ARG41237
anti-NR1H3 / LXR alpha antibody
anti-NR1H3 / LXR alpha antibody for IHC-Formalin-fixed paraffin-embedded sections,Western blot and Rat
概述
| 产品描述 | Rabbit Polyclonal antibody recognizes NR1H3 / LXR alpha |
|---|---|
| 反应物种 | Rat |
| 预测物种 | Hu, Ms |
| 应用 | IHC-P, WB |
| 宿主 | Rabbit |
| 克隆 | Polyclonal |
| 同位型 | IgG |
| 靶点名称 | NR1H3 / LXR alpha |
| 抗原物种 | Human |
| 抗原 | A 15 amino acid synthetic peptide within aa. 50-100 of Human NR1H3 / LXR alpha. |
| 偶联标记 | Un-conjugated |
| 別名 | RLD-1; Oxysterols receptor LXR-alpha; Nuclear receptor subfamily 1 group H member 3; LXRA; LXR-a; Liver X receptor alpha |
应用说明
| 应用建议 |
|
||||||
|---|---|---|---|---|---|---|---|
| 应用说明 | * The dilutions indicate recommended starting dilutions and the optimal dilutions or concentrations should be determined by the scientist. | ||||||
| 阳性对照 | Rat liver | ||||||
| 实际分子量 | ~ 46 kDa |
属性
| 形式 | Liquid |
|---|---|
| 纯化 | Affinity purification with immunogen. |
| 缓冲液 | PBS and 0.02% Sodium azide. |
| 抗菌剂 | 0.02% Sodium azide |
| 浓度 | 1 mg/ml |
| 存放说明 | For continuous use, store undiluted antibody at 2-8°C for up to a week. For long-term storage, aliquot and store at -20°C or below. Storage in frost free freezers is not recommended. Avoid repeated freeze/thaw cycles. Suggest spin the vial prior to opening. The antibody solution should be gently mixed before use. |
| 注意事项 | For laboratory research only, not for drug, diagnostic or other use. |
生物信息
| 基因名称 | NR1H3 |
|---|---|
| 全名 | nuclear receptor subfamily 1, group H, member 3 |
| 背景介绍 | The protein encoded by this gene belongs to the NR1 subfamily of the nuclear receptor superfamily. The NR1 family members are key regulators of macrophage function, controlling transcriptional programs involved in lipid homeostasis and inflammation. This protein is highly expressed in visceral organs, including liver, kidney and intestine. It forms a heterodimer with retinoid X receptor (RXR), and regulates expression of target genes containing retinoid response elements. Studies in mice lacking this gene suggest that it may play an important role in the regulation of cholesterol homeostasis. Alternatively spliced transcript variants encoding different isoforms have been found for this gene. [provided by RefSeq, Oct 2011] |
| 生物功能 | Nuclear receptor. Interaction with RXR shifts RXR from its role as a silent DNA-binding partner to an active ligand-binding subunit in mediating retinoid responses through target genes defined by LXRES. LXRES are DR4-type response elements characterized by direct repeats of two similar hexanuclotide half-sites spaced by four nucleotides. Plays an important role in the regulation of cholesterol homeostasis, regulating cholesterol uptake through MYLIP-dependent ubiquitination of LDLR, VLDLR and LRP8. Interplays functionally with RORA for the regulation of genes involved in liver metabolism (By similarity). Exhibits a ligand-dependent transcriptional activation activity. [UniProt] |
| 细胞定位 | Nucleus. [UniProt] |
| 预测分子量 | 50 kDa |
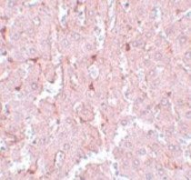
检测图片 (3) Click the Picture to Zoom In
-
ARG41237 anti-NR1H3 / LXR alpha antibody IHC-P image
Immunohistochemistry: Paraffin-embedded Rat liver tissue stained with ARG41237 anti-NR1H3 / LXR alpha antibody at 20 µg/ml dilution.
-
ARG41237 anti-NR1H3 / LXR alpha antibody WB image
Western blot: Rat liver lysate stained with ARG41237 anti-NR1H3 / LXR alpha antibody at 1 and 2 µg/ml dilution.
-
ARG41237 anti-NR1H3 / LXR alpha antibody IHC-P image
Immunohistochemistry: Paraffin-embedded Rat liver tissue stained with ARG41237 anti-NR1H3 / LXR alpha antibody at 5 µg/ml dilution.
