ARG44130
anti-NUDT5 antibody
anti-NUDT5 antibody for Flow cytometry,IHC-Formalin-fixed paraffin-embedded sections,Western blot and Human,Rat
概述
| 产品描述 | Rabbit Polyclonal recognizes NUDT5 |
|---|---|
| 反应物种 | Hu, Rat |
| 应用 | FACS, IHC-P, WB |
| 宿主 | Rabbit |
| 克隆 | Polyclonal |
| 同位型 | IgG |
| 靶点名称 | NUDT5 |
| 抗原物种 | Human |
| 抗原 | Human NUDT5 recombinant protein (Position: M1-F219). |
| 偶联标记 | Un-conjugated |
| 別名 | NUDT5; Nudix Hydrolase 5; YSA1H; Nudix (Nucleoside Diphosphate Linked Moiety X)-Type Motif 5; Nuclear ATP-Synthesis Protein NUDIX5; ADP-Sugar Pyrophosphatase; 8-Oxo-DGDP Phosphatase; HYSAH1; HNUDT5; Nucleoside Diphosphate-Linked Moiety X Motif 5; Nudix Motif 5; EC 3.6.1.13; EC 3.6.1.58; EC 2.7.7.96; NUDIX5; YSAH1; YSA1 |
应用说明
| 应用建议 |
|
||||||||
|---|---|---|---|---|---|---|---|---|---|
| 应用说明 | The dilutions indicate recommended starting dilutions and the optimal dilutions or concentrations should be determined by the scientist. |
属性
| 形式 | Liquid |
|---|---|
| 纯化 | Affinity purification with immunogen. |
| 缓冲液 | 0.9% NaCl, 0.2% Na2HPO4, 0.05% Sodium azide and 4% Trehalose. |
| 抗菌剂 | 0.05% Sodium azide |
| 稳定剂 | 4% Trehalose |
| 浓度 | 0.5 mg/ml |
| 存放说明 | For continuous use, store undiluted antibody at 2-8°C for up to a week. For long-term storage, aliquot and store at -20°C or below. Storage in frost free freezers is not recommended. Avoid repeated freeze/thaw cycles. Suggest spin the vial prior to opening. The antibody solution should be gently mixed before use. |
| 注意事项 | For laboratory research only, not for drug, diagnostic or other use. |
生物信息
| 数据库连接 | |
|---|---|
| 基因名称 | NUDT5 |
| 全名 | Nudix Hydrolase 5 |
| 背景介绍 | This gene belongs to the Nudix (nucleoside diphosphate linked moiety X) hydrolase superfamily. The encoded enzyme catalyzes the hydrolysis of modified nucleoside diphosphates, including ADP-ribose (ADPR) and 8-oxoGua-containing 8-oxo-dADP and 8-oxo-dGDP. Protein-bound ADP ribose can be hazardous to the cell because it can modify some amino acid residues, resulting in the inhibition of ATP-activated potassium channels. 8-oxoGua is an oxidized form of guanine that can potentially alter genetic information by pairing with adenine and cytosine in RNA. Presence of 8-oxoGua in RNA results in formation of abnormal proteins due to translational errors. |
| 生物功能 | Enzyme that can either act as an ADP-sugar pyrophosphatase in absence of diphosphate or catalyze the synthesis of ATP in presence of diphosphate. |
| 细胞定位 | Nucleus |
| 预测分子量 | 24 kDa |
| 翻译后修饰 | Acetylation, Isopeptide bond, Phosphoprotein, Ubl conjugation |
检测图片 (4) Click the Picture to Zoom In
-
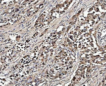
ARG44130 anti-NUDT5 antibody IHC-P image
Immunohistochemistry: Human lung stained with ARG44130 anti-NUDT5 antibody at 2 μg/ml dilution.
-
ARG44130 anti-NUDT5 antibody WB image
Western blot: HeLa, 293T, HepG2 and Jurkat stained with ARG44130 anti-NUDT5 antibody at 0.5 μg/ml dilution.
-
ARG44130 anti-NUDT5 antibody FACS image
Flow Cytometry: 293T stained with ARG44130 anti-NUDT5 antibody at 1 µg/10^6 cells dilution.
-
ARG44130 anti-NUDT5 antibody WB image
Western blot: RH35 stained with ARG44130 anti-NUDT5 antibody at 0.5 μg/ml dilution.
