ARG56142
anti-OCT4 antibody
anti-OCT4 antibody for IHC-Formalin-fixed paraffin-embedded sections,Western blot and Mouse
概述
| 产品描述 | Rabbit Polyclonal antibody recognizes OCT4 |
|---|---|
| 反应物种 | Ms |
| 应用 | IHC-P, WB |
| 宿主 | Rabbit |
| 克隆 | Polyclonal |
| 同位型 | IgG |
| 靶点名称 | OCT4 |
| 抗原物种 | Mouse |
| 抗原 | KLH-conjugated synthetic peptide corresponding to aa. 86-119 (N-terminus) of Mouse OCT4. |
| 偶联标记 | Un-conjugated |
| 別名 | Otf-3; Oct4; Oct3; Oct3/4; Otf-4; Otf3; OTF-3; Oct-3; Oct-4; Octamer-binding transcription factor 3; Otf4; NF-A3; Oct-3/4; POU domain, class 5, transcription factor 1; Otf3-rs7; Octamer-binding protein 4; Octamer-binding protein 3; Otf3g |
应用说明
| 应用建议 |
|
||||||
|---|---|---|---|---|---|---|---|
| 应用说明 | IHC-P: Antigen Retrieval: Heat mediation was performed in Citrate buffer (pH 6.0). * The dilutions indicate recommended starting dilutions and the optimal dilutions or concentrations should be determined by the scientist. |
||||||
| 阳性对照 | F9 |
属性
| 形式 | Liquid |
|---|---|
| 纯化 | Purification with Protein A and immunogen peptide. |
| 缓冲液 | PBS and 0.09% (W/V) Sodium azide. |
| 抗菌剂 | 0.09% (W/V) Sodium azide. |
| 存放说明 | For continuous use, store undiluted antibody at 2-8°C for up to a week. For long-term storage, aliquot and store at -20°C or below. Storage in frost free freezers is not recommended. Avoid repeated freeze/thaw cycles. Suggest spin the vial prior to opening. The antibody solution should be gently mixed before use. |
| 注意事项 | For laboratory research only, not for drug, diagnostic or other use. |
生物信息
| 数据库连接 |
Swiss-port # P20263 Mouse POU domain, class 5, transcription factor 1 |
|---|---|
| 基因名称 | Pou5f1 |
| 全名 | POU domain, class 5, transcription factor 1 |
| 背景介绍 | The protein encoded by this gene belongs to the POU domain family of transcription factors. POU domain transcription factors bind to a specific octamer DNA motif and regulate cell type-specific differentiation pathways. The encoded protein plays a key role in embryonic development and stem cell pluripotency. Alternative splicing results in multiple transcript variants. [provided by RefSeq, Sep 2015] |
| 生物功能 | Transcription factor that binds to the octamer motif (5'-ATTTGCAT-3'). Forms a trimeric complex with SOX2 on DNA and controls the expression of a number of genes involved in embryonic development such as YES1, FGF4, UTF1 and ZFP206. Critical for early embryogenesis and for embryonic stem cell pluripotency. [UniProt] |
| 细胞定位 | Cytoplasm; Nucleus. Note: Expressed in a diffuse and slightly punctuate pattern. |
| 预测分子量 | 39 kDa |
| 翻译后修饰 | Sumoylation enhances the protein stability, DNA binding and transactivation activity. Sumoylation is required for enhanced YES1 expression (By similarity). Ubiquitinated; undergoes 'Lys-63'-linked polyubiquitination by WWP2 leading to proteasomal degradation. ERK1/2-mediated phosphorylation at Ser-111 promotes nuclear exclusion and proteasomal degradation. Phosphorylation at Thr-235 and Ser-236 decrease DNA-binding and alters ability to activate transcription. |
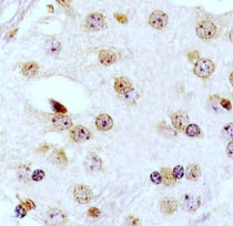
检测图片 (2) Click the Picture to Zoom In
-
ARG56142 anti-OCT4 antibody IHC-P image
Immunohistochemistry: Paraformaldehyde-fixed and paraffin-embedded Mouse brain stained with ARG56142 anti-OCT4 antibody at 1:25 dilution (1 hour, 37°C). Tissue was blocked with 3% BSA for 0.5 hour at RT. Antigen Retrieval: Heat mediation was performed in Citrate buffer (pH 6.0).
-
ARG56142 anti-OCT4 antibody WB image
Western blot: 20 µg of F9 cell lysate stained with ARG56142 anti-OCT4 antibody.
