ARG66557
anti-OAZ1 antibody
anti-OAZ1 antibody for IHC-Formalin-fixed paraffin-embedded sections,Western blot and Human,Mouse,Rat
概述
| 产品描述 | Rabbit Polyclonal antibody recognizes OAZ1 |
|---|---|
| 反应物种 | Hu, Ms, Rat |
| 应用 | IHC-P, WB |
| 宿主 | Rabbit |
| 克隆 | Polyclonal |
| 同位型 | IgG |
| 靶点名称 | OAZ1 |
| 抗原物种 | Human |
| 抗原 | KLH-conjugated synthetic peptide encompassing a sequence within the N-term region of Human OAZ1. |
| 偶联标记 | Un-conjugated |
| 別名 | AZI; Ornithine decarboxylase antizyme 1; OAZ; ODC-Az |
应用说明
| 应用建议 |
|
||||||
|---|---|---|---|---|---|---|---|
| 应用说明 | IHC-P: Antigen Retrieval: Heat mediation was performed in Sodium citrate buffer (pH 6.0). * The dilutions indicate recommended starting dilutions and the optimal dilutions or concentrations should be determined by the scientist. |
||||||
| 实际分子量 | 25 kDa |
属性
| 形式 | Liquid |
|---|---|
| 纯化 | Affinity purification with immunogen. |
| 缓冲液 | 0.42% Potassium phosphate (pH 7.3), 0.87% NaCl, 0.01% Sodium azide and 30% Glycerol. |
| 抗菌剂 | 0.01% Sodium azide |
| 稳定剂 | 30% Glycerol |
| 存放说明 | For continuous use, store undiluted antibody at 2-8°C for up to a week. For long-term storage, aliquot and store at -20°C. Storage in frost free freezers is not recommended. Avoid repeated freeze/thaw cycles. Suggest spin the vial prior to opening. The antibody solution should be gently mixed before use. |
| 注意事项 | For laboratory research only, not for drug, diagnostic or other use. |
生物信息
| 数据库连接 | |
|---|---|
| 基因名称 | OAZ1 |
| 全名 | ornithine decarboxylase antizyme 1 |
| 背景介绍 | The protein encoded by this gene belongs to the ornithine decarboxylase antizyme family, which plays a role in cell growth and proliferation by regulating intracellular polyamine levels. Expression of antizymes requires +1 ribosomal frameshifting, which is enhanced by high levels of polyamines. Antizymes in turn bind to and inhibit ornithine decarboxylase (ODC), the key enzyme in polyamine biosynthesis; thus, completing the auto-regulatory circuit. This gene encodes antizyme 1, the first member of the antizyme family, that has broad tissue distribution, and negatively regulates intracellular polyamine levels by binding to and targeting ODC for degradation, as well as inhibiting polyamine uptake. Antizyme 1 mRNA contains two potential in-frame AUGs; and studies in rat suggest that alternative use of the two translation initiation sites results in N-terminally distinct protein isoforms with different subcellular localization. Alternatively spliced transcript variants have also been noted for this gene. [provided by RefSeq, Dec 2014] |
| 生物功能 | Ornithine decarboxylase (ODC) antizyme protein that negatively regulates ODC activity and intracellular polyamine biosynthesis and uptake by binding to and targeting ODC1 for degradation. Stabilizes AZIN2 by interfering with its ubiquitination. Also inhibits cellular uptake of polyamines by inactivating the polyamine uptake transporter. SMAD1/OAZ1/PSMB4 complex mediates the degradation of the CREBBP/EP300 repressor SNIP1. Involved in the translocation of AZNI2 from ER-Golgi intermediate compartment (ERGIC) to the cytosol. [UniProt] |
| 预测分子量 | 25 kDa |
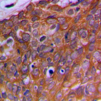
检测图片 (2) Click the Picture to Zoom In
-
ARG66557 anti-OAZ1 antibody IHC-P image
Immunohistochemistry: Formalin-fixed and paraffin-embedded Human prostate cancer tissue. Antigen Retrieval: Heat mediation was performed in Sodium citrate buffer (pH 6.0). The section was then stained with ARG66557 anti-OAZ1 antibody at room temperature and detected using an HRP conjugad compact polymer system. DAB was used as the chromogen. The section was then counterstained with haematoxylin and mounted with DPX.
-
ARG66557 anti-OAZ1 antibody WB image
Western blot: HEK293T, Raw264.7 and H9C2 whole cell lysates stained with ARG66557 anti-OAZ1 antibody.
