ARG45592
anti-NUDT7 antibody
anti-NUDT7 antibody for Flow cytometry,IHC-Formalin-fixed paraffin-embedded sections,Western blot and Human,Mouse,Rat
概述
| 产品描述 | Rabbit Polyclonal antibody recognizes NUDT7 |
|---|---|
| 反应物种 | Hu, Ms, Rat |
| 应用 | FACS, IHC-P, WB |
| 宿主 | Rabbit |
| 克隆 | Polyclonal |
| 同位型 | IgG |
| 靶点名称 | NUDT7 |
| 抗原物种 | Human |
| 抗原 | Recombinant protein containing to human NUDT7. |
| 偶联标记 | Un-conjugated |
| 別名 | NUDT7; Nudix Hydrolase 7; Nudix (Nucleoside Diphosphate Linked Moiety X)-Type Motif 7; Peroxisomal Coenzyme A Diphosphatase NUDT7; Nucleoside Diphosphate-Linked Moiety X Motif 7; Nudix Motif 7; EC 3.6.1.77; EC 3.6.1.- |
应用说明
| 应用建议 |
|
||||||||
|---|---|---|---|---|---|---|---|---|---|
| 应用说明 | * The dilutions indicate recommended starting dilutions and the optimal dilutions or concentrations should be determined by the scientist. | ||||||||
| 实际分子量 | 27 kDa |
属性
| 形式 | Liquid |
|---|---|
| 纯化 | Affinity purified |
| 缓冲液 | 0.2% Na2HPO4, 0.9% NaCl and 4% Trehalose. |
| 稳定剂 | 4% Trehalose |
| 浓度 | 0.5 mg/ml |
| 存放说明 | For continuous use, store undiluted antibody at 2-8°C for up to a week. For long-term storage, aliquot and store at -20°C or below. Storage in frost free freezers is not recommended. Avoid repeated freeze/thaw cycles. Suggest spin the vial prior to opening. The antibody solution should be gently mixed before use. |
| 注意事项 | For laboratory research only, not for drug, diagnostic or other use. |
生物信息
| 数据库连接 |
Swiss-port # P0C024 Human Peroxisomal coenzyme A diphosphatase NUDT7 Swiss-port # Q99P30 Mouse Peroxisomal coenzyme A diphosphatase NUDT7 |
|---|---|
| 基因名称 | NUDT7 |
| 全名 | Nudix Hydrolase 7 |
| 背景介绍 | The protein encoded by this gene is a member of the Nudix hydrolase family. Nudix hydrolases eliminate potentially toxic nucleotide metabolites from the cell and regulate the concentrations and availability of many different nucleotide substrates, cofactors, and signaling molecules. Alternatively spliced transcript variants encoding multiple isoforms have been found for this gene. [provided by RefSeq, Aug 2011] |
| 生物功能 | Fatty acyl-coenzyme A (CoA) diphosphatase that hydrolyzes fatty acyl-CoA to yield acyl-4'-phosphopantetheine and adenosine 3',5'-bisphosphate (By similarity). Cleaves CoA, CoA esters and oxidized CoA with similar efficiencies (By similarity). Preferentially hydrolyzes medium-chain acyl-CoAs and bile acid-CoAs (By similarity). Has no activity toward NDP-sugars, CDP-alcohols, (deoxy)nucleoside 5'-triphosphates, nucleoside 5'-di or monophosphates, diadenosine polyphosphates, NAD, NADH, NADP, NADPH or thymidine-5'-monophospho-p-nitrophenyl ester (By similarity). May be required to eliminate oxidized CoA from peroxisomes, or regulate CoA and acyl-CoA levels in this organelle in response to metabolic demand (By similarity). Does not play a role in U8 snoRNA decapping activity (By similarity). Binds U8 snoRNA (By similarity). Exhibits decapping activity towards dpCoA-capped RNAs in vitro. [UniProt] |
| 细胞定位 | Peroxisome. [UniProt] |
| 预测分子量 | 27 kDa |
检测图片 (5) Click the Picture to Zoom In
-
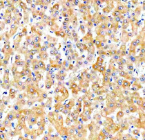
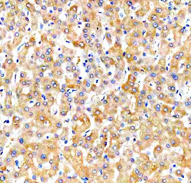
ARG45592 anti-NUDT7 antibody IHC-P image
Immunohistochemistry: Human liver stained with ARG45592 anti-NUDT7 antibody at 2 μg/ml dilution.
-
ARG45592 anti-NUDT7 antibody WB image
Western blot: THP-1 stained with ARG45592 anti-NUDT7 antibody at 0.5 μg/ml dilution.
-
ARG45592 anti-NUDT7 antibody FACS image
Flow Cytometry: THP-1 stained with ARG45592 anti-NUDT7 antibody at 1 µg/10^6 cells dilution.
-
ARG45592 anti-NUDT7 antibody WB image
Western blot: Rat liver stained with ARG45592 anti-NUDT7 antibody at 0.5 μg/ml dilution.
-
ARG45592 anti-NUDT7 antibody WB image
Western blot: Mouse liver stained with ARG45592 anti-NUDT7 antibody at 0.5 μg/ml dilution.
