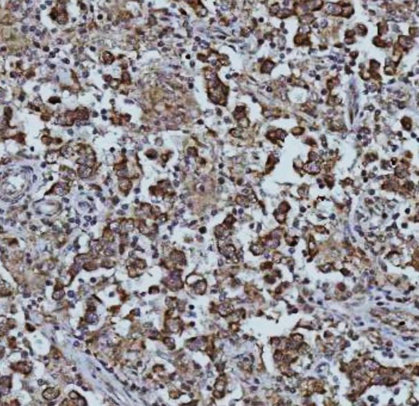
ARG45490 anti-ODF2L antibody IHC-P image
Immunohistochemistry: Human testicular seminoma stained with ARG45490 anti-ODF2L antibody at 2 μg/ml dilution.
-
ARG45490 anti-ODF2L antibody WB image
Western blot: U251 stained with ARG45490 anti-ODF2L antibody at 0.5 μg/ml dilution.
-
ARG45490 anti-ODF2L antibody FACS image
Flow Cytometry: U937 stained with ARG45490 anti-ODF2L antibody at 1 µg/10^6 cells dilution.
