ARG45922
anti-NEK9 antibody
anti-NEK9 antibody for Western blot,IHC-Formalin-fixed paraffin-embedded sections,Flow cytometry and Human
概述
| 产品描述 | Rabbit Polyclonal antibody recognizes NEK9 |
|---|---|
| 反应物种 | Hu |
| 应用 | FACS, IHC-P, WB |
| 宿主 | Rabbit |
| 克隆 | Polyclonal |
| 同位型 | IgG |
| 靶点名称 | NEK9 |
| 抗原物种 | Human |
| 抗原 | Recombinant protein containing to human NEK9. |
| 偶联标记 | Un-conjugated |
| 別名 | NIMA Related Kinase 9; NEK9; KIAA1995; NEK8; NERCC; Serine/threonine-protein kinase Nek9; EC 2.7.11.1; Nercc1 kinase; Never in mitosis A-related kinase 9; NimA-related protein kinase 9; NimA-related kinase 8; Nek8 |
应用说明
| 应用建议 |
|
||||||||
|---|---|---|---|---|---|---|---|---|---|
| 应用说明 | * The dilutions indicate recommended starting dilutions and the optimal dilutions or concentrations should be determined by the scientist. | ||||||||
| 实际分子量 | 120 kDa |
属性
| 形式 | Liquid |
|---|---|
| 纯化 | Affinity chromatography purified |
| 缓冲液 | 0.2% Na2HPO4, 0.9% NaCl and 4% Trehalose. |
| 稳定剂 | 4% Trehalose |
| 浓度 | 0.5 mg/ml |
| 存放说明 | For continuous use, store undiluted antibody at 2-8°C for up to a week. For long-term storage, aliquot and store at -22°C or below. Storage in frost free freezers is not recommended. Avoid repeated freeze/thaw cycles. Suggest spin the vial prior to opening. The antibody solution should be gently mixed before use. |
| 注意事项 | For laboratory research only, not for drug, diagnostic or other use. |
生物信息
| 数据库连接 |
Swiss-port # Q8TD19 Human Serine/threonine-protein kinase Nek9 |
|---|---|
| 基因名称 | NEK9 |
| 全名 | NIMA Related Kinase 9 |
| 背景介绍 | This gene encodes a member of the NimA (never in mitosis A) family of serine/threonine protein kinases. The encoded protein is activated in mitosis and, in turn, activates other family members during mitosis. This protein also mediates cellular processes that are essential for interphase progression. [provided by RefSeq, Jul 2016] |
| 生物功能 | Pleiotropic regulator of mitotic progression, participating in the control of spindle dynamics and chromosome separation [UniProt] |
| 细胞定位 | Cytoplasm; Nucleus. [UniProt] |
| 预测分子量 | 107 kDa |
| 翻译后修饰 | Acetylation; Phosphoprotein. [UniProt] |
检测图片 (3) Click the Picture to Zoom In
-
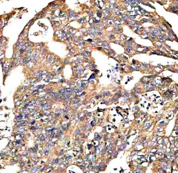
ARG45922 anti-NEK9 antibody IHC-P image
Immunohistochemistry: Human colon cancer stained with ARG45922 anti-NEK9 antibody at 2 μg/ml dilution.
-
ARG45922 anti-NEK9 antibody WB image
Western blot: Hela stained with ARG45922 anti-NEK9 antibody at 0.5 μg/ml dilution.
-
ARG45922 anti-NEK9 antibody FACS image
Flow Cytometry: HepG2 stained with ARG45922 anti-NEK9 antibody at 1 µg/10^6 cells dilution.
