ARG42956
anti-NOVA1 antibody
anti-NOVA1 antibody for ICC/IF,IHC-Frozen sections,IHC-Formalin-fixed paraffin-embedded sections,Western blot and Human,Mouse,Rat
概述
| 产品描述 | Rabbit Polyclonal antibody recognizes NOVA1 |
|---|---|
| 反应物种 | Hu, Ms, Rat |
| 应用 | ICC/IF, IHC-Fr, IHC-P, WB |
| 宿主 | Rabbit |
| 克隆 | Polyclonal |
| 同位型 | IgG |
| 靶点名称 | NOVA1 |
| 抗原物种 | Human |
| 抗原 | Recombinant protein corresponding to T416-V509 of Human NOVA1. |
| 偶联标记 | Un-conjugated |
| 別名 | Paraneoplastic Ri antigen; Neuro-oncological ventral antigen 1; Nova-1; Onconeural ventral antigen 1; RNA-binding protein Nova-1; Ventral neuron-specific protein 1 |
应用说明
| 应用建议 |
|
||||||||||
|---|---|---|---|---|---|---|---|---|---|---|---|
| 应用说明 | IHC-P: Antigen Retrieval: Heat mediation was performed in Citrate buffer (pH 6.0) for 20 min. * The dilutions indicate recommended starting dilutions and the optimal dilutions or concentrations should be determined by the scientist. |
||||||||||
| 实际分子量 | ~ 58 kDa |
属性
| 形式 | Liquid |
|---|---|
| 纯化 | Affinity purification with immunogen. |
| 缓冲液 | 0.2% Na2HPO4, 0.9% NaCl, 0.05% Sodium azide and 4% Trehalose. |
| 抗菌剂 | 0.05% Sodium azide |
| 稳定剂 | 4% Trehalose |
| 浓度 | 0.5 mg/ml |
| 存放说明 | For continuous use, store undiluted antibody at 2-8°C for up to a week. For long-term storage, aliquot and store at -20°C or below. Storage in frost free freezers is not recommended. Avoid repeated freeze/thaw cycles. Suggest spin the vial prior to opening. The antibody solution should be gently mixed before use. |
| 注意事项 | For laboratory research only, not for drug, diagnostic or other use. |
生物信息
| 数据库连接 | |
|---|---|
| 基因名称 | NOVA1 |
| 全名 | neuro-oncological ventral antigen 1 |
| 背景介绍 | This gene encodes a neuron-specific RNA-binding protein, a member of the Nova family of paraneoplastic disease antigens, that is recognized and inhibited by paraneoplastic antibodies. These antibodies are found in the sera of patients with paraneoplastic opsoclonus-ataxia, breast cancer, and small cell lung cancer. Alternatively spliced transcripts encoding distinct isoforms have been described. [provided by RefSeq, Jul 2008] |
| 生物功能 | May regulate RNA splicing or metabolism in a specific subset of developing neurons. [UniProt] |
| 细胞定位 | Nucleus. [UniProt] |
| 预测分子量 | 52 kDa |
检测图片 (6) Click the Picture to Zoom In
-
ARG42956 anti-NOVA1 antibody ICC/IF image
Immunofluorescence: A549 cells were blocked with 10% goat serum and then stained with ARG42956 anti-NOVA1 antibody (green) at 2 µg/ml dilution, overnight at 4°C.
-
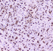
ARG42956 anti-NOVA1 antibody IHC-P image
Immunohistochemistry: Paraffin-embedded Human glioma tissue. Antigen Retrieval: Heat mediation was performed in Citrate buffer (pH 6.0) for 20 min. The tissue section was blocked with 10% goat serum. The tissue section was then stained with ARG42956 anti-NOVA1 antibody at 1 µg/ml dilution, overnight at 4°C.
-
ARG42956 anti-NOVA1 antibody WB image
Western blot: 50 µg of sample under reducing conditions. U-87MG and Caco-2 whole cell lysates stained with ARG42956 anti-NOVA1 antibody at 0.5 µg/ml dilution, overnight at 4°C.
-
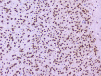
ARG42956 anti-NOVA1 antibody IHC-P image
Immunohistochemistry: Paraffin-embedded Rat brain tissue. Antigen Retrieval: Heat mediation was performed in Citrate buffer (pH 6.0) for 20 min. The tissue section was blocked with 10% goat serum. The tissue section was then stained with ARG42956 anti-NOVA1 antibody at 1 µg/ml dilution, overnight at 4°C.
-
ARG42956 anti-NOVA1 antibody IHC-P image
Immunohistochemistry: Paraffin-embedded Mouse brain tissue. Antigen Retrieval: Heat mediation was performed in Citrate buffer (pH 6.0) for 20 min. The tissue section was blocked with 10% goat serum. The tissue section was then stained with ARG42956 anti-NOVA1 antibody at 1 µg/ml dilution, overnight at 4°C.
-
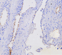
ARG42956 anti-NOVA1 antibody IHC-Fr image
Immunohistochemistry: Frozen section of Human placenta tissue. The tissue section was blocked with 10% goat serum. The tissue section was then stained with ARG42956 anti-NOVA1 antibody at 1 µg/ml dilution, overnight at 4°C.
