ARG45396
anti-Nesprin 2 antibody
anti-Nesprin 2 antibody for Flow cytometry,ICC/IF,IHC-Formalin-fixed paraffin-embedded sections,Western blot and Human,Monkey
概述
| 产品描述 | Rabbit Polyclonal antibody recognizes Nesprin 2 |
|---|---|
| 反应物种 | Hu, Mk |
| 应用 | FACS, ICC/IF, IHC-P, WB |
| 宿主 | Rabbit |
| 克隆 | Polyclonal |
| 同位型 | IgG |
| 靶点名称 | Nesprin 2 |
| 抗原物种 | Human |
| 抗原 | Recombinant protein containing to human Nesprin 2. |
| 偶联标记 | Un-conjugated |
| 別名 | SYNE2; Spectrin Repeat Containing Nuclear Envelope Protein 2; Nesprin-2; NUA; KIAA1011; SYNE-2; NUANCE; Nesp2; Spectrin Repeat Containing, Nuclear Envelope 2; Nucleus And Actin Connecting Element Protein; Nuclear Envelope Spectrin Repeat Protein 2; Synaptic Nuclear Envelope Protein 2; KASH Domain-Containing Protein 2; DKFZP434H2235; KASH2; Nucleus And Actin Connecting Element; Nuclear Envelope Spectrin Repeat-2; Synaptic Nuclei Expressed Gene 2; Nesprin-2 Spectrin Repeats 3-54; Protein NUANCE; Polytrophin; Nesprin 2; Syne-2; EDMD5; TROPH |
应用说明
| 应用建议 |
|
||||||||||
|---|---|---|---|---|---|---|---|---|---|---|---|
| 应用说明 | * The dilutions indicate recommended starting dilutions and the optimal dilutions or concentrations should be determined by the scientist. | ||||||||||
| 实际分子量 | 50-60 kDa |
属性
| 形式 | Liquid |
|---|---|
| 纯化 | Affinity purified |
| 缓冲液 | 0.2% Na2HPO4, 0.9% NaCl and 4% Trehalose. |
| 稳定剂 | 4% Trehalose |
| 浓度 | 0.5 mg/ml |
| 存放说明 | For continuous use, store undiluted antibody at 2-8°C for up to a week. For long-term storage, aliquot and store at -20°C or below. Storage in frost free freezers is not recommended. Avoid repeated freeze/thaw cycles. Suggest spin the vial prior to opening. The antibody solution should be gently mixed before use. |
| 注意事项 | For laboratory research only, not for drug, diagnostic or other use. |
生物信息
| 数据库连接 | |
|---|---|
| 基因名称 | SYNE2 |
| 全名 | Spectrin Repeat Containing Nuclear Envelope Protein 2 |
| 背景介绍 | The protein encoded by this gene is a nuclear outer membrane protein that binds cytoplasmic F-actin. This binding tethers the nucleus to the cytoskeleton and aids in the maintenance of the structural integrity of the nucleus. Several transcript variants encoding different isoforms have been found for this gene. [provided by RefSeq, Mar 2009] |
| 生物功能 | Multi-isomeric modular protein which forms a linking network between organelles and the actin cytoskeleton to maintain the subcellular spatial organization. As a component of the LINC (LInker of Nucleoskeleton and Cytoskeleton) complex involved in the connection between the nuclear lamina and the cytoskeleton. The nucleocytoplasmic interactions established by the LINC complex play an important role in the transmission of mechanical forces across the nuclear envelope and in nuclear movement and positioning. [UniProt] |
| 细胞定位 | Cell junction; Cell membrane; Cytoplasm; Cytoskeleton; Membrane; Mitochondrion; Nucleus; Sarcoplasmic reticulum. [UniProt] |
| 预测分子量 | 97 kDa |
| 翻译后修饰 | Acetylation; Disulfide bond; Phosphoprotein; Ubl conjugation. [UniProt] |
检测图片 (5) Click the Picture to Zoom In
-
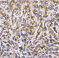
ARG45396 anti-Nesprin 2 antibody IHC-P image
Immunohistochemistry: Human penis squamous cell carcinoma stained with ARG45396 anti-Nesprin 2 antibody at 2 μg/ml dilution.
-
ARG45396 anti-Nesprin 2 antibody ICC/IF image
Immunofluorescence: Hela stained with ARG45396 anti-Nesprin 2 antibody at 5 μg/ml dilution.
-
ARG45396 anti-Nesprin 2 antibody WB image
Western blot: 293T stained with ARG45396 anti-Nesprin 2 antibody at 0.5 μg/ml dilution.
-
ARG45396 anti-Nesprin 2 antibody FACS image
Flow Cytometry: U87 stained with ARG45396 anti-Nesprin 2 antibody at 1 µg/10^6 cells dilution.
-
ARG45396 anti-Nesprin 2 antibody WB image
Western blot: COS-7 stained with ARG45396 anti-Nesprin 2 antibody at 0.5 μg/ml dilution.
