ARG65024
anti-NFATc2 / NFAT1 antibody
anti-NFATc2 / NFAT1 antibody for IHC-Formalin-fixed paraffin-embedded sections,Western blot and Human
Cancer antibody; Cell Biology and Cellular Response antibody; Gene Regulation antibody; Immune System antibody; Metabolism antibody; Signaling Transduction antibody
概述
| 产品描述 | Goat Polyclonal antibody recognizes NFATc2 / NFAT1 |
|---|---|
| 反应物种 | Hu |
| 预测物种 | Ms, Rat, Cow, Dog |
| 应用 | IHC-P, WB |
| 特异性 | This antibody is expected to recognize all three reported isoforms (NP_036472.2; NP_775114.1; NP_001129493.1). |
| 宿主 | Goat |
| 克隆 | Polyclonal |
| 同位型 | IgG |
| 靶点名称 | NFATc2 / NFAT1 |
| 抗原物种 | Human |
| 抗原 | C-QQFRTGLSSPDARYQ |
| 偶联标记 | Un-conjugated |
| 別名 | NFATc2; NFATP; NFAT1; NFAT pre-existing subunit; NF-ATc2; T-cell transcription factor NFAT1; Nuclear factor of activated T-cells, cytoplasmic 2; NF-ATp |
应用说明
| 应用建议 |
|
||||||
|---|---|---|---|---|---|---|---|
| 应用说明 | IHC-P: Antigen Retrieval: Steam tissue section in Citrate buffer (pH 6.0). WB: Recommend incubate at RT for 1h. * The dilutions indicate recommended starting dilutions and the optimal dilutions or concentrations should be determined by the scientist. |
属性
| 形式 | Liquid |
|---|---|
| 纯化 | Purified from goat serum by antigen affinity chromatography. |
| 缓冲液 | Tris saline (pH 7.3), 0.02% Sodium azide and 0.5% BSA. |
| 抗菌剂 | 0.02% Sodium azide |
| 稳定剂 | 0.5% BSA |
| 浓度 | 0.5 mg/ml |
| 存放说明 | For continuous use, store undiluted antibody at 2-8°C for up to a week. For long-term storage, aliquot and store at -20°C or below. Storage in frost free freezers is not recommended. Avoid repeated freeze/thaw cycles. Suggest spin the vial prior to opening. The antibody solution should be gently mixed before use. |
| 注意事项 | For laboratory research only, not for drug, diagnostic or other use. |
生物信息
| 数据库连接 |
Swiss-port # Q13469 Human Nuclear factor of activated T-cells, cytoplasmic 2 |
|---|---|
| 背景介绍 | This gene is a member of the nuclear factor of activated T cells (NFAT) family. The product of this gene is a DNA-binding protein with a REL-homology region (RHR) and an NFAT-homology region (NHR). This protein is present in the cytosol and only translocates to the nucleus upon T cell receptor (TCR) stimulation, where it becomes a member of the nuclear factors of activated T cells transcription complex. This complex plays a central role in inducing gene transcription during the immune response. Alternate transcriptional splice variants encoding different isoforms have been characterized. [provided by RefSeq, Apr 2012] |
| 研究领域 | Cancer antibody; Cell Biology and Cellular Response antibody; Gene Regulation antibody; Immune System antibody; Metabolism antibody; Signaling Transduction antibody |
| 预测分子量 | 100 kDa |
| 翻译后修饰 | In resting cells, phosphorylated by NFATC-kinase on at least 18 sites in the 99-363 region. Upon cell stimulation, all these sites except Ser-243 are dephosphorylated by calcineurin. Dephosphorylation induces a conformational change that simultaneously exposes an NLS and masks an NES, which results in nuclear localization. Simultaneously, Ser-53 or Ser-56 is phosphorylated; which is required for full transcriptional activity. Ubiquitinated in endothelial cells by RNF213 downstream of the non-canonical Wnt signaling pathway, leading to its degradation by the proteasome. |
检测图片 (2) Click the Picture to Zoom In
-
ARG65024 anti-NFATc2 / NFAT1 antibody WB image
Western blot: MOLT4 lysate (35 µg protein in RIPA buffer) stained with ARG65024 anti-NFATc2 / NFAT1 antibody at 0.3 µg/ml dilution.
-
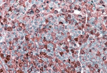
ARG65024 anti-NFATc2 / NFAT1 antibody IHC-P image
Immunohistochemistry: Paraffin embedded Human Spleen. (Steamed antigen retrieval with citrate buffer pH 6) stained with ARG65024 anti-NFATc2 / NFAT1 antibody at 3.8 µg/ml dilution followed by AP-staining.
