ARG66463
anti-Neuroligin Y antibody
anti-Neuroligin Y antibody for IHC-Formalin-fixed paraffin-embedded sections,Western blot and Human,Mouse,Rat
概述
| 产品描述 | Rabbit Polyclonal antibody recognizes Neuroligin Y |
|---|---|
| 反应物种 | Hu, Ms, Rat |
| 应用 | IHC-P, WB |
| 宿主 | Rabbit |
| 克隆 | Polyclonal |
| 同位型 | IgG |
| 靶点名称 | Neuroligin Y |
| 抗原物种 | Human |
| 抗原 | Recombinant full length protein of Human Neuroligin Y. |
| 偶联标记 | Un-conjugated |
| 別名 | Neuroligin Y; Neuroligin-4, Y-linked |
应用说明
| 应用建议 |
|
||||||
|---|---|---|---|---|---|---|---|
| 应用说明 | IHC-P: Antigen Retrieval: Heat mediation was performed in Sodium citrate buffer (pH 6.0). * The dilutions indicate recommended starting dilutions and the optimal dilutions or concentrations should be determined by the scientist. |
属性
| 形式 | Liquid |
|---|---|
| 纯化 | Affinity purification with immunogen. |
| 缓冲液 | 0.42% Potassium phosphate (pH 7.3), 0.87% NaCl, 0.01% Sodium azide and 30% Glycerol. |
| 抗菌剂 | 0.01% Sodium azide |
| 稳定剂 | 30% Glycerol |
| 存放说明 | For continuous use, store undiluted antibody at 2-8°C for up to a week. For long-term storage, aliquot and store at -20°C. Storage in frost free freezers is not recommended. Avoid repeated freeze/thaw cycles. Suggest spin the vial prior to opening. The antibody solution should be gently mixed before use. |
| 注意事项 | For laboratory research only, not for drug, diagnostic or other use. |
生物信息
| 数据库连接 | |
|---|---|
| 基因名称 | NLGN4Y |
| 全名 | neuroligin 4, Y-linked |
| 背景介绍 | This gene encodes a type I membrane protein that belongs to the family of neuroligins, which are cell adhesion molecules present at the postsynaptic side of the synapse, and may be essential for the formation of functional synapses. Alternatively spliced transcript variants have been found for this gene.[provided by RefSeq, Mar 2011] |
| 生物功能 | Putative neuronal cell surface protein involved in cell-cell-interactions. [UniProt] |
| 细胞定位 | Cell membrane; Single-pass type I membrane protein. Cell junction, synapse, postsynaptic cell membrane, postsynaptic density. [UniProt] |
| 预测分子量 | 92 kDa |
检测图片 (2) Click the Picture to Zoom In
-
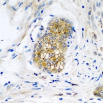
ARG66463 anti-NLGN4Y / Neuroligin Y antibody IHC-P image
Immunohistochemistry: Formalin-fixed and paraffin-embedded Human prostate. Antigen Retrieval: Heat mediation was performed in Sodium citrate buffer (pH 6.0). The section was then incubated with ARG66463 anti-NLGN4Y / Neuroligin Y antibody at room temperature and detected using an HRP conjugated compact polymer system. DAB was used as the chromogen. The section was then counterstained with haematoxylin and mounted with DPX.
-
ARG66463 anti-NLGN4Y / Neuroligin Y antibody WB image
Western blot: HeLa, A549, Mouse brain and Rat brain lysates stained with ARG66463 anti-NLGN4Y / Neuroligin Y antibody.
