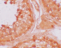
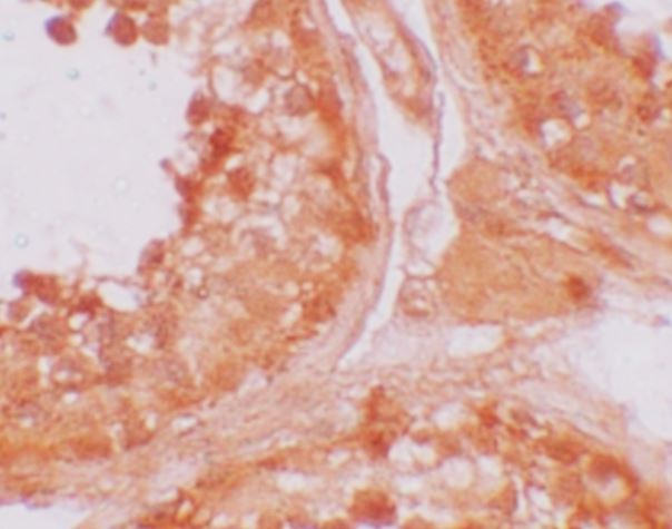
ARG46335
anti-NLRP9 antibody
anti-NLRP9 antibody for Western blot,IHC-Formalin-fixed paraffin-embedded sections and Human,Mouse
概述
| 产品描述 | Rabbit Polyclonal antibody recognizes NLRP9 |
|---|---|
| 反应物种 | Hu, Ms |
| 应用 | IHC-P, WB |
| 宿主 | Rabbit |
| 克隆 | Polyclonal |
| 同位型 | IgG |
| 靶点名称 | NLRP9 |
| 抗原物种 | Human |
| 抗原 | A 14 amino acid synthetic peptide within aa. 190 - 240 of human NLRP9. |
| 偶联标记 | Un-conjugated |
| 別名 | NLRP9; NLR Family Pyrin Domain Containing 9; PAN12; NOD6; CLR19.1; NALP9; Nucleotide-Binding Oligomerization Domain, Leucine Rich Repeat And Pyrin Domain Containing 9; Nucleotide-Binding Oligomerization Domain Protein 6; NACHT, Leucine Rich Repeat And PYD Containing 9; NACHT, LRR And PYD Domains-Containing Protein 9; PYRIN And NACHT-Containing Protein 12; NACHT, LRR And PYD Containing Protein 9 |
应用说明
| 应用建议 |
|
||||||
|---|---|---|---|---|---|---|---|
| 应用说明 | * The dilutions indicate recommended starting dilutions and the optimal dilutions or concentrations should be determined by the scientist. |
属性
| 纯化 | Affinity chromatography purified |
|---|---|
| 缓冲液 | PBS and 0.02% Sodium azide. |
| 抗菌剂 | 0.02% Sodium azide |
| 浓度 | 1 mg/ml |
| 存放说明 | For continuous use, store undiluted antibody at 2-8°C for up to a week. For long-term storage, aliquot and store at -20°C. Storage in frost free freezers is not recommended. Avoid repeated freeze/thaw cycles. Suggest spin the vial prior to opening. The antibody solution should be gently mixed before use. |
| 注意事项 | For laboratory research only, not for drug, diagnostic or other use. |
生物信息
| 数据库连接 |
Swiss-port # Q7RTR0 Human NACHT, LRR and PYD domains-containing protein 9 |
|---|---|
| 基因名称 | NLRP9 |
| 全名 | NLR Family Pyrin Domain Containing 9 |
| 背景介绍 | The protein encoded by this gene belongs to the NALP protein family. Members of the NALP protein family typically contain a NACHT domain, a NACHT-associated domain (NAD), a C-terminal leucine-rich repeat (LRR) region, and an N-terminal pyrin domain (PYD). This protein may play a regulatory role in the innate immune system as similar family members belong to the signal-induced multiprotein complex, the inflammasome, that activates the pro-inflammatory caspases, caspase-1 and caspase-5. |
| 生物功能 | As the sensor component of the NLRP9 inflammasome, plays a crucial role in innate immunity and inflammation. In response to pathogens, including rotavirus, initiates the formation of the inflammasome polymeric complex, made of NLRP9, PYCARD and CASP1. Recruitment of proCASP1 to the inflammasome promotes its activation and CASP1-catalyzed IL1B and IL18 maturation and release in the extracellular milieu. The active cytokines stimulate inflammatory responses. Inflammasomes can also induce pyroptosis, an inflammatory form of programmed cell death. NLRP9 inflammasome activation may be initiated by DHX9 interaction with viral double-stranded RNA (dsRNA), preferentially to short dsRNA segments. |
| 细胞定位 | Cytoplasm, Inflammasome |
| 预测分子量 | 113 kDa |
检测图片 (2) Click the Picture to Zoom In
