ARG45918
anti-Norbin antibody
anti-Norbin antibody for Western blot,IHC-Formalin-fixed paraffin-embedded sections,Flow cytometry and Human,Mouse,Rat
概述
| 产品描述 | Rabbit Polyclonal antibody recognizes Norbin |
|---|---|
| 反应物种 | Hu, Ms, Rat |
| 应用 | FACS, IHC-P, WB |
| 宿主 | Rabbit |
| 克隆 | Polyclonal |
| 同位型 | IgG |
| 靶点名称 | Norbin |
| 抗原物种 | Human |
| 抗原 | Recombinant protein containing to human Norbin. |
| 偶联标记 | Un-conjugated |
| 別名 | NCDN; KIAA0607; Neurochondrin |
应用说明
| 应用建议 |
|
||||||||
|---|---|---|---|---|---|---|---|---|---|
| 应用说明 | * The dilutions indicate recommended starting dilutions and the optimal dilutions or concentrations should be determined by the scientist. | ||||||||
| 实际分子量 | 79 kDa |
属性
| 形式 | Liquid |
|---|---|
| 纯化 | Affinity chromatography purified |
| 缓冲液 | 0.2% Na2HPO4, 0.9% NaCl and 4% Trehalose. |
| 稳定剂 | 4% Trehalose |
| 浓度 | 0.5 mg/ml |
| 存放说明 | For continuous use, store undiluted antibody at 2-8°C for up to a week. For long-term storage, aliquot and store at -22°C or below. Storage in frost free freezers is not recommended. Avoid repeated freeze/thaw cycles. Suggest spin the vial prior to opening. The antibody solution should be gently mixed before use. |
| 注意事项 | For laboratory research only, not for drug, diagnostic or other use. |
生物信息
| 数据库连接 | |
|---|---|
| 基因名称 | NCDN |
| 全名 | Neurochondrin |
| 背景介绍 | This gene encodes a leucine-rich cytoplasmic protein, which is highly similar to a mouse protein that negatively regulates Ca/calmodulin-dependent protein kinase II phosphorylation and may be essential for spatial learning processes. Several alternatively spliced transcript variants of this gene have been described. [provided by RefSeq, Jul 2008] |
| 生物功能 | Probably involved in signal transduction in the nervous system, via increasing cell surface localization of GRM5/mGluR5 and positively regulating its signaling. [UniProt] |
| 细胞定位 | Cell projection; Cytoplasm; Endosome; Membrane; Synapse. [UniProt] |
| 预测分子量 | 79 kDa |
| 翻译后修饰 | Acetylation; Lipoprotein; Methylation; Palmitate; Phosphoprotein. [UniProt] |
检测图片 (6) Click the Picture to Zoom In
-
ARG45918 anti-Norbin antibody WB image
Western blot: HEL stained with ARG45918 anti-Norbin antibody at 0.5 μg/ml dilution.
-
ARG45918 anti-Norbin antibody FACS image
Flow Cytometry: SiHa stained with ARG45918 anti-Norbin antibody at 1 µg/10^6 cells dilution.
-
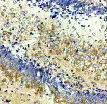
ARG45918 anti-Norbin antibody IHC-P image
Immunohistochemistry: Rat brain stained with ARG45918 anti-Norbin antibody at 2 μg/ml dilution.
-
ARG45918 anti-Norbin antibody WB image
Western blot: Rat brain stained with ARG45918 anti-Norbin antibody at 0.5 μg/ml dilution.
-
ARG45918 anti-Norbin antibody IHC-P image
Immunohistochemistry: Mouse brain stained with ARG45918 anti-Norbin antibody at 2 μg/ml dilution.
-
ARG45918 anti-Norbin antibody WB image
Western blot: Mouse brain stained with ARG45918 anti-Norbin antibody at 0.5 μg/ml dilution.
