ARG44173
anti-NTN3 antibody
anti-NTN3 antibody for ICC/IF,IHC-Formalin-fixed paraffin-embedded sections,Western blot and Human,Rat
概述
| 产品描述 | Rabbit Polyclonal antibody recognizes NTN3 |
|---|---|
| 反应物种 | Hu, Rat |
| 应用 | ICC/IF, IHC-P, WB |
| 宿主 | Rabbit |
| 克隆 | Polyclonal |
| 同位型 | IgG |
| 靶点名称 | NTN3 |
| 抗原物种 | Human |
| 抗原 | Recombinant protein of Human NTN3 |
| 偶联标记 | Un-conjugated |
| Protein Full name | Netrin-3 |
| 別名 | NTN3; Netrin 3; Netrin-3; NTN2L; Netrin-2-Like Protein; Netrin-2, Chicken, Homolog Of, Like; Netrin 2 (Chicken)-Like; Netrin 2-Like (Chicken) |
应用说明
| 应用建议 |
|
||||||||
|---|---|---|---|---|---|---|---|---|---|
| 应用说明 | * The dilutions indicate recommended starting dilutions and the optimal dilutions or concentrations should be determined by the scientist. |
属性
| 形式 | Liquid |
|---|---|
| 纯化 | Affinity purification with immunogen. |
| 缓冲液 | 0.9% NaCl, 0.2% Na2HPO4, 0.05% Sodium azide and 5% BSA. |
| 抗菌剂 | 0.05% Sodium azide |
| 稳定剂 | 5% BSA |
| 浓度 | 0.5 mg/ml |
| 存放说明 | For continuous use, store undiluted antibody at 2-8°C for up to a week. For long-term storage, aliquot and store at -20°C or below. Storage in frost free freezers is not recommended. Avoid repeated freeze/thaw cycles. Suggest spin the vial prior to opening. The antibody solution should be gently mixed before use. |
| 注意事项 | For laboratory research only, not for drug, diagnostic or other use. |
生物信息
| 数据库连接 | |
|---|---|
| 基因名称 | NTN3 |
| 全名 | Netrin 3 |
| 背景介绍 | Predicted to enable signaling receptor binding activity. Predicted to be involved in animal organ morphogenesis; neuron projection development; and tissue development. Predicted to be located in Golgi apparatus and extracellular region. Predicted to be active in basement membrane. |
| 生物功能 | Netrins control guidance of CNS commissural axons and peripheral motor axons. |
| 细胞定位 | Extracellular matrix, Secreted |
| 预测分子量 | 61 kDa |
| 翻译后修饰 | Disulfide bond, Glycoprotein |
检测图片 (4) Click the Picture to Zoom In
-
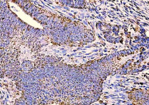
ARG44173 anti-NTN3 antibody IHC-P image
Immunohistochemistry: Human colorectal adenocarcinoma stained with ARG44173 anti-NTN3 antibody at 2 μg/mL dilution.
-
ARG44173 anti-NTN3 antibody ICC/IF image
Immunofluorescence: HeLa stained with ARG44173 anti-NTN3 antibody at 5 μg/mL dilution.
-
ARG44173 anti-NTN3 antibody WB image
Western blot: RT4 and U251 stained with ARG44173 anti-NTN3 antibody at 0.5 μg/mL dilution.
-
ARG44173 anti-NTN3 antibody WB image
Western blot: Rat liver stained with ARG44173 anti-NTN3 antibody at 0.5 μg/mL dilution.
