ARG59878
anti-NPHS2 / Podocin antibody
anti-NPHS2 / Podocin antibody for IHC-Frozen sections,IHC-Formalin-fixed paraffin-embedded sections,Western blot and Human,Mouse,Rat
概述
| 产品描述 | Rabbit Polyclonal antibody recognizes NPHS2 / Podocin |
|---|---|
| 反应物种 | Hu, Ms, Rat |
| 预测物种 | Chk |
| 应用 | IHC-Fr, IHC-P, WB |
| 宿主 | Rabbit |
| 克隆 | Polyclonal |
| 同位型 | IgG |
| 靶点名称 | NPHS2 / Podocin |
| 抗原物种 | Human |
| 抗原 | Synthetic peptide corresponding to aa. 368-383 of Human NPHS2 / Podocin. (KPVEPLNPKKKDSPML) |
| 偶联标记 | Un-conjugated |
| 別名 | SRN1; Podocin; PDCN |
应用说明
| 应用建议 |
|
||||||||
|---|---|---|---|---|---|---|---|---|---|
| 应用说明 | IHC-P: Antigen Retrieval: Heat mediation was performed in Citrate buffer (pH 6.0) for 20 min. * The dilutions indicate recommended starting dilutions and the optimal dilutions or concentrations should be determined by the scientist. |
||||||||
| 实际分子量 | ~ 45 kDa |
属性
| 形式 | Liquid |
|---|---|
| 纯化 | Affinity purification with immunogen. |
| 缓冲液 | 0.9% NaCl, 0.2% Na2HPO4, 0.05% Thimerosal, 0.05% Sodium azide and 5% BSA. |
| 抗菌剂 | 0.05% Thimerosal and 0.05% Sodium azide |
| 稳定剂 | 5% BSA |
| 浓度 | 0.5 mg/ml |
| 存放说明 | For continuous use, store undiluted antibody at 2-8°C for up to a week. For long-term storage, aliquot and store at -20°C or below. Storage in frost free freezers is not recommended. Avoid repeated freeze/thaw cycles. Suggest spin the vial prior to opening. The antibody solution should be gently mixed before use. |
| 注意事项 | For laboratory research only, not for drug, diagnostic or other use. |
生物信息
| 数据库连接 | |
|---|---|
| 基因名称 | NPHS2 |
| 全名 | nephrosis 2, idiopathic, steroid-resistant (podocin) |
| 背景介绍 | This gene encodes a protein that plays a role in the regulation of glomerular permeability. Mutations in this gene cause steroid-resistant nephrotic syndrome. Alternative splicing results in multiple transcript variants. [provided by RefSeq, Jul 2014] |
| 生物功能 | Plays a role in the regulation of glomerular permeability, acting probably as a linker between the plasma membrane and the cytoskeleton. [UniProt] |
| 细胞定位 | Isoform 1: Cell membrane; Peripheral membrane protein. [UniProt] |
| 预测分子量 | 42 kDa |
| 翻译后修饰 | Isoform 2 is glycosylated. [UniProt] |
检测图片 (6) Click the Picture to Zoom In
-
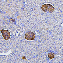
ARG59878 anti-NPHS2 / Podocin antibody IHC-Fr image
Immunohistochemistry: Frozen section of Rat kidney tissue. The tissue section was blocked with 10% goat serum. The tissue section was then stained with ARG59878 anti-NPHS2 / Podocin antibody at 1 µg/ml dilution, overnight at 4°C.
-
ARG59878 anti-NPHS2 / Podocin antibody IHC-P image
Immunohistochemistry: Paraffin-embedded Rat kidney tissue. Antigen Retrieval: Heat mediation was performed in Citrate buffer (pH 6.0, epitope retrieval solution) for 20 min. The tissue section was blocked with 10% goat serum. The tissue section was then stained with ARG59878 anti-NPHS2 / Podocin antibody at 1 µg/ml, overnight at 4°C.
-
ARG59878 anti-NPHS2 / Podocin antibody WB image
Western blot: 50 ug of sample under reducing conditions. 293T whole cell lysate stained with ARG59878 anti-NPHS2 / Podocin antibody at 0.5 µg/ml, overnight at 4°C.
-
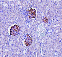
ARG59878 anti-NPHS2 / Podocin antibody IHC-P image
Immunohistochemistry: Paraffin-embedded Mouse kidney tissue. Antigen Retrieval: Heat mediation was performed in Citrate buffer (pH 6.0) for 20 min. The tissue section was blocked with 10% goat serum. The tissue section was then stained with ARG59878 anti-NPHS2 / Podocin antibody at 1 µg/ml dilution, overnight at 4°C.
-
ARG59878 anti-NPHS2 / Podocin antibody IHC-P image
Immunohistochemistry: Paraffin-embedded Rat kidney tissue. Antigen Retrieval: Heat mediation was performed in Citrate buffer (pH 6.0) for 20 min. The tissue section was blocked with 10% goat serum. The tissue section was then stained with ARG59878 anti-NPHS2 / Podocin antibody at 1 µg/ml dilution, overnight at 4°C.
-
ARG59878 anti-NPHS2 / Podocin antibody WB image
Western blot: 50 ug of sample under reducing conditions. Rat kidney tissue lysate stained with ARG59878 anti-NPHS2 / Podocin antibody at 0.5 µg/ml, overnight at 4°C.
