ARG40699
anti-NRF1 antibody
anti-NRF1 antibody for ICC/IF,IHC-Formalin-fixed paraffin-embedded sections and Human,Rat
概述
| 产品描述 | Rabbit Polyclonal antibody recognizes NRF1 |
|---|---|
| 反应物种 | Hu, Rat |
| 预测物种 | Hm |
| 应用 | ICC/IF, IHC-P |
| 宿主 | Rabbit |
| 克隆 | Polyclonal |
| 同位型 | IgG |
| 靶点名称 | NRF1 |
| 抗原物种 | Human |
| 抗原 | Synthetic peptide corresponding to aa. 272-288 of Human NRF1. (QHGREDLLYAFEDQQTQ) |
| 偶联标记 | Un-conjugated |
| 別名 | NRF-1; Nuclear respiratory factor 1; Alpha palindromic-binding protein; ALPHA-PAL; Alpha-pal |
应用说明
| 应用建议 |
|
||||||
|---|---|---|---|---|---|---|---|
| 应用说明 | * The dilutions indicate recommended starting dilutions and the optimal dilutions or concentrations should be determined by the scientist. |
属性
| 形式 | Liquid |
|---|---|
| 纯化 | Affinity purification with immunogen. |
| 缓冲液 | 0.2% Na2HPO4, 0.9% NaCl, 0.05% Thimerosal, 0.05% Sodium azide and 5% BSA. |
| 抗菌剂 | 0.05% Thimerosal and 0.05% Sodium azide |
| 稳定剂 | 5% BSA |
| 浓度 | 0.5 mg/ml |
| 存放说明 | For continuous use, store undiluted antibody at 2-8°C for up to a week. For long-term storage, aliquot and store at -20°C or below. Storage in frost free freezers is not recommended. Avoid repeated freeze/thaw cycles. Suggest spin the vial prior to opening. The antibody solution should be gently mixed before use. |
| 注意事项 | For laboratory research only, not for drug, diagnostic or other use. |
生物信息
| 数据库连接 | |
|---|---|
| 基因名称 | NRF1 |
| 全名 | nuclear respiratory factor 1 |
| 背景介绍 | This gene encodes a protein that homodimerizes and functions as a transcription factor which activates the expression of some key metabolic genes regulating cellular growth and nuclear genes required for respiration, heme biosynthesis, and mitochondrial DNA transcription and replication. The protein has also been associated with the regulation of neurite outgrowth. Alternative splicing results in multiple transcript variants. Confusion has occurred in bibliographic databases due to the shared symbol of NRF1 for this gene and for "nuclear factor (erythroid-derived 2)-like 1" which has an official symbol of NFE2L1. [provided by RefSeq, May 2014] |
| 生物功能 | Transcription factor that activates the expression of the EIF2S1 (EIF2-alpha) gene. Links the transcriptional modulation of key metabolic genes to cellular growth and development. Implicated in the control of nuclear genes required for respiration, heme biosynthesis, and mitochondrial DNA transcription and replication. [UniProt] |
| 细胞定位 | Nucleus. [UniProt] |
| 预测分子量 | 54 kDa |
| 翻译后修饰 | Phosphorylation enhances DNA binding. [UniProt] |
检测图片 (4) Click the Picture to Zoom In
-
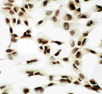
ARG40699 anti-NRF1 antibody ICC image
Immunocytochemistry: A549 cells stained with ARG40699 anti-NRF1 antibody.
-
ARG40699 anti-NRF1 antibody IHC-P image
Immunohistochemistry: Paraffin-embedded Human mammary cancer tissue stained with ARG40699 anti-NRF1 antibody.
-
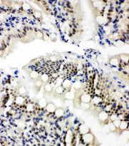
ARG40699 anti-NRF1 antibody IHC-P image
Immunohistochemistry: Paraffin-embedded Rat intestine tissue stained with ARG40699 anti-NRF1 antibody.
-
ARG40699 anti-NRF1 antibody IHC-P image
Immunohistochemistry: Paraffin-embedded Human intestinal cancer tissue stained with ARG40699 anti-NRF1 antibody.
