ARG44106
anti-NVL antibody
anti-NVL antibody for Flow cytometry,ICC/IF,IHC-Formalin-fixed paraffin-embedded sections,Western blot and Human,Rat
概述
| 产品描述 | Rabbit Polyclonal recognizes NVL |
|---|---|
| 反应物种 | Hu, Rat |
| 应用 | FACS, ICC/IF, IHC-P, WB |
| 宿主 | Rabbit |
| 克隆 | Polyclonal |
| 同位型 | IgG |
| 靶点名称 | NVL |
| 抗原物种 | Human |
| 抗原 | Human NVL recombinant protein (Position: R4-Q807). |
| 偶联标记 | Un-conjugated |
| 別名 | NVL; Nuclear VCP Like; NVL2; Nuclear Valosin-Containing Protein-Like; Nuclear VCP-Like Protein; NVLp |
应用说明
| 应用建议 |
|
||||||||||
|---|---|---|---|---|---|---|---|---|---|---|---|
| 应用说明 | The dilutions indicate recommended starting dilutions and the optimal dilutions or concentrations should be determined by the scientist. |
属性
| 形式 | Liquid |
|---|---|
| 纯化 | Affinity purification with immunogen. |
| 缓冲液 | 0.9% NaCl, 0.2% Na2HPO4, 0.05% Sodium azide and 4% Trehalose. |
| 抗菌剂 | 0.05% Sodium azide |
| 稳定剂 | 4% Trehalose |
| 浓度 | 0.5 mg/ml |
| 存放说明 | For continuous use, store undiluted antibody at 2-8°C for up to a week. For long-term storage, aliquot and store at -20°C or below. Storage in frost free freezers is not recommended. Avoid repeated freeze/thaw cycles. Suggest spin the vial prior to opening. The antibody solution should be gently mixed before use. |
| 注意事项 | For laboratory research only, not for drug, diagnostic or other use. |
生物信息
| 数据库连接 |
Swiss-port # O15381 Human Nuclear valosin-containing protein-like |
|---|---|
| 基因名称 | NVL |
| 全名 | Nuclear VCP Like |
| 背景介绍 | This gene encodes a member of the AAA (ATPases associated with diverse cellular activities) superfamily. Multiple transcript variants encoding different isoforms have been found for this gene. Two encoded proteins, described as major and minor isoforms, have been localized to distinct regions of the nucleus. The largest encoded protein (major isoform) has been localized to the nucleolus and shown to participate in ribosome biosynthesis (PMID: 15469983, 16782053), while the minor isoform has been localized to the nucleoplasmin. |
| 生物功能 | Participates in the assembly of the telomerase holoenzyme and effecting of telomerase activity via its interaction with TERT. |
| 细胞定位 | Nucleus |
| 预测分子量 | 95 kDa |
| 翻译后修饰 | Acetylation, Isopeptide bond, Phosphoprotein, Ubl conjugation |
检测图片 (6) Click the Picture to Zoom In
-
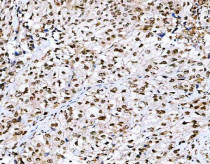
ARG44106 anti-NVL antibody IHC-P image
Immunohistochemistry: Human testicular germ cell tumors stained with ARG44106 anti-NVL antibody at 2 μg/ml dilution.
-
ARG44106 anti-NVL antibody WB image
Western blot: 293T and K562 stained with ARG44106 anti-NVL antibody at 0.5 μg/mL dilution.
-
ARG44106 anti-NVL antibody ICC/IF image
Immunofluorescence: U2OS stained with ARG44106 anti-NVL antibody at 5 μg/ml dilution.
-
ARG44106 anti-NVL antibody IHC-P image
Immunohistochemistry: Rat brain stained with ARG44106 anti-NVL antibody at 2 μg/ml dilution.
-
ARG44106 anti-NVL antibody IHC-P image
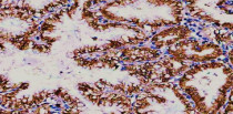
Immunohistochemistry: Human urothelial carcinoma stained with ARG44106 anti-NVL antibody at 2 μg/ml dilution.
-
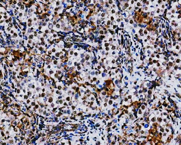
ARG44106 anti-NVL antibody IHC-P image
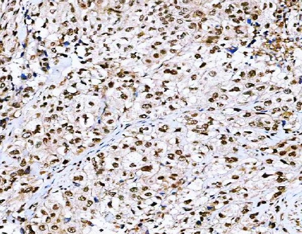
Immunohistochemistry: Human lung adenocarcinoma stained with ARG44106 anti-NVL antibody at 2 μg/ml dilution.
