ARG44377
anti-NUDT15 antibody
anti-NUDT15 antibody for IHC-Formalin-fixed paraffin-embedded sections,Western blot and Human,Mouse,Rat
概述
| 产品描述 | Rabbit Polyclonal antibody recognizes NUDT15 |
|---|---|
| 反应物种 | Hu, Ms, Rat |
| 应用 | IHC-P, WB |
| 宿主 | Rabbit |
| 克隆 | Polyclonal |
| 同位型 | IgG |
| 靶点名称 | NUDT15 |
| 抗原物种 | Human |
| 抗原 | Recombinant fusion protein containing a sequence corresponding to amino acids 1-164 of human NUDT15 |
| 偶联标记 | Un-conjugated |
| 別名 | NUDT15; Nudix Hydrolase 15 ; MTH2; Nucleoside Diphosphate-Linked To Another Moiety X Hydrolase 15; Nudix (Nucleoside Diphosphate Linked Moiety X)-Type Motif 15; Nucleotide Triphosphate Diphosphatase NUDT15; MutT Homolog 2; FLJ10956; Probable 7,8-Dihydro-8-Oxoguanine Triphosphatase NUDT15; Nucleoside Diphosphate-Linked Moiety X Motif 15; Probable 8-Oxo-DGTP Diphosphatase NUDT15; 8-Oxo-DGTPase NUDT15; Nudix Motif 15 |
应用说明
| 应用建议 |
|
||||||
|---|---|---|---|---|---|---|---|
| 应用说明 | * The dilutions indicate recommended starting dilutions and the optimal dilutions or concentrations should be determined by the scientist. |
属性
| 形式 | Liquid |
|---|---|
| 纯化 | Affinity purified. |
| 缓冲液 | PBS (pH 7.3), 0.02% sodium azide and 50% Glycerol. |
| 抗菌剂 | 0.02% sodium azide |
| 稳定剂 | 50% Glycerol |
| 存放说明 | For continuous use, store undiluted antibody at 2-8°C for up to a week. For long-term storage, aliquot and store at -20°C. Storage in frost free freezers is not recommended. Avoid repeated freeze/thaw cycles. Suggest spin the vial prior to opening. The antibody solution should be gently mixed before use. |
| 注意事项 | For laboratory research only, not for drug, diagnostic or other use. |
生物信息
| 数据库连接 |
Swiss-port # Q8BG93 Mouse Probable 8-oxo-dGTP diphosphatase NUDT15 Swiss-port # Q9NV35 Human Probable 8-oxo-dGTP diphosphatase NUDT15 |
|---|---|
| 基因名称 | NUDT15 |
| 全名 | Nudix Hydrolase 15 |
| 背景介绍 | This gene encodes an enzyme that belongs to the Nudix hydrolase superfamily. Members of this superfamily catalyze the hydrolysis of nucleoside diphosphates, including substrates like 8-oxo-dGTP, which are a result of oxidative damage, and can induce base mispairing during DNA replication, causing transversions. The encoded enzyme is a negative regulator of thiopurine activation and toxicity. Mutations in this gene result in poor metabolism of thiopurines, and are associated with thiopurine-induced early leukopenia. Multiple pseudogenes of this gene have been identified. |
| 生物功能 | May catalyze the hydrolysis of nucleoside triphosphates including dGTP, dTTP, dCTP, their oxidized forms like 8-oxo-dGTP and the prodrug thiopurine derivatives 6-thio-dGTP and 6-thio-GTP. |
| 预测分子量 | 19 kDa |
检测图片 (3) Click the Picture to Zoom In
-
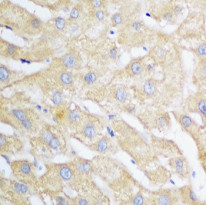
ARG44377 anti-NUDT15 antibody IHC-P image
Immunohistochemistry: Human liver stained with ARG44377 anti-NUDT15 antibody at 1:100 dilution.
-
ARG44377 anti-NUDT15 antibody WB image
Western blot: Raji stained with ARG44377 anti-NUDT15 antibody at 1:1000 dilution.
-
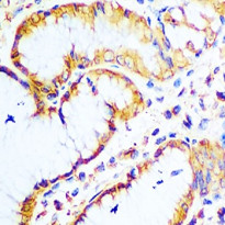
ARG44377 anti-NUDT15 antibody IHC-P image
Immunohistochemistry: Human stomach stained with ARG44377 anti-NUDT15 antibody at 1:100 dilution.
