ARG43214
anti-NLRP12 / NALP12 antibody
anti-NLRP12 / NALP12 antibody for IHC-Formalin-fixed paraffin-embedded sections,Western blot and Human
概述
| 产品描述 | Rabbit Polyclonal antibody recognizes NLRP12 / NALP12 |
|---|---|
| 反应物种 | Hu |
| 应用 | IHC-P, WB |
| 宿主 | Rabbit |
| 克隆 | Polyclonal |
| 同位型 | IgG |
| 靶点名称 | NLRP12 / NALP12 |
| 抗原物种 | Human |
| 抗原 | KLH-conjugated synthetic peptide between aa. 183-212 of Human NLRP12 / NALP12. |
| 偶联标记 | Un-conjugated |
| 別名 | RNO2; RNO; PAN6; NALP12; Regulated by nitric oxide; PYRIN-containing APAF1-like protein 7; NACHT, LRR and PYD domains-containing protein 12; PYPAF7; FCAS2; CLR19.3; Monarch-1 |
应用说明
| 应用建议 |
|
||||||
|---|---|---|---|---|---|---|---|
| 应用说明 | * The dilutions indicate recommended starting dilutions and the optimal dilutions or concentrations should be determined by the scientist. | ||||||
| 阳性对照 | Human placenta | ||||||
| 实际分子量 | ~ 105 kDa |
属性
| 形式 | Liquid |
|---|---|
| 纯化 | Purification with Protein A and immunogen peptide. |
| 缓冲液 | PBS and 0.09% (W/V) Sodium azide. |
| 抗菌剂 | 0.09% (W/V) Sodium azide |
| 存放说明 | For continuous use, store undiluted antibody at 2-8°C for up to a week. For long-term storage, aliquot and store at -20°C or below. Storage in frost free freezers is not recommended. Avoid repeated freeze/thaw cycles. Suggest spin the vial prior to opening. The antibody solution should be gently mixed before use. |
| 注意事项 | For laboratory research only, not for drug, diagnostic or other use. |
生物信息
| 数据库连接 |
Swiss-port # P59046 Human NACHT, LRR and PYD domains-containing protein 12 |
|---|---|
| 基因名称 | NLRP12 |
| 全名 | NLR family, pyrin domain containing 12 |
| 背景介绍 | This gene encodes a member of the CATERPILLER family of cytoplasmic proteins. The encoded protein, which contains an N-terminal pyrin domain, a NACHT domain, a NACHT-associated domain, and a C-terminus leucine-rich repeat region, functions as an attenuating factor of inflammation by suppressing inflammatory responses in activated monocytes. Mutations in this gene cause familial cold autoinflammatory syndrome type 2. Alternative splicing results in multiple transcript variants. [provided by RefSeq, Mar 2013] |
| 生物功能 | Plays an essential role as an potent mitigator of inflammation (PubMed:30559449). Primarily expressed in dendritic cells and macrophages, inhibits both canonical and non-canonical NF-kappa-B and ERK activation pathways (PubMed:15489334, PubMed:17947705). Functions as a negative regulator of NOD2 by targeting it to degradation via the proteasome pathway (PubMed:30559449). In turn, promotes bacterial tolerance (PubMed:30559449). Inhibits also the DDX58-mediated immune signaling against RNA viruses by reducing the E3 ubiquitin ligase TRIM25-mediated 'Lys-63'-linked DDX58 activation but enhancing the E3 ubiquitin ligase RNF125-mediated 'Lys-48'-linked DDX58 degradation (PubMed:30902577). Acts also as a negative regulator of inflammatory response to mitigate obesity and obesity-associated diseases in adipose tissue (By similarity). [UniProt] |
| 细胞定位 | Cytoplasm. [UniProt] |
| 预测分子量 | 120 kDa |
检测图片 (2) Click the Picture to Zoom In
-
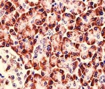
ARG43214 anti-NLRP12 / NALP12 antibody IHC-P image
Immunohistochemistry: Formalin-fixed and paraffin-embedded Human pancreas tissue stained with ARG43214 anti-NLRP12 / NALP12 antibody.
-
ARG43214 anti-NLRP12 / NALP12 antibody WB image
Western blot: 35 µg of Human placenta lysate stained with ARG43214 anti-NLRP12 / NALP12 antibody.
