ARG44110
anti-NUDCD3 antibody
anti-NUDCD3 antibody for Flow cytometry,ICC/IF,IHC-Formalin-fixed paraffin-embedded sections,Western blot and Human
概述
| 产品描述 | Rabbit Polyclonal recognizes NUDCD3 |
|---|---|
| 反应物种 | Hu |
| 应用 | FACS, ICC/IF, IHC-P, WB |
| 宿主 | Rabbit |
| 克隆 | Polyclonal |
| 同位型 | IgG |
| 靶点名称 | NUDCD3 |
| 抗原物种 | Human |
| 抗原 | Human NUDCD3 recombinant protein (Position: M1-Y271). |
| 偶联标记 | Un-conjugated |
| 別名 | NUDCD3; NudC Domain Containing 3; KIAA1068; NudCL; NudC Domain-Containing Protein 3; NudC-Like Protein |
应用说明
| 应用建议 |
|
||||||||||
|---|---|---|---|---|---|---|---|---|---|---|---|
| 应用说明 | The dilutions indicate recommended starting dilutions and the optimal dilutions or concentrations should be determined by the scientist. |
属性
| 形式 | Liquid |
|---|---|
| 纯化 | Affinity purification with immunogen. |
| 缓冲液 | 0.9% NaCl, 0.2% Na2HPO4, 0.05% Sodium azide and 4% Trehalose. |
| 抗菌剂 | 0.05% Sodium azide |
| 稳定剂 | 4% Trehalose |
| 浓度 | 0.5 mg/ml |
| 存放说明 | For continuous use, store undiluted antibody at 2-8°C for up to a week. For long-term storage, aliquot and store at -20°C or below. Storage in frost free freezers is not recommended. Avoid repeated freeze/thaw cycles. Suggest spin the vial prior to opening. The antibody solution should be gently mixed before use. |
| 注意事项 | For laboratory research only, not for drug, diagnostic or other use. |
生物信息
| 数据库连接 | |
|---|---|
| 基因名称 | NUDCD3 |
| 全名 | NudC Domain Containing 3 |
| 背景介绍 | The product of this gene functions to maintain the stability of dynein intermediate chain. Depletion of this gene product results in aggregation and degradation of dynein intermediate chain, mislocalization of the dynein complex from kinetochores, spindle microtubules, and spindle poles, and loss of gamma-tubulin from spindle poles. The protein localizes to the Golgi apparatus during interphase, and levels of the protein increase after the G1/S transition. |
| 细胞定位 | Cytoplasm |
| 预测分子量 | 41 kDa |
| 翻译后修饰 | Phosphoprotein |
检测图片 (4) Click the Picture to Zoom In
-
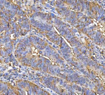
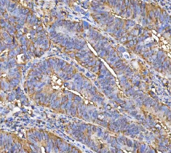
ARG44110 anti-NUDCD3 antibody IHC-P image
Immunohistochemistry: Human colorectal adenocarcinoma stained with ARG44110 anti-NUDCD3 antibody at 2 μg/ml dilution.
-
ARG44110 anti-NUDCD3 antibody ICC/IF image
Immunofluorescence: U2OS stained with ARG44110 anti-NUDCD3 antibody at 5 μg/ml dilution.
-
ARG44110 anti-NUDCD3 antibody WB image
Western blot: 293T and SH-SY5Y stained with ARG44110 anti-NUDCD3 antibody at 0.5 μg/mL dilution.
-
ARG44110 anti-NUDCD3 antibody FACS image
Flow Cytometry: RT4 stained with ARG44110 anti-NUDCD3 antibody at 1 µg/10^6 cells dilution.
