ARG43763
anti-Notch 1 antibody
anti-Notch 1 antibody for Flow cytometry,ICC/IF,IHC-Formalin-fixed paraffin-embedded sections,Western blot and Human,Mouse,Rat
Cell Biology and Cellular Response antibody; Developmental Biology antibody; Gene Regulation antibody; Neuroscience antibody; Signaling Transduction antibody
概述
| 产品描述 | Rabbit Polyclonal antibody recognizes Notch 1 |
|---|---|
| 反应物种 | Hu, Ms, Rat |
| 应用 | FACS, ICC/IF, IHC-P, WB |
| 宿主 | Rabbit |
| 克隆 | Polyclonal |
| 同位型 | IgG |
| 靶点名称 | Notch 1 |
| 抗原物种 | Human |
| 抗原 | Synthetic peptide corresponding to Human Notch 1. |
| 偶联标记 | Un-conjugated |
| 別名 | AOVD1; Translocation-associated notch protein TAN-1; NEXT; hN1; AOS5; NICD; Notch 1; Neurogenic locus notch homolog protein 1; TAN1 |
应用说明
| 应用建议 |
|
||||||||||
|---|---|---|---|---|---|---|---|---|---|---|---|
| 应用说明 | * The dilutions indicate recommended starting dilutions and the optimal dilutions or concentrations should be determined by the scientist. | ||||||||||
| 实际分子量 | 270 kDa; 125 kDa |
属性
| 形式 | Liquid |
|---|---|
| 纯化 | Affinity purified. |
| 缓冲液 | PBS (pH 7.4), 150 mM NaCl, 0.02% Sodium azide and 50% Glycerol. |
| 抗菌剂 | 0.02% Sodium azide |
| 稳定剂 | 50% Glycerol |
| 存放说明 | For continuous use, store undiluted antibody at 2-8°C for up to a week. For long-term storage, aliquot and store at -20°C or below. Storage in frost free freezers is not recommended. Avoid repeated freeze/thaw cycles. Suggest spin the vial prior to opening. The antibody solution should be gently mixed before use. |
| 注意事项 | For laboratory research only, not for drug, diagnostic or other use. |
生物信息
| 数据库连接 | |
|---|---|
| 基因名称 | NOTCH1 |
| 全名 | notch 1 |
| 背景介绍 | This gene encodes a member of the Notch family. Members of this Type 1 transmembrane protein family share structural characteristics including an extracellular domain consisting of multiple epidermal growth factor-like (EGF) repeats, and an intracellular domain consisting of multiple, different domain types. Notch family members play a role in a variety of developmental processes by controlling cell fate decisions. The Notch signaling network is an evolutionarily conserved intercellular signaling pathway which regulates interactions between physically adjacent cells. In Drosophilia, notch interaction with its cell-bound ligands (delta, serrate) establishes an intercellular signaling pathway that plays a key role in development. Homologues of the notch-ligands have also been identified in human, but precise interactions between these ligands and the human notch homologues remain to be determined. This protein is cleaved in the trans-Golgi network, and presented on the cell surface as a heterodimer. This protein functions as a receptor for membrane bound ligands, and may play multiple roles during development. [provided by RefSeq, Jul 2008] |
| 生物功能 | Functions as a receptor for membrane-bound ligands Jagged1, Jagged2 and Delta1 to regulate cell-fate determination. Upon ligand activation through the released notch intracellular domain (NICD) it forms a transcriptional activator complex with RBPJ/RBPSUH and activates genes of the enhancer of split locus. Affects the implementation of differentiation, proliferation and apoptotic programs. Involved in angiogenesis; negatively regulates endothelial cell proliferation and migration and angiogenic sprouting. Involved in the maturation of both CD4+ and CD8+ cells in the thymus. Important for follicular differentiation and possibly cell fate selection within the follicle. During cerebellar development, functions as a receptor for neuronal DNER and is involved in the differentiation of Bergmann glia. Represses neuronal and myogenic differentiation. May play an essential role in postimplantation development, probably in some aspect of cell specification and/or differentiation. May be involved in mesoderm development, somite formation and neurogenesis. May enhance HIF1A function by sequestering HIF1AN away from HIF1A. Required for the THBS4 function in regulating protective astrogenesis from the subventricular zone (SVZ) niche after injury. Involved in determination of left/right symmetry by modulating the balance between motile and immotile (sensory) cilia at the left-right organiser (LRO). [UniProt] |
| 细胞定位 | Cell membrane; Single-pass type I membrane protein |
| 研究领域 | Cell Biology and Cellular Response antibody; Developmental Biology antibody; Gene Regulation antibody; Neuroscience antibody; Signaling Transduction antibody |
| 预测分子量 | 273 kDa |
| 翻译后修饰 | Synthesized in the endoplasmic reticulum as an inactive form which is proteolytically cleaved by a furin-like convertase in the trans-Golgi network before it reaches the plasma membrane to yield an active, ligand-accessible form. Cleavage results in a C-terminal fragment N(TM) and a N-terminal fragment N(EC). Following ligand binding, it is cleaved by ADAM17 to yield a membrane-associated intermediate fragment called notch extracellular truncation (NEXT). Following endocytosis, this fragment is then cleaved by presenilin dependent gamma-secretase to release a notch-derived peptide containing the intracellular domain (NICD) from the membrane. Phosphorylated. O-glycosylated on the EGF-like domains (PubMed:24226769). Contains both O-linked fucose and O-linked glucose in the EGF-like domains 11, 12 and 13, which are interacting with the residues on DLL4 (By similarity). O-linked glycosylation by GALNT11 is involved in determination of left/right symmetry: glycosylation promotes activation of NOTCH1, possibly by promoting cleavage by ADAM17, modulating the balance between motile and immotile (sensory) cilia at the left-right organiser (LRO) (PubMed:24226769). Ubiquitinated; undergoes 'Lys-29'-linked polyubiquitination catalyzed by ITCH. Monoubiquitination at Lys-1759 is required for activation by gamma-secretase cleavage, it promotes interaction with AAK1, which stabilizes it. Deubiquitination by EIF3F is necessary for nuclear import of activated Notch. Hydroxylated at Asn-1955 by HIF1AN. Hydroxylated at Asn-2022 by HIF1AN (By similarity). Hydroxylation reduces affinity for HI1AN and may thus indirectly modulate negative regulation of NICD (By similarity). |
检测图片 (3) Click the Picture to Zoom In
-
ARG43763 anti-Notch 1 antibody WB image
Western blot: HEK293 stained with ARG43763 anti-Notch 1 antibody.
-
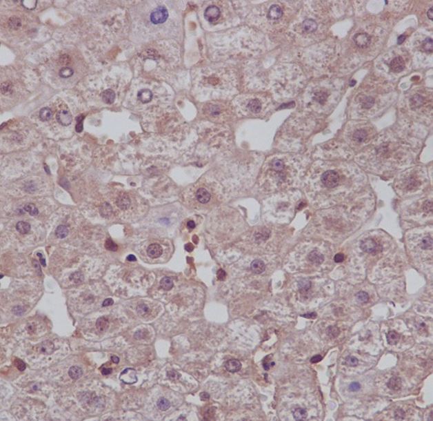
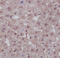
ARG43763 anti-Notch 1 antibody IHC-P image
Immunohistochemistry: Human liver stained with ARG43763 anti-Notch 1 antibody.
-
ARG43763 anti-Notch 1 antibody ICC/IF image
Immunofluorescence: Hela stained with ARG43763 anti-Notch 1 antibody.
