ARG40517
anti-OAS1 antibody
anti-OAS1 antibody for IHC-Formalin-fixed paraffin-embedded sections,Western blot and Human
概述
| 产品描述 | Rabbit Polyclonal antibody recognizes OAS1 |
|---|---|
| 反应物种 | Hu |
| 预测物种 | Ms, Rat, Cow, Dog, Hrs, Pig, Rb |
| 应用 | IHC-P, WB |
| 宿主 | Rabbit |
| 克隆 | Polyclonal |
| 同位型 | IgG |
| 靶点名称 | OAS1 |
| 抗原物种 | Human |
| 抗原 | Synthetic peptide around the N-terminal region of Human OAS1. (within the following region: MMDLRNTPAKSLDKFIEDYLLPDTCFRMQINHAIDIICGFLKERCFRGSS) |
| 偶联标记 | Un-conjugated |
| 別名 | A; OIASI; p46/p42 OAS; E18/E16; 2-5'; OIAS; IFI-4; EC 2.7.7.84; 2-5A synthase 1; 2'-5'-oligoadenylate synthase 1 |
应用说明
| 预测反应性说明 | Predicted Homology Based On Immunogen Sequence: Cow: 86%; Dog: 79%; Horse: 86%; Mouse: 86%; Pig: 79%; Rabbit: 79%; Rat: 79% | ||||||
|---|---|---|---|---|---|---|---|
| 应用建议 |
|
||||||
| 应用说明 | IHC-P: Antigen Retrieval: Heat mediation was performed in Citrate buffer (pH 6.0) for 20 min. * The dilutions indicate recommended starting dilutions and the optimal dilutions or concentrations should be determined by the scientist. |
||||||
| 实际分子量 | 39 kDa |
属性
| 形式 | Liquid |
|---|---|
| 纯化 | Affinity purified. |
| 缓冲液 | PBS, 0.09% (w/v) Sodium azide and 2% Sucrose. |
| 抗菌剂 | 0.09% (w/v) Sodium azide |
| 稳定剂 | 2% Sucrose |
| 浓度 | Batch dependent: 0.5 - 1 mg/ml |
| 存放说明 | For continuous use, store undiluted antibody at 2-8°C for up to a week. For long-term storage, aliquot and store at -20°C or below. Storage in frost free freezers is not recommended. Avoid repeated freeze/thaw cycles. Suggest spin the vial prior to opening. The antibody solution should be gently mixed before use. |
| 注意事项 | For laboratory research only, not for drug, diagnostic or other use. |
生物信息
| 数据库连接 | |
|---|---|
| 基因名称 | OAS1 |
| 全名 | 2'-5'-oligoadenylate synthetase 1, 40/46kDa |
| 背景介绍 | This gene encodes a member of the 2-5A synthetase family, essential proteins involved in the innate immune response to viral infection. The encoded protein is induced by interferons and uses adenosine triphosphate in 2'-specific nucleotidyl transfer reactions to synthesize 2',5'-oligoadenylates (2-5As). These molecules activate latent RNase L, which results in viral RNA degradation and the inhibition of viral replication. The three known members of this gene family are located in a cluster on chromosome 12. Mutations in this gene have been associated with host susceptibility to viral infection. Alternatively spliced transcript variants encoding different isoforms have been described. [provided by RefSeq, Jul 2008] |
| 生物功能 | Interferon-induced, dsRNA-activated antiviral enzyme which plays a critical role in cellular innate antiviral response. In addition, it may also play a role in other cellular processes such as apoptosis, cell growth, differentiation and gene regulation. Synthesizes higher oligomers of 2'-5'-oligoadenylates (2-5A) from ATP which then bind to the inactive monomeric form of ribonuclease L (RNase L) leading to its dimerization and subsequent activation. Activation of RNase L leads to degradation of cellular as well as viral RNA, resulting in the inhibition of protein synthesis, thus terminating viral replication. Can mediate the antiviral effect via the classical RNase L-dependent pathway or an alternative antiviral pathway independent of RNase L. The secreted form displays antiviral effect against vesicular stomatitis virus (VSV), herpes simplex virus type 2 (HSV-2), and encephalomyocarditis virus (EMCV) and stimulates the alternative antiviral pathway independent of RNase L. [UniProt] |
| 细胞定位 | Cytoplasm. Mitochondrion. Nucleus. Microsome. Endoplasmic reticulum. Secreted. Note=Associated with different subcellular fractions such as mitochondrial, nuclear, and rough/smooth microsomal fractions. [UniProt] |
| 预测分子量 | 46 kDa |
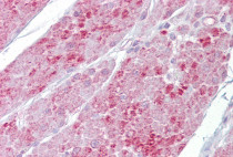
检测图片 (2) Click the Picture to Zoom In
-
ARG40517 anti-OAS1 antibody IHC-P image
Immunohistochemistry: Paraffin-embedded Human small intestine section. Antigen Retrieval: Heat mediation was performed in Citrate buffer (pH 6.0, epitope retrieval solution) for 20 min. The tissue section was blocked with 10% goat serum. The tissue section was then stained with ARG40517 anti-OAS1 antibody at 5 ug/ml, overnight at 4°C.
-
ARG40517 anti-OAS1 antibody WB image
Western blot: Human stomach lysate stained with ARG40517 anti-OAS1 antibody at 0.2 - 1 ug/ml dilution.
