ARG45930
anti-Netrin 4 antibody
anti-Netrin 4 antibody for Western blot,IHC-Formalin-fixed paraffin-embedded sections,Flow cytometry and Human
概述
| 产品描述 | Rabbit Polyclonal antibody recognizes Netrin 4 |
|---|---|
| 反应物种 | Hu |
| 应用 | FACS, IHC-P, WB |
| 宿主 | Rabbit |
| 克隆 | Polyclonal |
| 同位型 | IgG |
| 靶点名称 | Netrin 4 |
| 抗原物种 | Human |
| 抗原 | Recombinant protein containing to human Netrin 4. |
| 偶联标记 | Un-conjugated |
| 別名 | Netrin 4; NTN4; Netrin-4; Beta-netrin; Hepar-derived netrin-like protein |
应用说明
| 应用建议 |
|
||||||||
|---|---|---|---|---|---|---|---|---|---|
| 应用说明 | * The dilutions indicate recommended starting dilutions and the optimal dilutions or concentrations should be determined by the scientist. | ||||||||
| 实际分子量 | 70 kDa |
属性
| 形式 | Liquid |
|---|---|
| 纯化 | Affinity chromatography purified |
| 缓冲液 | 0.2% Na2HPO4, 0.9% NaCl and 4% Trehalose. |
| 稳定剂 | 4% Trehalose |
| 浓度 | 0.5 mg/ml |
| 存放说明 | For continuous use, store undiluted antibody at 2-8°C for up to a week. For long-term storage, aliquot and store at -22°C or below. Storage in frost free freezers is not recommended. Avoid repeated freeze/thaw cycles. Suggest spin the vial prior to opening. The antibody solution should be gently mixed before use. |
| 注意事项 | For laboratory research only, not for drug, diagnostic or other use. |
生物信息
| 数据库连接 | |
|---|---|
| 基因名称 | NTN4 |
| 全名 | Netrin 4 |
| 背景介绍 | This gene encodes a member of the netrin family of proteins, which function in various biological processes including axon guidance, tumorogenesis, and angiogenesis. Netrins are laminin-related proteins that have an N-terminal laminin-type domain, epidermal growth factor-like repeat domain, and a positively charged heparin-binding domain at the C-terminus. The protein encoded by this gene is involved in processes including neurite growth and migration, angiogenesis and mural cell adhesion to endothelial cells. Alternative splicing results in multiple transcript variants. [provided by RefSeq, Jul 2016] |
| 生物功能 | May play an important role in neural, kidney and vascular development. Promotes neurite elongation from olfactory bulb explants. [UniProt] |
| 细胞定位 | Basement membrane; Extracellular matrix; Secreted. [UniProt] |
| 预测分子量 | 70 kDa |
| 翻译后修饰 | Disulfide bond; Glycoprotein. [UniProt] |
检测图片 (3) Click the Picture to Zoom In
-
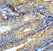
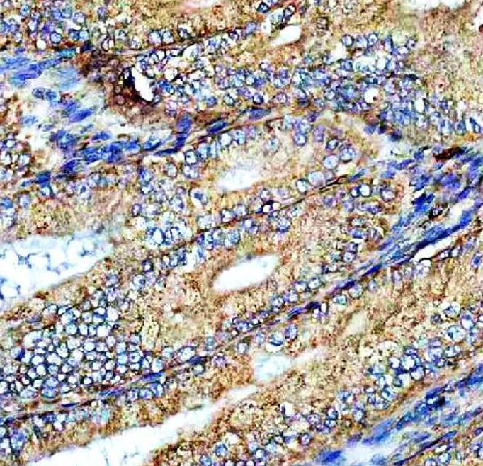
ARG45930 anti-Netrin 4 antibody IHC-P image
Immunohistochemistry: Human endometrial cancer stained with ARG45930 anti-Netrin 4 antibody at 2 μg/ml dilution.
-
ARG45930 anti-Netrin 4 antibody WB image
Western blot: RT4 stained with ARG45930 anti-Netrin 4 antibody at 0.5 μg/ml dilution.
-
ARG45930 anti-Netrin 4 antibody FACS image
Flow Cytometry: SiHa stained with ARG45930 anti-Netrin 4 antibody at 1 µg/10^6 cells dilution.
