ARG44049
anti-NDP52 antibody
anti-NDP52 antibody for Flow cytometry,ICC/IF,IHC-Formalin-fixed paraffin-embedded sections,Western blot and Human
概述
| 产品描述 | Rabbit Polyclonal antibody recognizes NDP52 |
|---|---|
| 反应物种 | Hu |
| 应用 | FACS, ICC/IF, IHC-P, WB |
| 宿主 | Rabbit |
| 克隆 | Polyclonal |
| 同位型 | IgG |
| 靶点名称 | NDP52 |
| 抗原物种 | Human |
| 抗原 | Recombinant fusion protein containing a sequence corresponding to amino acids 1-446 of Human NDP52. |
| 表达系统 | E.coli |
| 偶联标记 | Un-conjugated |
| 別名 | CALCOCO2; Calcium Binding And Coiled-Coil Domain 2; NDP52; Calcium-Binding And Coiled-Coil Domain-Containing Protein 2; Antigen Nuclear Dot 52 KDa Protein; Nuclear Domain 10 Protein NDP52; Nuclear Domain 10 Protein 52; Nuclear Dot Protein 52; MGC17318 |
应用说明
| 应用建议 |
|
||||||||||
|---|---|---|---|---|---|---|---|---|---|---|---|
| 应用说明 | * The dilutions indicate recommended starting dilutions and the optimal dilutions or concentrations should be determined by the scientist. |
属性
| 形式 | Liquid |
|---|---|
| 纯化 | Affinity purified. |
| 缓冲液 | 0.9% NaCl, 0.2% Na2HPO4, 0.05% Sodium azide and 4% Trehalose. |
| 抗菌剂 | 0.05% Sodium azide |
| 稳定剂 | 4% Trehalose |
| 浓度 | 0.5 mg/ml |
| 存放说明 | For continuous use, store undiluted antibody at 2-8°C for up to a week. For long-term storage, aliquot and store at -20°C. Storage in frost free freezers is not recommended. Avoid repeated freeze/thaw cycles. Suggest spin the vial prior to opening. The antibody solution should be gently mixed before use. |
| 注意事项 | For laboratory research only, not for drug, diagnostic or other use. |
生物信息
| 数据库连接 |
Swiss-port # Q13137 Human Calcium-binding and coiled-coil domain-containing protein 2 |
|---|---|
| 基因名称 | CALCOCO2 |
| 全名 | Calcium Binding And Coiled-Coil Domain 2 |
| 背景介绍 | This gene encodes a coiled-coil domain-containing protein. The encoded protein functions as a receptor for ubiquitin-coated bacteria and plays an important role in innate immunity by mediating macroautophagy. Alternatively spliced transcript variants encoding multiple isoforms have been observed for this gene. |
| 生物功能 | Xenophagy-specific receptor required for autophagy-mediated intracellular bacteria degradation. Acts as an effector protein of galectin-sensed membrane damage that restricts the proliferation of infecting pathogens such as Salmonella typhimurium upon entry into the cytosol by targeting LGALS8-associated bacteria for autophagy. |
| 细胞定位 | Cytoplasm, Cytoplasmic vesicle, Cytoskeleton, Membrane |
| 预测分子量 | 52 kDa |
| 翻译后修饰 | Phosphoprotein |
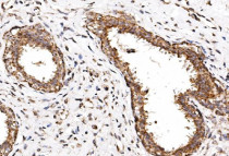
检测图片 (4) Click the Picture to Zoom In
-
ARG44049 anti-NDP52 antibody IHC-P image
Immunohistochemistry: Human mammary cancer stained with ARG44049 anti-NDP52 antibody at 1μg/ml dilution.
-
ARG44049 anti-NDP52 antibody ICC/IF image
Immunofluorescence: HeLa stained with ARG44049 anti-NDP52 antibody at 4μg/mL dilution.
-
ARG44049 anti-NDP52 antibody WB image
Western blot: A549, SW620 and U20S stained with ARG44049 anti-NDP52 antibody at 0.5 μg/mL dilution.
-
ARG44049 anti-NDP52 antibody FACS image
Flow Cytometry: PC-3 stained with ARG44049 anti-NDP52 antibody at 1,1μg/1x10^6 cells dilution.
