ARG46311
anti-NLRP5 antibody
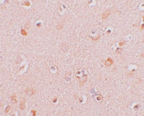
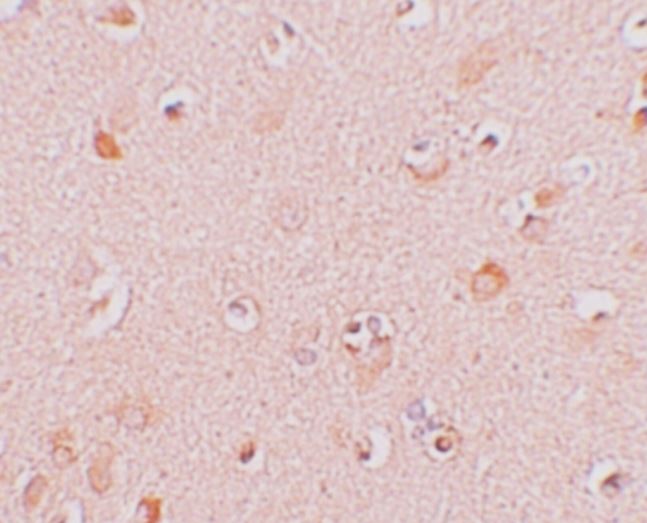
anti-NLRP5 antibody for Western blot,IHC-Formalin-fixed paraffin-embedded sections and Human,Mouse,Rat
概述
| 产品描述 | Rabbit Polyclonal antibody recognizes NLRP5 |
|---|---|
| 反应物种 | Hu, Ms, Rat |
| 应用 | IHC-P, WB |
| 宿主 | Rabbit |
| 克隆 | Polyclonal |
| 同位型 | IgG |
| 靶点名称 | NLRP5 |
| 抗原物种 | Human |
| 抗原 | A 14 amino acid synthetic peptide within the last 50 amino acids of human NLRP5. |
| 偶联标记 | Un-conjugated |
| 別名 | NLRP5; NLR Family Pyrin Domain Containing 5; MATER; Maternal Antigen That Embryos Require; CLR19.8; PYPAF8; PAN11; NALP5; Nucleotide-Binding Oligomerization Domain, Leucine Rich Repeat And Pyrin Domain Containing 5; NACHT, Leucine Rich Repeat And PYD Containing 5; NACHT, LRR And PYD Domains-Containing Protein 5; Mater Protein Homolog; OZEMA19 |
应用说明
| 应用建议 |
|
||||||
|---|---|---|---|---|---|---|---|
| 应用说明 | * The dilutions indicate recommended starting dilutions and the optimal dilutions or concentrations should be determined by the scientist. |
属性
| 纯化 | Affinity chromatography purified |
|---|---|
| 缓冲液 | PBS and 0.02% Sodium azide. |
| 抗菌剂 | 0.02% Sodium azide |
| 浓度 | 1 mg/ml |
| 存放说明 | For continuous use, store undiluted antibody at 2-8°C for up to a week. For long-term storage, aliquot and store at -20°C. Storage in frost free freezers is not recommended. Avoid repeated freeze/thaw cycles. Suggest spin the vial prior to opening. The antibody solution should be gently mixed before use. |
| 注意事项 | For laboratory research only, not for drug, diagnostic or other use. |
生物信息
| 数据库连接 |
Swiss-port # P59047 Human NACHT, LRR and PYD domains-containing protein 5 Swiss-port # Q9R1M5 Mouse NACHT, LRR and PYD domains-containing protein 5 |
|---|---|
| 基因名称 | NLRP5 |
| 全名 | NLR Family Pyrin Domain Containing 5 |
| 背景介绍 | The protein encoded by this gene belongs to the NALP protein family. Members of the NALP protein family typically contain a NACHT domain, a NACHT-associated domain (NAD), a C-terminal leucine-rich repeat (LRR) region, and an N-terminal pyrin domain (PYD). Expression of this gene is restricted to the oocyte. A mouse gene that encodes a maternal oocyte protein, similar to this encoded protein, is required for normal early embryogenesis. |
| 生物功能 | As a member of the subcortical maternal complex (SCMC), plays an essential role for zygotes to progress beyond the first embryonic cell divisions via regulation of actin dynamics. |
| 细胞定位 | Cytoplasm, Cytoplasmic vesicle, Golgi apparatus, Mitochondrion, Nucleus |
| 预测分子量 | 134 kDa |
检测图片 (1) Click the Picture to Zoom In
