ARG45620
anti-NDEL1 antibody
anti-NDEL1 antibody for Flow cytometry,IHC-Formalin-fixed paraffin-embedded sections,Western blot and Human
概述
| 产品描述 | Rabbit Polyclonal antibody recognizes NDEL1 |
|---|---|
| 反应物种 | Hu |
| 应用 | FACS, IHC-P, WB |
| 宿主 | Rabbit |
| 克隆 | Polyclonal |
| 同位型 | IgG |
| 靶点名称 | NDEL1 |
| 抗原物种 | Human |
| 抗原 | Recombinant protein containing to human NDEL1. |
| 偶联标记 | Un-conjugated |
| 別名 | NDEL1; NudE Neurodevelopment Protein 1 Like 1; MITAP1; NUDEL; NDE1L1; NDE2; Nuclear Distribution Protein NudE-Like 1; Mitosin-Associated Protein 1; Protein Nudel; EOPA; NudE Nuclear Distribution Gene E Homolog (A. Nidulans)-Like 1; NudE Nuclear Distribution E Homolog (A. Nidulans)-Like 1; NudE Nuclear Distribution Gene E Homolog-Like 1; NudE Nuclear Distribution E Homolog-Like 1; Mitosin-Associated Protein MITAP1; Endooligopeptidase A |
应用说明
| 应用建议 |
|
||||||||
|---|---|---|---|---|---|---|---|---|---|
| 应用说明 | * The dilutions indicate recommended starting dilutions and the optimal dilutions or concentrations should be determined by the scientist. | ||||||||
| 实际分子量 | 38 kDa |
属性
| 形式 | Liquid |
|---|---|
| 纯化 | Affinity purified |
| 缓冲液 | 0.2% Na2HPO4, 0.9% NaCl and 4% Trehalose. |
| 稳定剂 | 4% Trehalose |
| 浓度 | 0.5 mg/ml |
| 存放说明 | For continuous use, store undiluted antibody at 2-8°C for up to a week. For long-term storage, aliquot and store at -20°C or below. Storage in frost free freezers is not recommended. Avoid repeated freeze/thaw cycles. Suggest spin the vial prior to opening. The antibody solution should be gently mixed before use. |
| 注意事项 | For laboratory research only, not for drug, diagnostic or other use. |
生物信息
| 数据库连接 |
Swiss-port # Q9GZM8 Human Nuclear distribution protein nudE-like 1 |
|---|---|
| 基因名称 | NDEL1 |
| 全名 | NudE Neurodevelopment Protein 1 Like 1 |
| 背景介绍 | Enables identical protein binding activity. Involved in chromosome segregation; positive regulation of GTPase activity; and regulation of intracellular protein transport. Located in kinetochore. Biomarker of schizophrenia. [provided by Alliance of Genome Resources, Feb 2025] |
| 生物功能 | Required for organization of the cellular microtubule array and microtubule anchoring at the centrosome. May regulate microtubule organization at least in part by targeting the microtubule severing protein KATNA1 to the centrosome. Also positively regulates the activity of the minus-end directed microtubule motor protein dynein. May enhance dynein-mediated microtubule sliding by targeting dynein to the microtubule plus ends. Required for several dynein- and microtubule-dependent processes such as the maintenance of Golgi integrity, the centripetal motion of secretory vesicles and the coupling of the nucleus and centrosome. Also required during brain development for the migration of newly formed neurons from the ventricular/subventricular zone toward the cortical plate. Plays a role, together with DISC1, in the regulation of neurite outgrowth. Required for mitosis in some cell types but appears to be dispensible for mitosis in cortical neuronal progenitors, which instead requires NDE1. Facilitates the polymerization of neurofilaments from the individual subunits NEFH and NEFL. Positively regulates lysosome peripheral distribution and ruffled border formation in osteoclasts (By similarity). [UniProt] |
| 细胞定位 | Centromere; Chromosome; Cytoplasm; Cytoskeleton; Kinetochore; Microtubule. [UniProt] |
| 预测分子量 | 38 kDa |
| 翻译后修饰 | Lipoprotein; Palmitate; Phosphoprotein. [UniProt] |
检测图片 (3) Click the Picture to Zoom In
-
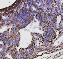
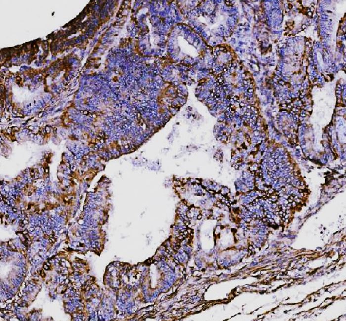
ARG45620 anti-NDEL1 antibody IHC-P image
Immunohistochemistry: Human endometrial cancer stained with ARG45620 anti-NDEL1 antibody at 2 μg/ml dilution.
-
ARG45620 anti-NDEL1 antibody WB image
Western blot: HepG2 stained with ARG45620 anti-NDEL1 antibody at 0.5 μg/ml dilution.
-
ARG45620 anti-NDEL1 antibody FACS image
Flow Cytometry: A549 stained with ARG45620 anti-NDEL1 antibody at 1 µg/10^6 cells dilution.
