ARG41721
anti-NEK7 antibody
anti-NEK7 antibody for IHC-Formalin-fixed paraffin-embedded sections,Western blot and Human
概述
| 产品描述 | Goat Polyclonal antibody recognizes NEK7 |
|---|---|
| 反应物种 | Hu |
| 预测物种 | Ms, Rat, Cow, Dog |
| 应用 | IHC-P, WB |
| 宿主 | Goat |
| 克隆 | Polyclonal |
| 同位型 | IgG |
| 靶点名称 | NEK7 |
| 抗原物种 | Human |
| 抗原 | Synthetic peptide around the internal region of Human NEK7. (NP_598001.1) (C-NTLANFRIEKK) |
| 偶联标记 | Un-conjugated |
| 別名 | EC 2.7.11.1; Never in mitosis A-related kinase 7; Serine/threonine-protein kinase Nek7; NimA-related protein kinase 7 |
应用说明
| 应用建议 |
|
||||||
|---|---|---|---|---|---|---|---|
| 应用说明 | WB: Recommend incubate at RT for 1h. IHC-P: Antigen Retrieval: Steam tissue section in Citrate buffer (pH 6.0). * The dilutions indicate recommended starting dilutions and the optimal dilutions or concentrations should be determined by the scientist. |
||||||
| 实际分子量 | ~ 35 kDa |
属性
| 形式 | Liquid |
|---|---|
| 纯化 | Affinity purified |
| 缓冲液 | Tris saline (pH 7.3), 0.02% Sodium azide and 0.5% BSA. |
| 抗菌剂 | 0.02% Sodium azide |
| 稳定剂 | 0.5% BSA |
| 浓度 | 0.5 mg/ml |
| 存放说明 | For continuous use, store undiluted antibody at 2-8°C for up to a week. For long-term storage, aliquot and store at -20°C or below. Storage in frost free freezers is not recommended. Avoid repeated freeze/thaw cycles. Suggest spin the vial prior to opening. The antibody solution should be gently mixed before use. |
| 注意事项 | For laboratory research only, not for drug, diagnostic or other use. |
生物信息
| 数据库连接 |
Swiss-port # Q8TDX7 Human Serine/threonine-protein kinase Nek7 |
|---|---|
| 基因名称 | NEK7 |
| 全名 | NIMA-related kinase 7 |
| 背景介绍 | NIMA-related kinases share high amino acid sequence identity with the gene product of the Aspergillus nidulans 'never in mitosis A' gene, which controls initiation of mitosis.[supplied by OMIM, Jul 2002] |
| 生物功能 | Protein kinase which plays an important role in mitotic cell cycle progression. Required for microtubule nucleation activity of the centrosome, robust mitotic spindle formation and cytokinesis. Phosphorylates RPS6KB1. [UniProt] |
| 细胞定位 | Nucleus. Cytoplasm. Cytoplasm, cytoskeleton, spindle pole. Cytoplasm, cytoskeleton, microtubule organizing center, centrosome. Note=Present at centrosome throughout the cell cycle. Also detected at spindle midzone of the anaphase cells and eventually concentrates at the midbody. [UniProt] |
| 预测分子量 | 35 kDa |
| 翻译后修饰 | Phosphorylation at Ser-195 required for its activation. [UniProt] |
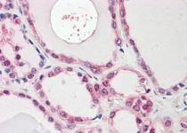
检测图片 (2) Click the Picture to Zoom In
-
ARG41721 anti-NEK7 antibody WB image
Western blot: 35 µg of HeLa cell lysate (in RIPA buffer) stained with ARG41721 anti-NEK7 antibody at 0.05 µg/ml dilution and incubated at RT for 1 hour.
-
ARG41721 anti-NEK7 antibody IHC-P image
Immunohistochemistry: Paraffin-embedded Human thyroid tissue. Antigen Retrieval: Steam tissue section in Citrate buffer (pH 6.0). The tissue section was stained with ARG41721 anti-NEK7 antibody at 3.75 µg/ml dilution.
