ARG59888
anti-NOX5 antibody
anti-NOX5 antibody for ICC/IF,IHC-Formalin-fixed paraffin-embedded sections,Western blot and Human
概述
| 产品描述 | Rabbit Polyclonal antibody recognizes NOX5 |
|---|---|
| 反应物种 | Hu |
| 应用 | ICC/IF, IHC-P, WB |
| 宿主 | Rabbit |
| 克隆 | Polyclonal |
| 同位型 | IgG |
| 靶点名称 | NOX5 |
| 抗原物种 | Human |
| 抗原 | Synthetic peptide corresponding to aa. 747-765 of Human NOX5. (KVLKGHCEKFGFRFFQENF) |
| 偶联标记 | Un-conjugated |
| 別名 | NADPH oxidase 5; EC 1.6.3.- |
应用说明
| 应用建议 |
|
||||||||
|---|---|---|---|---|---|---|---|---|---|
| 应用说明 | IHC-P: Antigen Retrieval: Heat mediation was recommended. * The dilutions indicate recommended starting dilutions and the optimal dilutions or concentrations should be determined by the scientist. |
||||||||
| 实际分子量 | ~ 85 kDa |
属性
| 形式 | Liquid |
|---|---|
| 纯化 | Affinity purification with immunogen. |
| 缓冲液 | 0.2% Na2HPO4, 0.9% NaCl, 0.05% Thimerosal, 0.05% Sodium azide and 5% BSA. |
| 抗菌剂 | 0.05% Thimerosal and 0.05% Sodium azide |
| 稳定剂 | 5% BSA |
| 浓度 | 0.5 mg/ml |
| 存放说明 | For continuous use, store undiluted antibody at 2-8°C for up to a week. For long-term storage, aliquot and store at -20°C or below. Storage in frost free freezers is not recommended. Avoid repeated freeze/thaw cycles. Suggest spin the vial prior to opening. The antibody solution should be gently mixed before use. |
| 注意事项 | For laboratory research only, not for drug, diagnostic or other use. |
生物信息
| 数据库连接 | |
|---|---|
| 基因名称 | NOX5 |
| 全名 | NADPH oxidase, EF-hand calcium binding domain 5 |
| 背景介绍 | This gene is predominantly expressed in the testis and lymphocyte-rich areas of spleen and lymph nodes. It encodes a calcium-dependen NADPH oxidase that generates superoxide, and functions as a calcium-dependent proton channel that may regulate redox-dependent processes in lymphocytes and spermatozoa. Alternatively spliced transcript variants encoding different isoforms have been described for this gene. [provided by RefSeq, Oct 2011] |
| 生物功能 | Calcium-dependent NADPH oxidase that generates superoxide. Also functions as a calcium-dependent proton channel and may regulate redox-dependent processes in lymphocytes and spermatozoa. May play a role in cell growth and apoptosis. Isoform v2 and isoform v5 are involved in endothelial generation of reactive oxygen species (ROS), proliferation and angiogenesis and contribute to endothelial response to thrombin. [UniProt] |
| 细胞定位 | Membrane; Multi-pass membrane protein. Isoform v2: Endoplasmic reticulum. Isoform v5: Endoplasmic reticulum. [UniProt] |
| 预测分子量 | 86 kDa |
检测图片 (3) Click the Picture to Zoom In
-
ARG59888 anti-NOX5 antibody ICC image
Immunocytochemistry: HeLa cells stained with ARG59888 anti-NOX5 antibody.
-
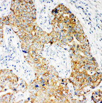
ARG59888 anti-NOX5 antibody IHC-P image
Immunohistochemistry: Paraffin-embedded Human mammary cancer tissue stained with ARG59888 anti-NOX5 antibody.
-
ARG59888 anti-NOX5 antibody WB image
Western blot: 40 µg of 22RV1, PANC, HeLa and SKOV whole cell lysates stained with ARG59888 anti-NOX5 antibody at 0.5 µg/ml dilution.
