ARG45676
anti-NUP43 antibody
anti-NUP43 antibody for Flow cytometry,ICC/IF,IHC-Formalin-fixed paraffin-embedded sections,Western blot and Human,Mouse,Rat
概述
| 产品描述 | Rabbit Polyclonal antibody recognizes NUP43 |
|---|---|
| 反应物种 | Hu, Ms, Rat |
| 应用 | FACS, ICC/IF, IHC-P, WB |
| 宿主 | Rabbit |
| 克隆 | Polyclonal |
| 同位型 | IgG |
| 靶点名称 | NUP43 |
| 抗原物种 | Human |
| 抗原 | Recombinant protein containing to human NUP43. |
| 偶联标记 | Un-conjugated |
| 別名 | NUP43; Nucleoporin 43; BA350J20.1; Nup107-160 Subcomplex Subunit Nup43; Nucleoporin 43kDa; Nucleoporin Nup43; FLJ13287; P42 |
应用说明
| 应用建议 |
|
||||||||||
|---|---|---|---|---|---|---|---|---|---|---|---|
| 应用说明 | * The dilutions indicate recommended starting dilutions and the optimal dilutions or concentrations should be determined by the scientist. | ||||||||||
| 实际分子量 | 42 kDa |
属性
| 形式 | Liquid |
|---|---|
| 纯化 | Affinity purified |
| 缓冲液 | 0.2% Na2HPO4, 0.9% NaCl and 4% Trehalose. |
| 稳定剂 | 4% Trehalose |
| 浓度 | 0.5 mg/ml |
| 存放说明 | For continuous use, store undiluted antibody at 2-8°C for up to a week. For long-term storage, aliquot and store at -20°C or below. Storage in frost free freezers is not recommended. Avoid repeated freeze/thaw cycles. Suggest spin the vial prior to opening. The antibody solution should be gently mixed before use. |
| 注意事项 | For laboratory research only, not for drug, diagnostic or other use. |
生物信息
| 数据库连接 | |
|---|---|
| 基因名称 | NUP43 |
| 全名 | Nucleoporin 43 |
| 背景介绍 | Bidirectional transport of macromolecules between the cytoplasm and nucleus occurs through nuclear pore complexes (NPCs) embedded in the nuclear envelope. NPCs are composed of subcomplexes, and NUP43 is part of one such subcomplex, Nup107-160 (Loiodice et al., 2004 [PubMed 15146057]).[supplied by OMIM, Mar 2008] |
| 生物功能 | Component of the Nup107-160 subcomplex of the nuclear pore complex (NPC). The Nup107-160 subcomplex is required for the assembly of a functional NPC. The Nup107-160 subcomplex is also required for normal kinetochore microtubule attachment, mitotic progression and chromosome segregation. [UniProt] |
| 细胞定位 | Centromere; Chromosome; Kinetochore; Nuclear pore complex; Nucleus. [UniProt] |
| 预测分子量 | 42 kDa |
| 翻译后修饰 | Acetylation. [UniProt] |
检测图片 (6) Click the Picture to Zoom In
-
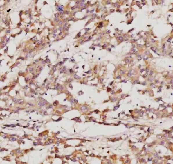
ARG45676 anti-NUP43 antibody IHC-P image
Immunohistochemistry: Human liver cancer stained with ARG45676 anti-NUP43 antibody at 2 μg/ml dilution.
-
ARG45676 anti-NUP43 antibody ICC/IF image
Immunofluorescence: A549 stained with ARG45676 anti-NUP43 antibody at 5 μg/ml dilution.
-
ARG45676 anti-NUP43 antibody WB image
Western blot: K562 stained with ARG45676 anti-NUP43 antibody at 0.5 μg/ml dilution.
-
ARG45676 anti-NUP43 antibody FACS image
Flow Cytometry: K562 stained with ARG45676 anti-NUP43 antibody at 1 µg/10^6 cells dilution.
-
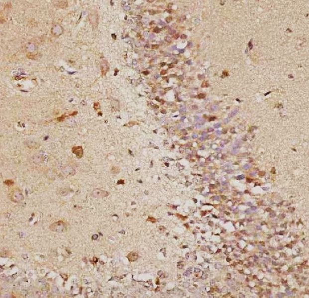
ARG45676 anti-NUP43 antibody IHC-P image
Immunohistochemistry: Rat brain stained with ARG45676 anti-NUP43 antibody at 2 μg/ml dilution.
-
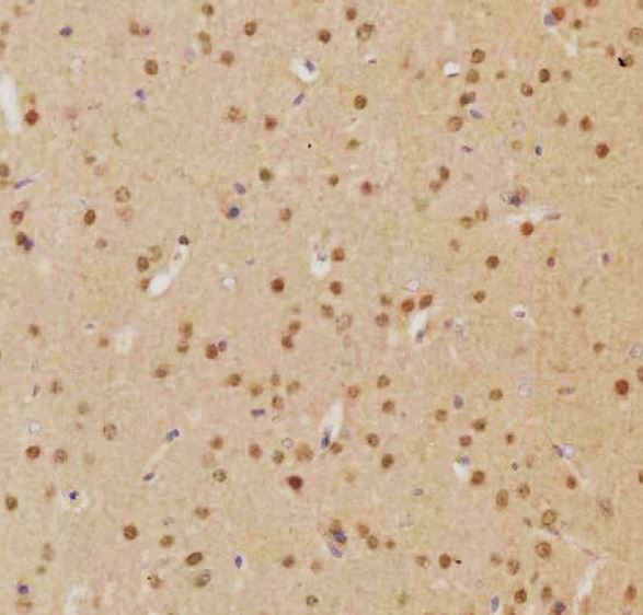
ARG45676 anti-NUP43 antibody IHC-P image
Immunohistochemistry: Mouse brain stained with ARG45676 anti-NUP43 antibody at 2 μg/ml dilution.
