ARG43201
anti-NLRP1 / NALP1 antibody
anti-NLRP1 / NALP1 antibody for ICC/IF,IHC-Formalin-fixed paraffin-embedded sections,Western blot and Human,Mouse,Rat
概述
| 产品描述 | Rabbit Polyclonal antibody recognizes NLRP1 / NALP1 |
|---|---|
| 反应物种 | Hu, Ms, Rat |
| 应用 | ICC/IF, IHC-P, WB |
| 宿主 | Rabbit |
| 克隆 | Polyclonal |
| 同位型 | IgG |
| 靶点名称 | NLRP1 / NALP1 |
| 抗原物种 | Human |
| 抗原 | Synthetic peptide within aa. 1000-1100 of Human NLRP1 / NALP1 (NP_001028225.1). |
| 偶联标记 | Un-conjugated |
| 別名 | NAC; PP1044; DEFCAP; SLEV1; VAMAS1; Nucleotide-binding domain and caspase recruitment domain; DEFCAP-L/S; NALP1; NACHT, LRR and PYD domains-containing protein 1; Death effector filament-forming ced-4-like apoptosis protein; CLR17.1; Caspase recruitment domain-containing protein 7; CIDED; CARD7 |
应用说明
| 预测反应性说明 | Mouse, Rat | ||||||||
|---|---|---|---|---|---|---|---|---|---|
| 应用建议 |
|
||||||||
| 应用说明 | * The dilutions indicate recommended starting dilutions and the optimal dilutions or concentrations should be determined by the scientist. | ||||||||
| 阳性对照 | SH-SY5Y | ||||||||
| 实际分子量 | ~ 152 kDa |
属性
| 形式 | Liquid |
|---|---|
| 纯化 | Affinity purified. |
| 缓冲液 | PBS (pH 7.3), 0.02% Sodium azide and 50% Glycerol. |
| 抗菌剂 | 0.02% Sodium azide |
| 稳定剂 | 50% Glycerol |
| 存放说明 | For continuous use, store undiluted antibody at 2-8°C for up to a week. For long-term storage, aliquot and store at -20°C. Storage in frost free freezers is not recommended. Avoid repeated freeze/thaw cycles. Suggest spin the vial prior to opening. The antibody solution should be gently mixed before use. |
| 注意事项 | For laboratory research only, not for drug, diagnostic or other use. |
生物信息
| 数据库连接 |
Swiss-port # Q9C000 Human NACHT, LRR and PYD domains-containing protein 1 |
|---|---|
| 基因名称 | NLRP1 |
| 全名 | NLR family, pyrin domain containing 1 |
| 背景介绍 | This gene encodes a member of the Ced-4 family of apoptosis proteins. Ced-family members contain a caspase recruitment domain (CARD) and are known to be key mediators of programmed cell death. The encoded protein contains a distinct N-terminal pyrin-like motif, which is possibly involved in protein-protein interactions. This protein interacts strongly with caspase 2 and weakly with caspase 9. Overexpression of this gene was demonstrated to induce apoptosis in cells. Multiple alternatively spliced transcript variants encoding distinct isoforms have been found for this gene, but the biological validity of some variants has not been determined. [provided by RefSeq, Jul 2008] |
| 生物功能 | As the sensor component of the NLRP1 inflammasome, plays a crucial role in innate immunity and inflammation. In response to pathogens and other damage-associated signals, initiates the formation of the inflammasome polymeric complex, made of NLRP1, CASP1, and possibly PYCARD. Recruitment of proCASP1 to the inflammasome promotes its activation and CASP1-catalyzed IL1B and IL18 maturation and secretion in the extracellular milieu. Activation of NLRP1 inflammasome is also required for HMGB1 secretion. The active cytokines and HMGB1 stimulate inflammatory responses. Inflammasomes can also induce pyroptosis, an inflammatory form of programmed cell death (PubMed:22665479, PubMed:17418785). May be activated by muramyl dipeptide (MDP), a fragment of bacterial peptidoglycan, in a NOD2-dependent manner (PubMed:18511561). Contrary to its mouse ortholog, not activated by Bacillus anthracis lethal toxin (PubMed:19651869). It is unclear whether isoform 2 is involved in inflammasome formation. It is not cleaved within the FIIND domain, does not assemble into specks, nor promote IL1B release (PubMed:22665479). However, in an vitro cell-free system, it has been shown to be activated by MDP (PubMed:17349957). Binds ATP (PubMed:11113115, PubMed:15212762). [UniProt] |
| 细胞定位 | Cytoplasm, cytosol. Cytoplasm. Inflammasome. Nucleus. Note=Nucleocytoplasmic distribution in lymphoid organs (probably in T-cells) and in neurons. In epithelial cells, predominantly cytoplasmic. [UniProt] |
| 预测分子量 | 166 kDa |
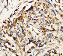
检测图片 (2) Click the Picture to Zoom In
-
ARG43201 anti-NLRP1 / NALP1 antibody IHC-P image
Immunohistochemistry: Paraffin-embedded Human lung cancer tissue stained with ARG43201 anti-NLRP1 / NALP1 antibody at 1:100 dilution.
-
ARG43201 anti-NLRP1 / NALP1 antibody WB image
Western blot: 25 µg of SH-SY5Y cell lysate stained with ARG43201 anti-NLRP1 / NALP1 antibody at 1:1000 dilution.
