ARG44125
anti-NR5A2 antibody
anti-NR5A2 antibody for Flow cytometry,IHC-Formalin-fixed paraffin-embedded sections,Western blot and Human
概述
| 产品描述 | Rabbit Polyclonal recognizes NR5A2 |
|---|---|
| 反应物种 | Hu |
| 应用 | FACS, IHC-P, WB |
| 宿主 | Rabbit |
| 克隆 | Polyclonal |
| 同位型 | IgG |
| 靶点名称 | NR5A2 |
| 抗原物种 | Human |
| 抗原 | Human NR5A2 recombinant protein (Position: K192-A508). |
| 偶联标记 | Un-conjugated |
| 別名 | NR5A2; Nuclear Receptor Subfamily 5 Group A Member 2; LRH-1; FTZ-F1beta; FTZ-F1; HB1F-2; HB1F; B1F2; LRH1; FTF; CYP7A Promoter-Binding Factor; B1F; CPF; B1-Binding Factor, Hepatocyte Transcription Factor Which Activates Enhancer II Of Hepatitis B Virus; Nuclear Receptor Subfamily 5, Group A, Member 2; Fetoprotein-Alpha 1 (AFP) Transcription Factor; Alpha-1-Fetoprotein Transcription Factor; Hepatocytic Transcription Factor HB1F-3; Hepatocytic Transcription Factor; Liver Receptor Homolog-1; Liver Receptor Homolog 1; B1-Binding Factor |
应用说明
| 应用建议 |
|
||||||||
|---|---|---|---|---|---|---|---|---|---|
| 应用说明 | The dilutions indicate recommended starting dilutions and the optimal dilutions or concentrations should be determined by the scientist. |
属性
| 形式 | Liquid |
|---|---|
| 纯化 | Affinity purification with immunogen. |
| 缓冲液 | 0.9% NaCl, 0.2% Na2HPO4, 0.05% Sodium azide and 4% Trehalose. |
| 抗菌剂 | 0.05% Sodium azide |
| 稳定剂 | 4% Trehalose |
| 浓度 | 0.5 mg/ml |
| 存放说明 | For continuous use, store undiluted antibody at 2-8°C for up to a week. For long-term storage, aliquot and store at -20°C or below. Storage in frost free freezers is not recommended. Avoid repeated freeze/thaw cycles. Suggest spin the vial prior to opening. The antibody solution should be gently mixed before use. |
| 注意事项 | For laboratory research only, not for drug, diagnostic or other use. |
生物信息
| 数据库连接 |
Swiss-port # O00482 Human Nuclear receptor subfamily 5 group A member 2 |
|---|---|
| 基因名称 | NR5A2 |
| 全名 | Nuclear Receptor Subfamily 5 Group A Member 2 |
| 背景介绍 | The protein encoded by this gene is a DNA-binding zinc finger transcription factor and is a member of the fushi tarazu factor-1 subfamily of orphan nuclear receptors. The encoded protein is involved in the expression of genes for hepatitis B virus and cholesterol biosynthesis, and may be an important regulator of embryonic development. |
| 生物功能 | Nuclear receptor that acts as a key metabolic sensor by regulating the expression of genes involved in bile acid synthesis, cholesterol homeostasis and triglyceride synthesis. Together with the oxysterol receptors NR1H3/LXR-alpha and NR1H2/LXR-beta, acts as an essential transcriptional regulator of lipid metabolism. Plays an anti-inflammatory role during the hepatic acute phase response by acting as a corepressor: inhibits the hepatic acute phase response by preventing dissociation of the N-Cor corepressor complex. |
| 细胞定位 | Nucleus |
| 预测分子量 | 61 kDa |
| 翻译后修饰 | Isopeptide bond, Ubl conjugation |
检测图片 (4) Click the Picture to Zoom In
-
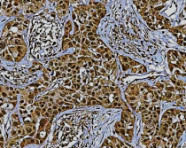
ARG44125 anti-NR5A2 antibody IHC-P image
Immunohistochemistry: Human parotid acinar cell carcinoma stained with ARG44125 anti-NR5A2 antibody at 2 μg/ml dilution.
-
ARG44125 anti-NR5A2 antibody WB image
Western blot: HepG2, A549, Caco-2 and 293T stained with ARG44125 anti-NR5A2 antibody at 0.5 μg/ml dilution.
-
ARG44125 anti-NR5A2 antibody FACS image
Flow Cytometry: CACO-2 stained with ARG44125 anti-NR5A2 antibody at 1 µg/10^6 cells dilution.
-
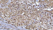
ARG44125 anti-NR5A2 antibody IHC-P image
Immunohistochemistry: Human bladder urothelial carcinoma stained with ARG44125 anti-NR5A2 antibody at 2 μg/ml dilution.
