ARG44120
anti-NT5C antibody
anti-NT5C antibody for Flow cytometry,IHC-Formalin-fixed paraffin-embedded sections,Western blot and Human
概述
| 产品描述 | Rabbit Polyclonal recognizes NT5C |
|---|---|
| 反应物种 | Hu |
| 应用 | FACS, IHC-P, WB |
| 宿主 | Rabbit |
| 克隆 | Polyclonal |
| 同位型 | IgG |
| 靶点名称 | NT5C |
| 抗原物种 | Human |
| 抗原 | Human NT5C recombinant protein (Position: H35-R179). |
| 偶联标记 | Un-conjugated |
| 別名 | NT5C; 5', 3'-Nucleotidase, Cytosolic; DNT-1; DNT1; UMPH2; PN-I; CdN; 5' Nucleotidase, Deoxy (Pyrimidine), Cytosolic Type C 2; 5'(3')-Deoxyribonucleotidase, Cytosolic Type; Uridine 5-Prime Monophosphate Hydrolase 2; Cytosolic 5',3'-Pyrimidine Nucleotidase; Deoxy-5'-Nucleotidase 1; Uridine 5'-Monophosphate Phosphohydrolase 2; Epididymis Secretory Sperm Binding Protein; Epididymis Luminal Protein 74; EC 3.1.3.-; HEL74; PN-II; P5N2; DNT |
应用说明
| 应用建议 |
|
||||||||
|---|---|---|---|---|---|---|---|---|---|
| 应用说明 | The dilutions indicate recommended starting dilutions and the optimal dilutions or concentrations should be determined by the scientist. |
属性
| 形式 | Liquid |
|---|---|
| 纯化 | Affinity purification with immunogen. |
| 缓冲液 | 0.9% NaCl, 0.2% Na2HPO4, 0.05% Sodium azide and 4% Trehalose. |
| 抗菌剂 | 0.05% Sodium azide |
| 稳定剂 | 4% Trehalose |
| 浓度 | 0.5 mg/ml |
| 存放说明 | For continuous use, store undiluted antibody at 2-8°C for up to a week. For long-term storage, aliquot and store at -20°C or below. Storage in frost free freezers is not recommended. Avoid repeated freeze/thaw cycles. Suggest spin the vial prior to opening. The antibody solution should be gently mixed before use. |
| 注意事项 | For laboratory research only, not for drug, diagnostic or other use. |
生物信息
| 数据库连接 |
Swiss-port # Q8TCD5 Human 5'(3')-deoxyribonucleotidase, cytosolic type |
|---|---|
| 基因名称 | NT5C |
| 全名 | 5', 3'-Nucleotidase, Cytosolic |
| 背景介绍 | This gene encodes a nucleotidase that catalyzes the dephosphorylation of the 5' deoxyribonucleotides (dNTP) and 2'(3')-dNTP and ribonucleotides, but not 5' ribonucleotides. Of the different forms of nucleotidases characterized, this enzyme is unique in its preference for 5'-dNTP. It may be one of the enzymes involved in regulating the size of dNTP pools in cells. Alternatively spliced transcript variants have been found for this gene. |
| 生物功能 | Dephosphorylates the 5' and 2'(3')-phosphates of deoxyribonucleotides, with a preference for dUMP and dTMP, intermediate activity towards dGMP, and low activity towards dCMP and dAMP. |
| 细胞定位 | Cytoplasm |
| 预测分子量 | 23 kDa |
| 翻译后修饰 | Phosphoprotein |
检测图片 (4) Click the Picture to Zoom In
-
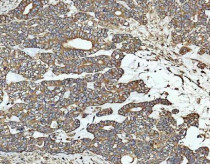
ARG44120 anti-NT5C antibody IHC-P image
Immunohistochemistry: Human ovarian cancer stained with ARG44120 anti-NT5C antibody at 2 μg/ml dilution.
-
ARG44120 anti-NT5C antibody WB image
Western blot: RT4, U251 and 293T stained with ARG44120 anti-NT5C antibody at 0.5 μg/ml dilution.
-
ARG44120 anti-NT5C antibody FACS image
Flow Cytometry: U251 stained with ARG44120 anti-NT5C antibody at 1 µg/10^6 cells dilution.
-
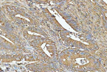
ARG44120 anti-NT5C antibody IHC-P image
Immunohistochemistry: Human colorectal adenocarcinoma stained with ARG44120 anti-NT5C antibody at 2 μg/ml dilution.
