ARG42974
anti-NFIC antibody
anti-NFIC antibody for Flow cytometry,IHC-Formalin-fixed paraffin-embedded sections,Western blot and Human,Mouse,Rat
概述
| 产品描述 | Rabbit Polyclonal antibody recognizes NFIC |
|---|---|
| 反应物种 | Hu, Ms, Rat |
| 应用 | FACS, IHC-P, WB |
| 宿主 | Rabbit |
| 克隆 | Polyclonal |
| 同位型 | IgG |
| 靶点名称 | NFIC |
| 抗原物种 | Human |
| 抗原 | Recombinant protein corresponding to D215-G508 of Human NFIC. |
| 偶联标记 | Un-conjugated |
| 別名 | Nuclear factor 1 C-type; CTF5; CCAAT-box-binding transcription factor; TGGCA-binding protein; Nuclear factor 1/C; NFI; NF1-C; CTF; NF-I/C; NF-I; NFI-C; Nuclear factor I/C |
应用说明
| 应用建议 |
|
||||||||
|---|---|---|---|---|---|---|---|---|---|
| 应用说明 | IHC-P: Antigen Retrieval: Heat mediation was performed in EDTA buffer (pH 8.0). * The dilutions indicate recommended starting dilutions and the optimal dilutions or concentrations should be determined by the scientist. |
||||||||
| 实际分子量 | 56, 65 kDa |
属性
| 形式 | Liquid |
|---|---|
| 纯化 | Affinity purification with immunogen. |
| 缓冲液 | 0.2% Na2HPO4, 0.9% NaCl, 0.05% Sodium azide and 4% Trehalose. |
| 抗菌剂 | 0.05% Sodium azide |
| 稳定剂 | 4% Trehalose |
| 浓度 | 0.5 mg/ml |
| 存放说明 | For continuous use, store undiluted antibody at 2-8°C for up to a week. For long-term storage, aliquot and store at -20°C or below. Storage in frost free freezers is not recommended. Avoid repeated freeze/thaw cycles. Suggest spin the vial prior to opening. The antibody solution should be gently mixed before use. |
| 注意事项 | For laboratory research only, not for drug, diagnostic or other use. |
生物信息
| 数据库连接 | |
|---|---|
| 基因名称 | NFIC |
| 全名 | nuclear factor I/C (CCAAT-binding transcription factor) |
| 背景介绍 | The protein encoded by this gene belongs to the CTF/NF-I family. These are dimeric DNA-binding proteins, and function as cellular transcription factors and as replication factors for adenovirus DNA replication. Alternatively spliced transcript variants encoding different isoforms have been described for this gene. [provided by RefSeq, Oct 2011] |
| 生物功能 | Recognizes and binds the palindromic sequence 5'-TTGGCNNNNNGCCAA-3' present in viral and cellular promoters and in the origin of replication of adenovirus type 2. These proteins are individually capable of activating transcription and replication. [UniProt] |
| 细胞定位 | Nucleus. [UniProt] |
| 预测分子量 | 56 kDa |
检测图片 (7) Click the Picture to Zoom In
-
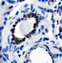
ARG42974 anti-NFIC antibody IHC-P image
Immunohistochemistry: Paraffin-embedded Human pancreatic cancer tissue. Antigen Retrieval: Heat mediation was performed in EDTA buffer (pH 8.0). The tissue section was blocked with 10% goat serum. The tissue section was then stained with ARG42974 anti-NFIC antibody at 1 µg/ml dilution, overnight at 4°C.
-
ARG42974 anti-NFIC antibody WB image
Western blot: 50 µg of sample under reducing conditions. HeLa, U2OS, T-47D, PC-3, HepG2, A431, Caco-2, Rat skeletal muscle and Raw264.7 whole cell lysates stained with ARG42974 anti-NFIC antibody at 0.5 µg/ml dilution, overnight at 4°C.
-
ARG42974 anti-NFIC antibody FACS image
Flow Cytometry: A549 cells were blocked with 10% normal goat serum and then stained with ARG42974 anti-NFIC antibody (blue) at 1 µg/10^6 cells for 30 min at 20°C, followed by incubation with DyLight®488 labelled secondary antibody. Isotype control antibody (green) was Rabbit IgG (1 µg/10^6 cells) used under the same conditions. Unlabelled sample (red) was also used as a control.
-
ARG42974 anti-NFIC antibody IHC-P image
Immunohistochemistry: Paraffin-embedded Mouse skeletal muscle tissue. Antigen Retrieval: Heat mediation was performed in EDTA buffer (pH 8.0). The tissue section was blocked with 10% goat serum. The tissue section was then stained with ARG42974 anti-NFIC antibody at 1 µg/ml dilution, overnight at 4°C.
-
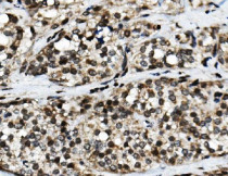
ARG42974 anti-NFIC antibody IHC-P image
Immunohistochemistry: Paraffin-embedded Rat pancreas muscle tissue. Antigen Retrieval: Heat mediation was performed in EDTA buffer (pH 8.0). The tissue section was blocked with 10% goat serum. The tissue section was then stained with ARG42974 anti-NFIC antibody at 1 µg/ml dilution, overnight at 4°C.
-
ARG42974 anti-NFIC antibody IHC-P image
Immunohistochemistry: Paraffin-embedded Human intestinal cancer tissue. Antigen Retrieval: Heat mediation was performed in EDTA buffer (pH 8.0). The tissue section was blocked with 10% goat serum. The tissue section was then stained with ARG42974 anti-NFIC antibody at 2 µg/ml dilution, overnight at 4°C.
-
ARG42974 anti-NFIC antibody IHC-P image
Immunohistochemistry: Paraffin-embedded Mouse skeletal muscle tissue. Antigen Retrieval: Heat mediation was performed in EDTA buffer (pH 8.0). The tissue section was blocked with 10% goat serum. The tissue section was then stained with ARG42974 anti-NFIC antibody at 2 µg/ml dilution, overnight at 4°C.
