ARG63362
anti-NIPP1 antibody
anti-NIPP1 antibody for IHC-Formalin-fixed paraffin-embedded sections,Western blot and Human,Mouse
Gene Regulation antibody; Signaling Transduction antibody
概述
| 产品描述 | Goat Polyclonal antibody recognizes NIPP1 |
|---|---|
| 反应物种 | Hu, Ms |
| 预测物种 | Cow, Dog |
| 应用 | IHC-P, WB |
| 特异性 | This antibody is expected to recognise all three human isoforms of this protein. |
| 宿主 | Goat |
| 克隆 | Polyclonal |
| 同位型 | IgG |
| 靶点名称 | NIPP1 |
| 抗原物种 | Human |
| 抗原 | C-EAWPGKKPTPSLLI |
| 偶联标记 | Un-conjugated |
| 別名 | NIPP-1; NIPP1; Nuclear inhibitor of protein phosphatase 1; ARD-1; PRO2047; ARD1; EC 3.1.4.-; Protein phosphatase 1 regulatory inhibitor subunit 8 |
应用说明
| 应用建议 |
|
||||||
|---|---|---|---|---|---|---|---|
| 应用说明 | IHC-P: Antigen Retrieval: Steam tissue section in Citrate buffer (pH 6.0). WB: Recommend incubate at RT for 1h. * The dilutions indicate recommended starting dilutions and the optimal dilutions or concentrations should be determined by the scientist. |
属性
| 形式 | Liquid |
|---|---|
| 纯化 | Purified from goat serum by antigen affinity chromatography. |
| 缓冲液 | Tris saline (pH 7.3), 0.02% Sodium azide and 0.5% BSA. |
| 抗菌剂 | 0.02% Sodium azide |
| 稳定剂 | 0.5% BSA |
| 浓度 | 0.5 mg/ml |
| 存放说明 | For continuous use, store undiluted antibody at 2-8°C for up to a week. For long-term storage, aliquot and store at -20°C or below. Storage in frost free freezers is not recommended. Avoid repeated freeze/thaw cycles. Suggest spin the vial prior to opening. The antibody solution should be gently mixed before use. |
| 注意事项 | For laboratory research only, not for drug, diagnostic or other use. |
生物信息
| 数据库连接 |
Swiss-port # Q12972 Human Nuclear inhibitor of protein phosphatase 1 Swiss-port # Q8R3G1 Mouse Nuclear inhibitor of protein phosphatase 1 |
|---|---|
| 背景介绍 | This gene, through alternative splicing, encodes three different isoforms. Two of the protein isoforms encoded by this gene are specific inhibitors of type 1 serine/threonine protein phosphatases and can bind but not cleave RNA. The third protein isoform lacks the phosphatase inhibitory function but is a single-strand endoribonuclease comparable to RNase E of E. coli. This isoform requires magnesium for its function and cleaves specific sites in A+U-rich regions of RNA. [provided by RefSeq, Jul 2008] |
| 研究领域 | Gene Regulation antibody; Signaling Transduction antibody |
| 预测分子量 | 38 kDa |
| 翻译后修饰 | May be inactivated by phosphorylation on Ser-199 or Ser-204 (By similarity). Phosphorylated by Lyn in vitro on Tyr-264, and also on Tyr-335 in the presence of RNA. |
检测图片 (3) Click the Picture to Zoom In
-
ARG63362 anti-NIPP1 antibody WB image
Western blot: 30 µg of H460 lysate stained with ARG63362 anti-NIPP1 antibody at 2 µg/ml dilution.
-
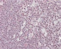
ARG63362 anti-NIPP1 antibody IHC image
Immunohistochemistry: paraffin-embedded Human Thymus (Steamed antigen retrieval with citrate buffer pH 6) stained with ARG63362 anti-NIPP1 antibody at 3.8 µg/ml dilution, followed by AP-staining.
-
ARG63362 anti-NIPP1 antibody WB image
Western blot: 35 µg of HeLa (A), HepG2 (B), Jurkat (C) and NIH/3T3 (D) nuclear lysates (in RIPA buffer) stained with ARG63362 anti-NIPP1 antibody at 1 µg/ml dilution and incubated at RT for 1 hour.
