ARG45601
anti-NECAB1 antibody
anti-NECAB1 antibody for ICC/IF,IHC-Formalin-fixed paraffin-embedded sections,Western blot and Human,Mouse,Rat
概述
| 产品描述 | Rabbit Polyclonal antibody recognizes NECAB1 |
|---|---|
| 反应物种 | Hu, Ms, Rat |
| 应用 | ICC/IF, IHC-P, WB |
| 宿主 | Rabbit |
| 克隆 | Polyclonal |
| 同位型 | IgG |
| 靶点名称 | NECAB1 |
| 抗原物种 | Human |
| 抗原 | Recombinant protein containing to human NECAB1. |
| 偶联标记 | Un-conjugated |
| 別名 | NECAB1; N-Terminal EF-Hand Calcium Binding Protein 1; EFCBP1; N-Terminal EF-Hand Calcium-Binding Protein 1; Neuronal Calcium-Binding Protein 1; EF-Hand Calcium-Binding Protein 1; Synaptotagmin Interacting Protein 1; EF-Hand Calcium Binding Protein 1; Neuronal Calcium Binding Protein; STIP-1 |
应用说明
| 应用建议 |
|
||||||||
|---|---|---|---|---|---|---|---|---|---|
| 应用说明 | * The dilutions indicate recommended starting dilutions and the optimal dilutions or concentrations should be determined by the scientist. |
属性
| 形式 | Liquid |
|---|---|
| 纯化 | Affinity purified |
| 缓冲液 | 0.2% Na2HPO4, 0.9% NaCl and 4% Trehalose. |
| 稳定剂 | 4% Trehalose |
| 浓度 | 0.5 mg/ml |
| 存放说明 | For continuous use, store undiluted antibody at 2-8°C for up to a week. For long-term storage, aliquot and store at -20°C or below. Storage in frost free freezers is not recommended. Avoid repeated freeze/thaw cycles. Suggest spin the vial prior to opening. The antibody solution should be gently mixed before use. |
| 注意事项 | For laboratory research only, not for drug, diagnostic or other use. |
生物信息
| 数据库连接 | |
|---|---|
| 基因名称 | NECAB1 |
| 全名 | N-Terminal EF-Hand Calcium Binding Protein 1 |
| 背景介绍 | Enables identical protein binding activity. Predicted to be involved in regulation of amyloid precursor protein biosynthetic process. Predicted to act upstream of or within blastocyst hatching. Located in cytosol and nucleoplasm. [provided by Alliance of Genome Resources, Feb 2025] |
| 细胞定位 | Cytoplasm. [UniProt] |
| 预测分子量 | 41 kDa |
| 翻译后修饰 | Phosphoprotein. [UniProt] |
检测图片 (6) Click the Picture to Zoom In
-
ARG45601 anti-NECAB1 antibody IHC-P image
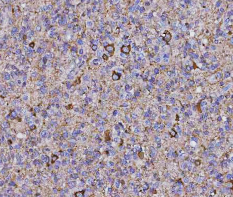
Immunohistochemistry: Human glioblastoma stained with ARG45601 anti-NECAB1 antibody at 2 μg/ml dilution.
-
ARG45601 anti-NECAB1 antibody ICC/IF image
Immunofluorescence: U2OS stained with ARG45601 anti-NECAB1 antibody at 5 μg/ml dilution.
-
ARG45601 anti-NECAB1 antibody IHC-P image
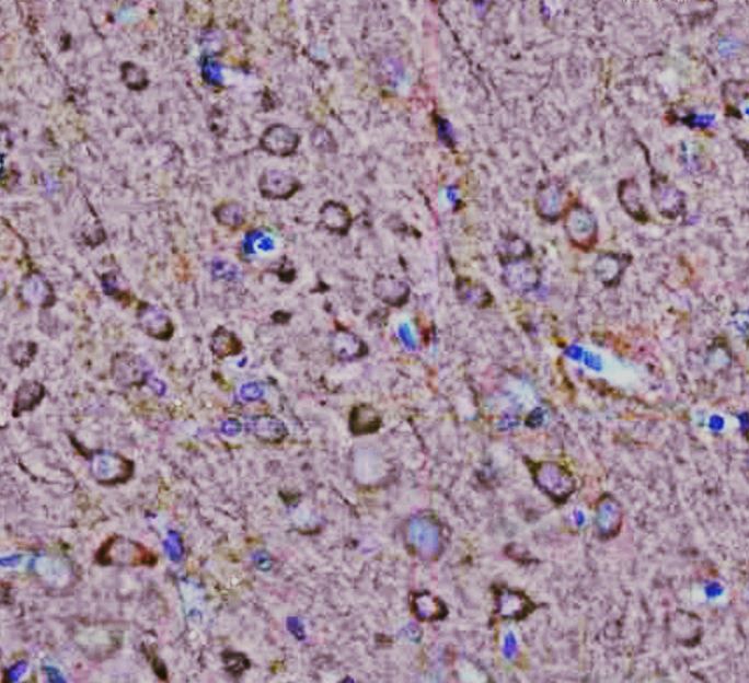
Immunohistochemistry: Rat brain stained with ARG45601 anti-NECAB1 antibody at 2 μg/ml dilution.
-
ARG45601 anti-NECAB1 antibody WB image
Western blot: Rat brain stained with ARG45601 anti-NECAB1 antibody at 0.5 μg/ml dilution.
-
ARG45601 anti-NECAB1 antibody IHC-P image
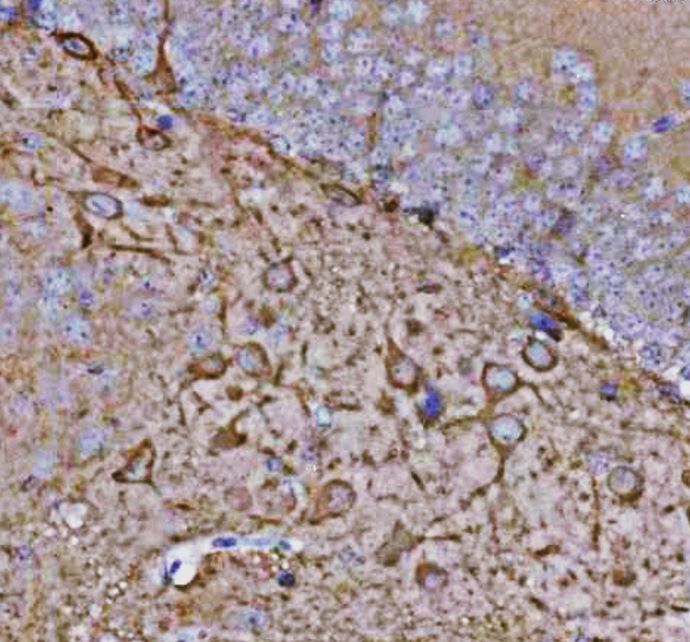
Immunohistochemistry: Mouse brain stained with ARG45601 anti-NECAB1 antibody at 2 μg/ml dilution.
-
ARG45601 anti-NECAB1 antibody WB image
Western blot: Mouse brain stained with ARG45601 anti-NECAB1 antibody at 0.5 μg/ml dilution.
