ARG46340
anti-NPC1 / Niemann Pick C1 antibody
anti-NPC1 / Niemann Pick C1 antibody for Western blot,IHC-Formalin-fixed paraffin-embedded sections and Human,Mouse
概述
| 产品描述 | Rabbit Polyclonal antibody recognizes NPC1 / Niemann Pick C1 |
|---|---|
| 反应物种 | Hu, Ms |
| 应用 | IHC-P, WB |
| 宿主 | Rabbit |
| 克隆 | Polyclonal |
| 同位型 | IgG |
| 靶点名称 | NPC1 / Niemann Pick C1 |
| 抗原物种 | Human |
| 抗原 | A 16 amino acid synthetic peptide within the last 50 amino acids of human NPC1 / Niemann Pick C1. |
| 偶联标记 | Un-conjugated |
| 別名 | NPC1; Niemann-Pick C1 protein; NPC |
应用说明
| 应用建议 |
|
||||||
|---|---|---|---|---|---|---|---|
| 应用说明 | * The dilutions indicate recommended starting dilutions and the optimal dilutions or concentrations should be determined by the scientist. | ||||||
| 实际分子量 | 150 kDa |
属性
| 纯化 | Affinity chromatography purified |
|---|---|
| 缓冲液 | PBS and 0.02% Sodium azide. |
| 抗菌剂 | 0.02% Sodium azide |
| 浓度 | 1 mg/ml |
| 存放说明 | For continuous use, store undiluted antibody at 2-8°C for up to a week. For long-term storage, aliquot and store at -20°C. Storage in frost free freezers is not recommended. Avoid repeated freeze/thaw cycles. Suggest spin the vial prior to opening. The antibody solution should be gently mixed before use. |
| 注意事项 | For laboratory research only, not for drug, diagnostic or other use. |
生物信息
| 数据库连接 | |
|---|---|
| 基因名称 | NPC1 |
| 全名 | Niemann-Pick disease, type C1 |
| 背景介绍 | This gene encodes a large protein that resides in the limiting membrane of endosomes and lysosomes and mediates intracellular cholesterol trafficking via binding of cholesterol to its N-terminal domain. It is predicted to have a cytoplasmic C-terminus, 13 transmembrane domains, and 3 large loops in the lumen of the endosome - the last loop being at the N-terminus. This protein transports low-density lipoproteins to late endosomal/lysosomal compartments where they are hydrolized and released as free cholesterol. Defects in this gene cause Niemann-Pick type C disease, a rare autosomal recessive neurodegenerative disorder characterized by over accumulation of cholesterol and glycosphingolipids in late endosomal/lysosomal compartments.[provided by RefSeq, Aug 2009] |
| 生物功能 | Intracellular cholesterol transporter which acts in concert with NPC2 and plays an important role in the egress of cholesterol from the endosomal/lysosomal compartment. Both NPC1 and NPC2 function as the cellular 'tag team duo' (TTD) to catalyze the mobilization of cholesterol within the multivesicular environment of the late endosome (LE) to effect egress through the limiting bilayer of the LE. NPC2 binds unesterified cholesterol that has been released from LDLs in the lumen of the late endosomes/lysosomes and transfers it to the cholesterol-binding pocket of the N-terminal domain of NPC1. Cholesterol binds to NPC1 with the hydroxyl group buried in the binding pocket and is exported from the limiting membrane of late endosomes/ lysosomes to the ER and plasma membrane by an unknown mechanism. Binds oxysterol with higher affinity than cholesterol. May play a role in vesicular trafficking in glia, a process that may be crucial for maintaining the structural and functional integrity of nerve terminals. [UniProt] |
| 细胞定位 | Late endosome membrane. [UniProt] |
| 预测分子量 | 140 kDa |
| 翻译后修饰 | Glycosylated. [UniProt] |
检测图片 (3) Click the Picture to Zoom In
-
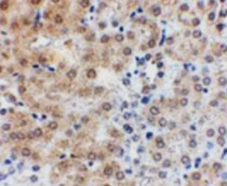
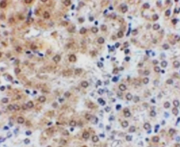
ARG46340 anti-NPC1 / Niemann Pick C1 antibody IHC-P image
Immunohistochemistry: Mouse kidney stained with ARG46340 anti-NPC1 / Niemann Pick C1 antibody.
-
ARG46340 anti-NPC1 / Niemann Pick C1 antibody ICC/IF image
Immunofluorescence: Mouse Kidney stained with ARG46340 anti-NPC1 / Niemann Pick C1 antibody.
-
ARG46340 anti-NPC1 / Niemann Pick C1 antibody WB image
Western blot: HepG2 stained with ARG46340 anti-NPC1 / Niemann Pick C1 antibody.
