ARG45435
anti-NHERF2 antibody
anti-NHERF2 antibody for Flow cytometry,IHC-Formalin-fixed paraffin-embedded sections,Western blot and Human,Mouse,Rat
概述
| 产品描述 | Rabbit Polyclonal antibody recognizes NHERF2 |
|---|---|
| 反应物种 | Hu, Ms, Rat |
| 应用 | FACS, IHC-P, WB |
| 宿主 | Rabbit |
| 克隆 | Polyclonal |
| 同位型 | IgG |
| 靶点名称 | NHERF2 |
| 抗原物种 | Human |
| 抗原 | Recombinant protein containing to human NHERF2. |
| 偶联标记 | Un-conjugated |
| 別名 | SLC9A3R2; Tyrosine kinase activator protein 1; NHE3RF2; E3KARP; Na; +; OCTS2; NHERF-2; Solute carrier family 9 isoform A3 regulatory factor 2; Sodium-hydrogen exchanger regulatory factor 2; NHE3 kinase A regulatory protein E3KARP; NHERF2; SIP-1; SIP1; TKA-1; SRY-interacting protein 1 |
应用说明
| 应用建议 |
|
||||||||
|---|---|---|---|---|---|---|---|---|---|
| 应用说明 | * The dilutions indicate recommended starting dilutions and the optimal dilutions or concentrations should be determined by the scientist. | ||||||||
| 实际分子量 | 45 kDa |
属性
| 形式 | Liquid |
|---|---|
| 纯化 | Affinity purified |
| 缓冲液 | 0.2% Na2HPO4, 0.9% NaCl and 4% Trehalose. |
| 稳定剂 | 4% Trehalose |
| 浓度 | 0.5 mg/ml |
| 存放说明 | For continuous use, store undiluted antibody at 2-8°C for up to a week. For long-term storage, aliquot and store at -20°C or below. Storage in frost free freezers is not recommended. Avoid repeated freeze/thaw cycles. Suggest spin the vial prior to opening. The antibody solution should be gently mixed before use. |
| 注意事项 | For laboratory research only, not for drug, diagnostic or other use. |
生物信息
| 数据库连接 | |
|---|---|
| 基因名称 | SLC9A3R2 |
| 全名 | NHERF Family PDZ Scaffold Protein 2 |
| 背景介绍 | This gene encodes a member of the NHERF family of PDZ scaffolding proteins. These proteins mediate many cellular processes by binding to and regulating the membrane expression and protein-protein interactions of membrane receptors and transport proteins. The encoded protein plays a role in intestinal sodium absorption by regulating the activity of the sodium/hydrogen exchanger 3, and may also regulate the cystic fibrosis transmembrane regulator (CFTR) ion channel. Alternatively spliced transcript variants encoding multiple isoforms have been observed for this gene. [provided by RefSeq, Nov 2011] |
| 生物功能 | Scaffold protein that connects plasma membrane proteins with members of the ezrin/moesin/radixin family and thereby helps to link them to the actin cytoskeleton and to regulate their surface expression. Necessary for cAMP-mediated phosphorylation and inhibition of SLC9A3. [UniProt] |
| 细胞定位 | Cell membrane; Membrane; Nucleus. [UniProt] |
| 预测分子量 | 37 kDa |
| 翻译后修饰 | Phosphoprotein. [UniProt] |
检测图片 (6) Click the Picture to Zoom In
-
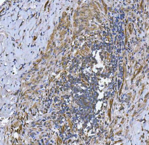
ARG45435 anti-NHERF2 antibody IHC-P image
Immunohistochemistry: Human colorectal adenocarcinoma stained with ARG45435 anti-NHERF2 antibody at 2 μg/ml dilution.
-
ARG45435 anti-NHERF2 antibody WB image
Western blot: MCF-7 stained with ARG45435 anti-NHERF2 antibody at 0.5 μg/ml dilution.
-
ARG45435 anti-NHERF2 antibody FACS image
Flow Cytometry: PC-3 stained with ARG45435 anti-NHERF2 antibody at 1 µg/10^6 cells dilution.
-
ARG45435 anti-NHERF2 antibody IHC-P image
Immunohistochemistry: Rat kidney stained with ARG45435 anti-NHERF2 antibody at 2 μg/ml dilution.
-
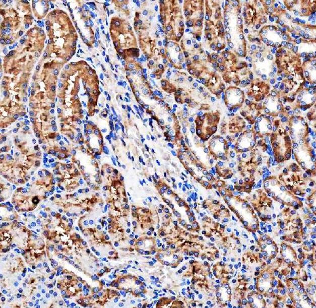
ARG45435 anti-NHERF2 antibody IHC-P image
Immunohistochemistry: Mouse kidney stained with ARG45435 anti-NHERF2 antibody at 2 μg/ml dilution.
-
ARG45435 anti-NHERF2 antibody WB image
Western blot: Mouse lung stained with ARG45435 anti-NHERF2 antibody at 0.5 μg/ml dilution.
