ARG59885
anti-NOX1 antibody
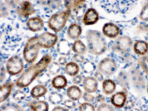
anti-NOX1 antibody for IHC-Formalin-fixed paraffin-embedded sections,Western blot and Mouse,Rat
概述
| 产品描述 | Rabbit Polyclonal antibody recognizes NOX1 |
|---|---|
| 反应物种 | Ms, Rat |
| 预测物种 | Hm |
| 应用 | IHC-P, WB |
| 宿主 | Rabbit |
| 克隆 | Polyclonal |
| 同位型 | IgG |
| 靶点名称 | NOX1 |
| 抗原物种 | Rat |
| 抗原 | Synthetic peptide corresponding to aa. 417-431 of Rat NOX1. (WYKFQRAHNKLKTQK) |
| 偶联标记 | Un-conjugated |
| 別名 | NOH1; GP91-2; NOX-1; NADPH oxidase 1; MOX-1; Mitogenic oxidase 1; MOX1; EC 1.-.-.-; NOH-1; NADH/NADPH mitogenic oxidase subunit P65-MOX |
应用说明
| 应用建议 |
|
||||||
|---|---|---|---|---|---|---|---|
| 应用说明 | IHC-P: Antigen Retrieval: Heat mediation was recommended. * The dilutions indicate recommended starting dilutions and the optimal dilutions or concentrations should be determined by the scientist. |
属性
| 形式 | Liquid |
|---|---|
| 纯化 | Affinity purification with immunogen. |
| 缓冲液 | 0.2% Na2HPO4, 0.9% NaCl, 0.05% Thimerosal, 0.05% Sodium azide and 5% BSA. |
| 抗菌剂 | 0.05% Thimerosal and 0.05% Sodium azide |
| 稳定剂 | 5% BSA |
| 浓度 | 0.5 mg/ml |
| 存放说明 | For continuous use, store undiluted antibody at 2-8°C for up to a week. For long-term storage, aliquot and store at -20°C or below. Storage in frost free freezers is not recommended. Avoid repeated freeze/thaw cycles. Suggest spin the vial prior to opening. The antibody solution should be gently mixed before use. |
| 注意事项 | For laboratory research only, not for drug, diagnostic or other use. |
生物信息
| 数据库连接 | |
|---|---|
| 基因名称 | NOX1 |
| 全名 | NADPH oxidase 1 |
| 背景介绍 | This gene encodes a member of the NADPH oxidase family of enzymes responsible for the catalytic one-electron transfer of oxygen to generate superoxide or hydrogen peroxide. Alternatively spliced transcript variants encoding multiple isoforms have been observed for this gene. [provided by RefSeq, Nov 2012] |
| 生物功能 | NOH-1S is a voltage-gated proton channel that mediates the H(+) currents of resting phagocytes and other tissues. It participates in the regulation of cellular pH and is blocked by zinc. NOH-1L is a pyridine nucleotide-dependent oxidoreductase that generates superoxide and might conduct H(+) ions as part of its electron transport mechanism, whereas NOH-1S does not contain an electron transport chain. [UniProt] |
| 细胞定位 | Cell projection, invadopodium membrane; Multi-pass membrane protein. Cell membrane. [UniProt] |
| 预测分子量 | 65 kDa |
检测图片 (2) Click the Picture to Zoom In
