ARG64081
anti-Neurobeachin antibody
anti-Neurobeachin antibody for IHC-Formalin-fixed paraffin-embedded sections,Western blot and Human,Mouse
Signaling Transduction antibody
概述
| 产品描述 | Goat Polyclonal antibody recognizes Neurobeachin |
|---|---|
| 反应物种 | Hu, Ms |
| 预测物种 | Cow, Dog |
| 应用 | IHC-P, WB |
| 特异性 | This antibody is expected to recognise isoform 1 (NP_056493.3) and isoform 2 (NP_001191126.1). |
| 宿主 | Goat |
| 克隆 | Polyclonal |
| 同位型 | IgG |
| 靶点名称 | Neurobeachin |
| 抗原物种 | Human |
| 抗原 | C-DFNRWHYEHQNRY |
| 偶联标记 | Un-conjugated |
| 別名 | Protein BCL8B; Lysosomal-trafficking regulator 2; Neurobeachin; BCL8B; LYST2 |
应用说明
| 应用建议 |
|
||||||
|---|---|---|---|---|---|---|---|
| 应用说明 | IHC-P: Antigen Retrieval: Steam tissue section in Citrate buffer (pH 6.0). * The dilutions indicate recommended starting dilutions and the optimal dilutions or concentrations should be determined by the scientist. |
属性
| 形式 | Liquid |
|---|---|
| 纯化 | Purified from goat serum by antigen affinity chromatography. |
| 缓冲液 | Tris saline (pH 7.3), 0.02% Sodium azide and 0.5% BSA. |
| 抗菌剂 | 0.02% Sodium azide |
| 稳定剂 | 0.5% BSA |
| 浓度 | 0.5 mg/ml |
| 存放说明 | For continuous use, store undiluted antibody at 2-8°C for up to a week. For long-term storage, aliquot and store at -20°C or below. Storage in frost free freezers is not recommended. Avoid repeated freeze/thaw cycles. Suggest spin the vial prior to opening. The antibody solution should be gently mixed before use. |
| 注意事项 | For laboratory research only, not for drug, diagnostic or other use. |
生物信息
| 数据库连接 | |
|---|---|
| 背景介绍 | This gene encodes a member of a large, diverse group of A-kinase anchor proteins that target the activity of protein kinase A to specific subcellular sites by binding to its type II regulatory subunits. Brain-specific expression and coat protein-like membrane recruitment of a highly similar protein in mouse suggest an involvement in neuronal post-Golgi membrane traffic. Mutations in this gene may be associated with a form of autism. This gene and its expression are frequently disrupted in patients with multiple myeloma. Alternative splicing results in multiple transcript variants encoding distinct isoforms. Additional transcript variants may exist, but their full-length nature has not been determined.[provided by RefSeq, Feb 2011] |
| 研究领域 | Signaling Transduction antibody |
| 预测分子量 | 328 kDa |
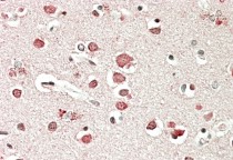
检测图片 (2) Click the Picture to Zoom In
-
ARG64081 anti-Neurobeachin antibody IHC-P image
Immunohistochemistry: paraffin embedded Human Cerebral Cortex. (Steamed antigen retrieval with citrate buffer pH 6) stained with ARG64081 anti-Neurobeachin antibody at 5 µg/ml dilution followed by AP-staining.
-
ARG64081 anti-Neurobeachin antibody WB image
Western blot: HEK293T cells untransfected (left) or transfected with Mouse NBEA (right). Cell lysates were stained with ARG64081 anti-Neurobeachin antibody at 1 µg/ml dilution.
