ARG64105
anti-Nur77 / TR3 antibody
anti-Nur77 / TR3 antibody for IHC-Formalin-fixed paraffin-embedded sections,Western blot and Human
Cancer antibody; Cell Biology and Cellular Response antibody; Cell Death antibody; Gene Regulation antibody
概述
| 产品描述 | Goat Polyclonal antibody recognizes Nur77 / TR3 |
|---|---|
| 反应物种 | Hu |
| 预测物种 | Ms, Rat, Dog |
| 应用 | IHC-P, WB |
| 特异性 | This antibody is expected to recognise isoform a (NP_002126.2 and NP_775180.1) only. |
| 宿主 | Goat |
| 克隆 | Polyclonal |
| 同位型 | IgG |
| 靶点名称 | Nur77 / TR3 |
| 抗原物种 | Human |
| 抗原 | C-GRLPSKPKQPPDAS |
| 偶联标记 | Un-conjugated |
| 別名 | ST-59; N10; Nur77; GFRP1; Testicular receptor 3; NP10; NAK-1; HMR; Orphan nuclear receptor TR3; Nuclear hormone receptor NUR/77; Orphan nuclear receptor HMR; Early response protein NAK1; NGFIB; TR3; NUR77; Nuclear receptor subfamily 4 group A member 1 |
应用说明
| 应用建议 |
|
||||||
|---|---|---|---|---|---|---|---|
| 应用说明 | WB: Recommend incubate at RT for 1h. IHC-P: Antigen Retrieval: Steam tissue section in Citrate buffer (pH 6.0). * The dilutions indicate recommended starting dilutions and the optimal dilutions or concentrations should be determined by the scientist. |
属性
| 形式 | Liquid |
|---|---|
| 纯化 | Purified from goat serum by antigen affinity chromatography. |
| 缓冲液 | Tris saline (pH 7.3), 0.02% Sodium azide and 0.5% BSA. |
| 抗菌剂 | 0.02% Sodium azide |
| 稳定剂 | 0.5% BSA |
| 浓度 | 0.5 mg/ml |
| 存放说明 | For continuous use, store undiluted antibody at 2-8°C for up to a week. For long-term storage, aliquot and store at -20°C or below. Storage in frost free freezers is not recommended. Avoid repeated freeze/thaw cycles. Suggest spin the vial prior to opening. The antibody solution should be gently mixed before use. |
| 注意事项 | For laboratory research only, not for drug, diagnostic or other use. |
生物信息
| 数据库连接 |
Swiss-port # P22736 Human Nuclear receptor subfamily 4 group A member 1 |
|---|---|
| 背景介绍 | This gene encodes a member of the steroid-thyroid hormone-retinoid receptor superfamily. Expression is induced by phytohemagglutinin in human lymphocytes and by serum stimulation of arrested fibroblasts. The encoded protein acts as a nuclear transcription factor. Translocation of the protein from the nucleus to mitochondria induces apoptosis. Multiple transcript variants encoding different isoforms have been found for this gene. [provided by RefSeq, Jan 2011] |
| 研究领域 | Cancer antibody; Cell Biology and Cellular Response antibody; Cell Death antibody; Gene Regulation antibody |
| 预测分子量 | 64 kDa |
| 翻译后修饰 | Phosphorylated at Ser-351 by RPS6KA1 and RPS6KA3 in response to mitogenic or stress stimuli. Acetylated by p300/CBP, acetylation increases stability. Deacetylated by HDAC1. |
检测图片 (2) Click the Picture to Zoom In
-
ARG64105 anti-Nur77 / TR3 antibody WB image
Western Blot: Human Thyroid lysate (35 µg protein in RIPA buffer) stained with ARG64105 anti-Nur77 / TR3 (isoform a) antibody at 2 µg/ml dilution.
-
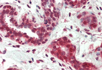
ARG64105 anti-Nur77 / TR3 antibody IHC-P image
Immunohistochemistry: Paraffin-embedded Human breast tissue. Antigen Retrieval: Steam tissue section in Citrate buffer (pH 6.0). The tissue section was stained with ARG64105 anti-Nur77 / TR3 antibody at 5 µg/ml dilution followed by AP-staining.
