ARG11088
anti-Nurr1 antibody
anti-Nurr1 antibody for IHC-Formalin-fixed paraffin-embedded sections,Western blot and Human,Mouse
概述
| 产品描述 | Rabbit Polyclonal antibody recognizes Nurr1 |
|---|---|
| 反应物种 | Hu, Ms |
| 应用 | IHC-P, WB |
| 宿主 | Rabbit |
| 克隆 | Polyclonal |
| 同位型 | IgG |
| 靶点名称 | Nurr1 |
| 抗原物种 | Human |
| 抗原 | Synthetic peptide corresponding to aa. 566-591 of Human Nurr1. (CTQGL QRIFY LKLED LVPPP AIIDK L) |
| 偶联标记 | Un-conjugated |
| 別名 | TINUR; Orphan nuclear receptor NURR1; NURR1; Immediate-early response protein NOT; HZF-3; Transcriptionally-inducible nuclear receptor; NOT; Nuclear receptor subfamily 4 group A member 2; RNR1 |
应用说明
| 应用建议 |
|
||||||
|---|---|---|---|---|---|---|---|
| 应用说明 | * The dilutions indicate recommended starting dilutions and the optimal dilutions or concentrations should be determined by the scientist. | ||||||
| 实际分子量 | 65 - 75 kDa |
属性
| 形式 | Liquid |
|---|---|
| 纯化 | Affinity purified. |
| 缓冲液 | Tris, HCl/Glycine buffer (pH 7.4-7.8), cryo-protective agents, Hepes, 0.02% Sodium azide, 30% Glycerol and 0.5% BSA. |
| 抗菌剂 | 0.02% Sodium azide |
| 稳定剂 | 30% Glycerol and 0.5% BSA |
| 浓度 | 0.61 mg/ml |
| 存放说明 | For continuous use, store undiluted antibody at 2-8°C for up to a week. For long-term storage, aliquot and store at -20°C. Storage in frost free freezers is not recommended. Avoid repeated freeze/thaw cycles. Suggest spin the vial prior to opening. The antibody solution should be gently mixed before use. |
| 注意事项 | For laboratory research only, not for drug, diagnostic or other use. |
生物信息
| 数据库连接 |
Swiss-port # P43354 Human Nuclear receptor subfamily 4 group A member 2 Swiss-port # Q06219 Mouse Nuclear receptor subfamily 4 group A member 2 |
|---|---|
| 基因名称 | NR4A2 |
| 全名 | nuclear receptor subfamily 4, group A, member 2 |
| 背景介绍 | This gene encodes a member of the steroid-thyroid hormone-retinoid receptor superfamily. The encoded protein may act as a transcription factor. Mutations in this gene have been associated with disorders related to dopaminergic dysfunction, including Parkinson disease, schizophernia, and manic depression. Misregulation of this gene may be associated with rheumatoid arthritis. Alternatively spliced transcript variants have been described, but their biological validity has not been determined. [provided by RefSeq, Jul 2008] |
| 生物功能 | Transcriptional regulator which is important for the differentiation and maintenance of meso-diencephalic dopaminergic (mdDA) neurons during development. It is crucial for expression of a set of genes such as SLC6A3, SLC18A2, TH and DRD2 which are essential for development of mdDA neurons (By similarity). [UniProt] |
| 细胞定位 | Cytoplasm. Nucleus. Note=Mostly nuclear; oxidative stress promotes cytoplasmic localization. [UniProt] |
| 预测分子量 | 67 kDa |
检测图片 (2) Click the Picture to Zoom In
-
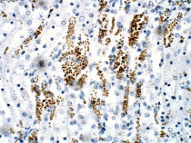
ARG11088 anti-Nurr1 antibody IHC-P image
Immunohistochemistry: Formalin-fixed and paraffin-embedded Mouse kidney tissue stained with ARG11088 anti-Nurr1 antibody at 1:50 dilution.
-
ARG11088 anti-Nurr1 antibody WB image
Western blot: Mouse skeletal muscle, Mouse heart, Mouse liver, Mouse kidney, Mouse lung, Mouse large intestine, Mouse small intestine, Mouse spleen, Mouse ovary, Mouse bladder, Mouse cerebellum, Mouse spinal cord and Mouse brain lysates stained with ARG11088 anti-Nurr1 antibody at 1:500 dilution.
