ARG42024
anti-NSF antibody
anti-NSF antibody for IHC-Formalin-fixed paraffin-embedded sections,Western blot and Human,Mouse,Rat
概述
| 产品描述 | Rabbit Polyclonal antibody recognizes NSF |
|---|---|
| 反应物种 | Hu, Ms, Rat |
| 应用 | IHC-P, WB |
| 宿主 | Rabbit |
| 克隆 | Polyclonal |
| 同位型 | IgG |
| 靶点名称 | NSF |
| 抗原物种 | Human |
| 抗原 | Recombinant protein corresponding to N620-D744 of Human NSF. |
| 偶联标记 | Un-conjugated |
| 別名 | SKD2; N-ethylmaleimide-sensitive fusion protein; Vesicular-fusion protein NSF; Vesicle-fusing ATPase; NEM-sensitive fusion protein; EC 3.6.4.6 |
应用说明
| 应用建议 |
|
||||||
|---|---|---|---|---|---|---|---|
| 应用说明 | IHC-P: Antigen Retrieval: Heat mediation was performed in Citrate buffer (pH 6.0, epitope retrieval solution) for 20 min. * The dilutions indicate recommended starting dilutions and the optimal dilutions or concentrations should be determined by the scientist. |
||||||
| 实际分子量 | ~ 83 kDa |
属性
| 形式 | Liquid |
|---|---|
| 纯化 | Affinity purification with immunogen. |
| 缓冲液 | 0.2% Na2HPO4, 0.9% NaCl, 0.05% Sodium azide and 4% Trehalose. |
| 抗菌剂 | 0.05% Sodium azide |
| 稳定剂 | 4% Trehalose |
| 浓度 | 0.5 mg/ml |
| 存放说明 | For continuous use, store undiluted antibody at 2-8°C for up to a week. For long-term storage, aliquot and store at -20°C or below. Storage in frost free freezers is not recommended. Avoid repeated freeze/thaw cycles. Suggest spin the vial prior to opening. The antibody solution should be gently mixed before use. |
| 注意事项 | For laboratory research only, not for drug, diagnostic or other use. |
生物信息
| 数据库连接 | |
|---|---|
| 基因名称 | NSF |
| 全名 | N-ethylmaleimide-sensitive factor |
| 生物功能 | Required for vesicle-mediated transport. Catalyzes the fusion of transport vesicles within the Golgi cisternae. Is also required for transport from the endoplasmic reticulum to the Golgi stack. Seems to function as a fusion protein required for the delivery of cargo proteins to all compartments of the Golgi stack independent of vesicle origin. Interaction with AMPAR subunit GRIA2 leads to influence GRIA2 membrane cycling (By similarity). [UniProt] |
| 细胞定位 | Cytoplasm. [UniProt] |
| 预测分子量 | 83 kDa |
| 翻译后修饰 | Phosphorylation at Ser-569 interferes with homohexamerization. [UniProt] |
检测图片 (6) Click the Picture to Zoom In
-
ARG42024 anti-NSF antibody IHC-P image
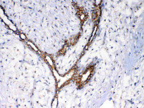
Immunohistochemistry: Paraffin-embedded Human intestinal cancer tissue. Antigen Retrieval: Heat mediation was performed in Citrate buffer (pH 6.0, epitope retrieval solution) for 20 min. The tissue section was blocked with 10% goat serum. The tissue section was then stained with ARG42024 anti-NSF antibody at 1 µg/ml dilution, overnight at 4°C.
-
ARG42024 anti-NSF antibody WB image
Western blot: 50 µg of samples under reducing conditions. Rat brain, Mouse brain and HepG2 cell lysates stained with ARG42024 anti-NSF antibody at 0.5 µg/ml dilution, overnight at 4°C.
-
ARG42024 anti-NSF antibody IHC-P image
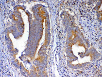
Immunohistochemistry: Paraffin-embedded Human mammary cancer tissue. Antigen Retrieval: Heat mediation was performed in Citrate buffer (pH 6.0, epitope retrieval solution) for 20 min. The tissue section was blocked with 10% goat serum. The tissue section was then stained with ARG42024 anti-NSF antibody at 1 µg/ml dilution, overnight at 4°C.
-
ARG42024 anti-NSF antibody IHC-P image
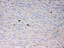
Immunohistochemistry: Paraffin-embedded Human glioma tissue. Antigen Retrieval: Heat mediation was performed in Citrate buffer (pH 6.0, epitope retrieval solution) for 20 min. The tissue section was blocked with 10% goat serum. The tissue section was then stained with ARG42024 anti-NSF antibody at 1 µg/ml dilution, overnight at 4°C.
-
ARG42024 anti-NSF antibody IHC-P image
Immunohistochemistry: Paraffin-embedded Mouse testis tissue. Antigen Retrieval: Heat mediation was performed in Citrate buffer (pH 6.0, epitope retrieval solution) for 20 min. The tissue section was blocked with 10% goat serum. The tissue section was then stained with ARG42024 anti-NSF antibody at 1 µg/ml dilution, overnight at 4°C.
-
ARG42024 anti-NSF antibody IHC-P image
Immunohistochemistry: Paraffin-embedded Rat testis tissue. Antigen Retrieval: Heat mediation was performed in Citrate buffer (pH 6.0, epitope retrieval solution) for 20 min. The tissue section was blocked with 10% goat serum. The tissue section was then stained with ARG42024 anti-NSF antibody at 1 µg/ml dilution, overnight at 4°C.
