ARG56202
anti-Nuclear Marker antibody [NM106]
anti-Nuclear Marker antibody [NM106] for ICC/IF,IHC-Formalin-fixed paraffin-embedded sections and Human,Rat
概述
| 产品描述 | Mouse Monoclonal antibody [NM106] recognizes Nuclear Marker |
|---|---|
| 反应物种 | Hu, Rat |
| 不反应物种 | Pig |
| 应用 | ICC/IF, IHC-P |
| 宿主 | Mouse |
| 克隆 | Monoclonal |
| 克隆号 | NM106 |
| 同位型 | IgG1, kappa |
| 靶点名称 | Nuclear Marker |
| 抗原物种 | Human |
| 抗原 | Nuclei of HL60 cells. |
| 偶联标记 | Un-conjugated |
应用说明
| 应用建议 |
|
||||||
|---|---|---|---|---|---|---|---|
| 应用说明 | IHC-P: Antigen Retrieval: Boil tissue section in 10 mM Citrate buffer (pH 6.0) for 10-20 min, followed by cooling at RT for 20 min. * The dilutions indicate recommended starting dilutions and the optimal dilutions or concentrations should be determined by the scientist. |
属性
| 形式 | Liquid |
|---|---|
| 纯化 | Purification with Protein G. |
| 缓冲液 | PBS (pH 7.4), 0.05% Sodium azide and 0.1 mg/ml BSA. |
| 抗菌剂 | 0.05% Sodium azide |
| 稳定剂 | 0.1 mg/ml BSA |
| 浓度 | 0.2 mg/ml |
| 存放说明 | For continuous use, store undiluted antibody at 2-8°C for up to a week. For long-term storage, aliquot and store at -20°C or below. Storage in frost free freezers is not recommended. Avoid repeated freeze/thaw cycles. Suggest spin the vial prior to opening. The antibody solution should be gently mixed before use. |
| 注意事项 | For laboratory research only, not for drug, diagnostic or other use. |
生物信息
| 细胞定位 | Nuclei |
|---|
检测图片 (4) Click the Picture to Zoom In
-
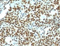
ARG56202 anti-Nuclear Marker antibody [NM106] IHC-P image
Immunohistochemistry: Formalin-fixed and paraffin-embedded Human tonsil stained with ARG56202 anti-Nuclear Marker antibody [NM106].
-
ARG56202 anti-Nuclear Marker antibody [NM106] IHC-P image
Immunohistochemistry: Formalin-fixed and paraffin-embedded Human tonsil stained with ARG56202 anti-Nuclear Marker antibody [NM106].
-
ARG56202 anti-Nuclear Marker antibody [NM106] IHC-P image
Immunohistochemistry: Formalin-fixed and paraffin-embedded Rat colon stained with ARG56202 anti-Nuclear Marker antibody [NM106].
-
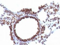
ARG56202 anti-Nuclear Marker antibody [NM106] IHC-P image
Immunohistochemistry: Formalin-fixed and paraffin-embedded Rat lung stained with ARG56202 anti-Nuclear Marker antibody [NM106].
