ARG58130
anti-OCT1 antibody
anti-OCT1 antibody for IHC-Formalin-fixed paraffin-embedded sections,Western blot and Human
概述
| 产品描述 | Rabbit Polyclonal antibody recognizes OCT1 |
|---|---|
| 反应物种 | Hu |
| 应用 | IHC-P, WB |
| 宿主 | Rabbit |
| 克隆 | Polyclonal |
| 同位型 | IgG |
| 靶点名称 | OCT1 |
| 抗原物种 | Human |
| 抗原 | Partial recombinant protein corresponding to aa. 11-240 of Human OCT1. |
| 偶联标记 | Un-conjugated |
| 別名 | Oct-1; OTF-1; Octamer-binding transcription factor 1; OCT1; Octamer-binding protein 1; OTF1; oct-1B; NF-A1; POU domain, class 2, transcription factor 1 |
应用说明
| 应用建议 |
|
||||||
|---|---|---|---|---|---|---|---|
| 应用说明 | * The dilutions indicate recommended starting dilutions and the optimal dilutions or concentrations should be determined by the scientist. |
属性
| 形式 | Liquid |
|---|---|
| 纯化 | Affinity purification with immunogen. |
| 缓冲液 | PBS, 0.025% Sodium azide and 2.5% BSA. |
| 抗菌剂 | 0.025% Sodium azide |
| 稳定剂 | 2.5% BSA |
| 浓度 | 0.5 mg/ml |
| 存放说明 | For continuous use, store undiluted antibody at 2-8°C for up to a week. For long-term storage, aliquot and store at -20°C or below. Storage in frost free freezers is not recommended. Avoid repeated freeze/thaw cycles. Suggest spin the vial prior to opening. The antibody solution should be gently mixed before use. |
| 注意事项 | For laboratory research only, not for drug, diagnostic or other use. |
生物信息
| 数据库连接 |
Swiss-port # P14859 Human POU domain, class 2, transcription factor 1 |
|---|---|
| 基因名称 | POU2F1 |
| 全名 | POU class 2 homeobox 1 |
| 背景介绍 | The OCT1 transcription factor was among the first identified members of the POU transcription factor family (summarized by Sturm et al., 1993 [PubMed 8314572]). Members of this family contain the POU domain, a 160-amino acid region necessary for DNA binding to the octameric sequence ATGCAAAT.[supplied by OMIM, Jul 2010] |
| 生物功能 | Transcription factor that binds to the octamer motif (5'-ATTTGCAT-3') and activates the promoters of the genes for some small nuclear RNAs (snRNA) and of genes such as those for histone H2B and immunoglobulins. Modulates transcription transactivation by NR3C1, AR and PGR (By similarity). In case of human herpes simplex virus (HSV) infection, POU2F1 forms a multiprotein-DNA complex with the viral transactivator protein VP16 and HCFC1 thereby enabling the transcription of the viral immediate early genes. [UniProt] |
| 预测分子量 | 76 kDa |
| 翻译后修饰 | Phosphorylated by PRKDC. [UniProt] |
检测图片 (2) Click the Picture to Zoom In
-
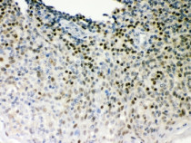
ARG58130 anti-OCT1 antibody IHC-P image
Immunohistochemistry: Paraffin-embedded Human tonsil tissue stained with ARG58130 anti-OCT1 antibody.
-
ARG58130 anti-OCT1 antibody WB image
Western blot: Rat liver, Human placenta, Jurkat, HeLa, A549 and SMMC-7721 cell lysates stained with ARG58130 anti-OCT1 antibody.
