ARG59017
anti-NFIB / NF1B2 antibody
anti-NFIB / NF1B2 antibody for IHC-Formalin-fixed paraffin-embedded sections,Western blot and Human,Mouse,Rat
概述
| 产品描述 | Rabbit Polyclonal antibody recognizes NFIB / NF1B2 |
|---|---|
| 反应物种 | Hu, Ms, Rat |
| 应用 | IHC-P, WB |
| 宿主 | Rabbit |
| 克隆 | Polyclonal |
| 同位型 | IgG |
| 靶点名称 | NFIB / NF1B2 |
| 抗原物种 | Human |
| 抗原 | Synthetic peptide corresponding to a sequence of Human NFIB / NF1B2 (ELVRVSRTPITQGTGVNFPIGEIPSQPYYHDMNSGVNLQR). |
| 偶联标记 | Un-conjugated |
| 別名 | NFI-RED; Nuclear factor 1/B; HMGIC/NFIB; TGGCA-binding protein; Nuclear factor 1 B-type; NF-I/B; NF1-B; CTF; CCAAT-box-binding transcription factor; NFI-B; NFIB2; NFIB3; Nuclear factor I/B |
应用说明
| 应用建议 |
|
||||||
|---|---|---|---|---|---|---|---|
| 应用说明 | IHC-P: Antigen Retrieval: Heat mediated was performed in Citrate buffer (pH 6.0) for 20 min. * The dilutions indicate recommended starting dilutions and the optimal dilutions or concentrations should be determined by the scientist. |
属性
| 形式 | Liquid |
|---|---|
| 纯化 | Affinity purification with immunogen. |
| 缓冲液 | 0.2% Na2HPO4, 0.9% NaCl, 0.05% Sodium azide and 4% Trehalose. |
| 抗菌剂 | 0.05% Sodium azide |
| 稳定剂 | 4% Trehalose |
| 浓度 | 0.5 mg/ml |
| 存放说明 | For continuous use, store undiluted antibody at 2-8°C for up to a week. For long-term storage, aliquot and store at -20°C or below. Storage in frost free freezers is not recommended. Avoid repeated freeze/thaw cycles. Suggest spin the vial prior to opening. The antibody solution should be gently mixed before use. |
| 注意事项 | For laboratory research only, not for drug, diagnostic or other use. |
生物信息
| 数据库连接 | |
|---|---|
| 基因名称 | NFIB |
| 全名 | nuclear factor I/B |
| 生物功能 | Recognizes and binds the palindromic sequence 5'-TTGGCNNNNNGCCAA-3' present in viral and cellular promoters and in the origin of replication of adenovirus type 2. These proteins are individually capable of activating transcription and replication. [UniProt] |
| 细胞定位 | Nucleus. [UniProt] |
| 预测分子量 | 47 kDa |
检测图片 (4) Click the Picture to Zoom In
-
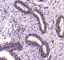
ARG59017 anti-NFIB / NF1B2 antibody IHC-P image
Immunohistochemistry: Paraffin-embedded Human mammary cancer tissue. Antigen Retrieval: Heat mediated was performed in Citrate buffer (pH 6.0, epitope retrieval solution) for 20 min. The tissue section was blocked with 10% goat serum. The tissue section was then stained with ARG59017 anti-NFIB / NF1B2 antibody at 1 µg/ml dilution, overnight at 4°C.
-
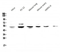
ARG59017 anti-NFIB / NF1B2 antibody WB image
Western blot: 50 µg of samples under reducing conditions. HeLa, PC-12, Mouse lung, Mouse ovary and HEPA1-6 lysates stained with ARG59017 anti-NFIB / NF1B2 antibody at 0.5 µg/ml, overnight at 4°C.
-
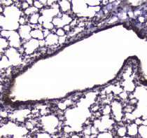
ARG59017 anti-NFIB / NF1B2 antibody IHC-P image
Immunohistochemistry: Paraffin-embedded Mouse lung tissue. Antigen Retrieval: Heat mediated was performed in Citrate buffer (pH 6.0, epitope retrieval solution) for 20 min. The tissue section was blocked with 10% goat serum. The tissue section was then stained with ARG59017 anti-NFIB / NF1B2 antibody at 1 µg/ml dilution, overnight at 4°C.
-
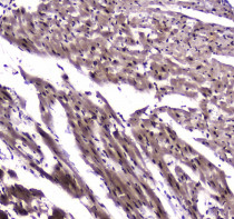
ARG59017 anti-NFIB / NF1B2 antibody IHC-P image
Immunohistochemistry: Paraffin-embedded Rat cardiac muscle tissue. Antigen Retrieval: Heat mediated was performed in Citrate buffer (pH 6.0, epitope retrieval solution) for 20 min. The tissue section was blocked with 10% goat serum. The tissue section was then stained with ARG59017 anti-NFIB / NF1B2 antibody at 1 µg/ml dilution, overnight at 4°C.
